SLAOT

Apofisitis de la apófisis espinosa lumbar o enfermedad de Schmitt, como causa de lumbalgia aguda en un jugador de fútbol juvenil.

Lumbar spinal apophysitis or Schmitt's disease, as cause of acute low back pain in a youth soccer player.

JH Guimbard-Pérez 1, A Barriga-Martín 1,2, LM Romero-Muñóz 1
1 Cirugía Ortopédica y Traumatología, Hospital Nacional de Parapléjicos
2 Facultad de Medicina de Albacete, Universidad de Castilla-La Mancha, Toledo, España
Autor para correspondencia:

Dr. Andrés Barriga Martín
docbarriga@gmail.com

Resumen

El dolor lumbar, en futbolistas adolescentes, es común siendo la espondilolisis traumática la causa más frecuente y la primera lesión a descartar, aunque existen otras entidades que hay que tener en cuenta.

Se presenta el caso de un futbolista varón de 17 años, que acude por dolor lumbar de dos semanas de evolución sin traumatismo previo. Llama la atención la falta de retracción de los músculos isquio-tibiales que suele estar presente en la espondilolisis. Se realizan estudios de imagen (RX, TAC y Gammagrafía Tc99) con la sospecha de espondilolisis, con hipercaptación en las apófisis espinosas lumbares. La imagen radiográfica recuerda a la enfermedad de Sever del calcáneo. Se diagnostica apofisitis de espinosas lumbares o enfermedad de Schmit y se inició tratamiento conservador mediante reposo deportivo y una faja lumbar con mejoría franca de los síntomas al cabo de 4 semanas. Se reincorporó a la práctica deportiva a las 8 semanas. Tras dos años de control, el paciente permanece asintomático. La apofisitis de las espinosas lumbares o enfermedad de Schmit es una entidad clínica a tener en cuenta en el diagnóstico del dolor lumbar en el deportista en crecimiento.

Abstract

The presence of low back pain in adolescent soccer players is common, being the traumatic spondylolysis the most frequent cause and the first injury to be ruled out, although there are other entities that must be taken into account. We present the case of a 17-year-old male soccer player, who presents with lumbar pain of two weeks of evolution without previous trauma. The lack of hamstring retraction that is usually present in spondylolysis is striking. Imaging studies (RX, CT and Tc99 scintigraphy) are performed with the suspicion of spondylolysis, with hypercaptation seen in lumbar spines with a radiological image reminiscent of Sever's calcaneal disease. Lumbar spinal apophysitis or Schmit's disease is diagnosed and conservative treatment is initiated by means of sports rest and use of lumbar belt with frank improvement of the symptoms after 4 weeks. Sports reincorporation at 8 weeks. After two years of control, the patient remains asymptomatic.

Apophysitis of the lumbar spines or Schmit's disease is a clinical entity to be taken into account in the diagnosis of back pain in the growing athlete.

Palabras clave:Apofisitis; Enfermedad Schmitt; Dolor lumbar; Aguda; Juvenil; Deporte; Fútbol

Keywords: Apophysitis; Schmitt disease; Lumbar pain; Sharp Youth; Sport; Football.

Introducción

Se estima que el dolor lumbar está presente entre el 10% a 15% de los deportistas en crecimiento (1), siendo la prevalencia mayor en determinados deportes (1-6). Los deportes con mayor incidencia son la gimnasia artística y rítmica (entre 50 y 80%), y en menor porcentaje en otros deportes como el fútbol (27%) (3)(4)(5).

Las lesiones de la pars interarticularis son la causa más común de dolor y aparecen en hasta el 47% de estos deportistas (7). Los problemas relacionados con el disco intervertebral son la causa del dolor en el 11% de los deportistas en crecimiento frente al 48% en adultos (7). El objetivo de este trabajo es presentar el caso de un deportista con dolor lumbar debido a una patología nada habitual como es la apofisitis de las espinosas lumbares.

Caso clínico

Varón de 17 años, jugador de fútbol juvenil aficionado que acudió a consulta por dolor lumbar de dos semanas de evolución que aparece tras la práctica deportiva. No presentaba irradiación a miembros inferiores ni síntomas neurológicos. Tampoco refirió traumatismo agudo previo.

En la exploración física no observamos asimetrías en el raquis tras la valoración en bipedestación, ni dismetrías en los miembros inferiores, la espino-presión fue positiva en la columna lumbar baja, el balance articular estaba conservado, aunque la extensión era dolorosa y no se objetivó retracción de los m. isquio-tibiales.

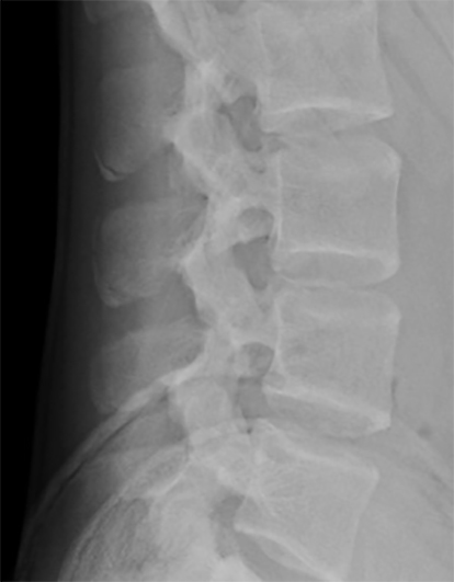
En la radiografía simple se observó esclerosis y desplazamiento del centro de osificación secundario de las apófisis espinosas L2, L3 y L4 con esclerosis del fragmento y fragmentación en L3, imágenes que recordaban a la enfermedad de Sever del calcáneo (Figura 1). Se realizó una gammagrafía con Tc99 donde se apreció hipercaptación a nivel de apófisis espinosas de L2, L3 y L4 (Figura 2) y TAC donde se confirman las lesiones (Figura 3).

Con el diagnóstico de apofisitis del proceso espinoso lumbar o enfermedad de Shmitt, se decidió realizar un tratamiento conservador mediante AINES, reposo deportivo y uso de faja lumbar semirrígida.

En la revisión al mes el paciente presentó una clara mejoría por lo cual se retiró la faja y se inició un tratamiento rehabilitador, permitiendo la reincorporación progresiva a la práctica del fútbol, a los dos meses de la primera consulta. Tras dos años desde el inicio del cuadro el paciente permaneció asintomático y no ha tenido recidivas

Figura 1: Radiografía lateral de columna lumbar, obsérvese esclerosis y desplazamiento del centro de osificación secundario de las apófisis espinosas de L2, L3 y L4 con esclerosis del fragmento y fragmentación en L3.

Figura 2: Figura 2 Gammagrafía con Tc99, se aprecia hipercaptación en las apófisis espinosas de L2, L3 y L4.

Figura 3: Figura 3 Tomografía axial computarizada, corte sagital de columna Lumbar, se observan focos de apofisitis en L3-L4-L5.

Discusión

Los índices de dolor lumbar en deportistas van desde el 1% a más del 30% (8). Aunque la evolución hacia la mejoría es el patrón habitual, en un porcentaje no despreciable de casos, los deportistas presentan persistencia de los síntomas. Las alteraciones discales y la espondilolisis son las anomalías estructurales más comúnmente asociadas a dolor lumbar en jóvenes deportistas, pero no siempre es así. La apofisitis de la espinosa en deportistas jóvenes fue descrita por primera vez en el año 1941 y en 1954 se le dio el epónimo de enfermedad de Schmitt (9). Desde el punto de vista histopatológico está caracterizada por fibrocartílago hipercelular tisular, similar al observado en la enfermedad de Osgood-Schatter (9).

La bibliografía describe la mineralización parcial del centro de osificación de los cuerpos vertebrales durante la adolescencia, completándose éste en la tercera década de la vida (10). Algunos autores describen esta patología como una versión juvenil y lumbar de la enfermedad de Clay Shoveler’s (fractura avulsión de la apófisis espinosa cervical) (9). Se presenta en pacientes jóvenes entre 14 - 17 años de edad que comienzan con sintomatología después de un entrenamiento extenuante. Los síntomas referidos son dolor a la palpación suave sobre las apófisis espinosas afectadas, edema local y molestias con los movimientos tóraco-lumbares. En la proyección lateral de la radiografía simple, se describe irregularidad y desplazamiento de la apófisis espinosa, signo llamado como la doble apófisis espinosa.

La apofisitis de espinosas lumbares es una entidad rara, pero que hay que tener en cuenta en el diagnóstico diferencial del dolor lumbar en el deportista adolescente, dónde lo más frecuente es la espondilolisis y la patología del disco. En nuestro caso el tratamiento conservador basado en reposo de la actividad física, AINES y medios locales físicos mejoró el cuadro. En casos que no mejoran tras 6 meses, puede realizarse exéresis del fragmento de la espinosa con buen resultado clínico.

Responsabilidades éticas

Protección de personas y animales. Los autores declaran que para esta investigación no se han realizado experimentos en seres humanos ni en animales.

Confidencialidad de datos. Los autores declaran que han seguido los protocolos de su centro de trabajo sobre la publicación de datos de pacientes y que el paciente incluido en el estudio ha recibido información suficiente y ha dado su consentimiento informado por escrito para participar de dicho estudio.

Derecho a la privacidad y consentimiento informado. Los autores han obtenido el consentimiento informado de los pacientes y sujetos referidos en el artículo. Este documento obra en poder del autor de correspondencia.

Nivel de evidencia. V.

Conflicto de intereses

Los autores declaran no tener conflicto de intereses en este artículo.


Referencias

  1. d’Hemecourt P, Gerbino PG, II, Micheli LJ. Back injuries in the young athlete. Clin Sports Med. 2000; 19:663-79.
  2. George SZ, Delitto A. Management of the athlete with low back pain. Clin Sports Med. 2002; 21:105-20.
  3. Hutchison MR. Low back pain in elite rhythmic gymnasts. Med Sci Sports Exerc. 1999; 31:1686-8.
  4. Kolt GS, Kirkby RJ. Epidemiology of injury in elite and subelite female gymnasts: a comparison of retrospective and prospective findings. Br J Sports Med. 1999; 33:312-8.
  5. Semon RL, Spengler D. Significance of lumbar spondylolysis in college football players. Spine. 1981; 6:172-4.
  6. Watkins RG. Lumbar disc injury in the athlete. Clin Sport Med. 2002; 21:147-65.
  7. Micheli LJ, Wood R. Back pain in young athletes. Arch Pediatr Adolesc Med. 1995; 149:15-8.
  8. Koehler SM, Mayer J, et al. Understanding acute apophyseal spinous process avulsion injuries. Orthopedics 2014; 37:317-21.
  9. Yamaguchi KT, Aparicio M et al. Clay-Shoveler’s fracture equivalent in children. Spine 2012, 37:1672-5.
  10. Mannor DA, Lindenfeld TN. Spinal process apophysitis mimics spondilolysis. Am J Sports Med 2000; 28:257-60.




Copyright © 2023. Federación de Sociedades y Asociaciones Latinoamericanas de Ortopedia y Traumatología