Resumen
Las fracturas que afectan a los miembros superiores en pacientes pediátricos son hasta 3 veces más frecuentes que las que afectan a miembros inferiores. El mecanismo más común es la caída con la mano extendida mientras se juega o se practica actividad deportiva. El manejo óptimo requiere el conocimiento de la anatomía y la aparición de los centros de osificación. El tratamiento no sólamente está basado en criterios de angulación y desplazamiento. La edad, la localización, la proximidad a la fisis de crecimiento y el plano de movimiento de la articulación, son factores que se deben considerar en pacientes pediátricos. La gran mayoría de las fracturas pediátricas de la extremidad superior pueden tratarse con reducción cerrada, inmovilización y seguimiento cercano. Recientemente, con el desarrollo de pruebas de imagen más precisas y métodos de tratamiento menos invasivos, muchas de estas fracturas pueden beneficiarse de un tratamiento quirúrgico. El objetivo del trabajo es describir las fracturas más frecuentes que afectan a los miembros superiores en los niños, su diagnóstico y las diferentes opciones de tratamiento.
Abstract
Fractures that affect the upper limbs in pediatric patients are up to 3 times more frequent than those that affect the lower limbs. The most common mechanism is the fall with the extended hand while playing or practicing sports activity. The optimal management requires knowledge of the anatomy and the appearance of ossification centers. The treatment is not only based on criteria of angulation and displacement. Age, location, proximity to the physis of growth and the plane of movement of the joint are factors that should be considered in pediatric patients. The vast majority of pediatric fractures of the upper extremity can treated with closed reduction, immobilization and close follow-up. Recently, with the development of more accurate imaging test and less invasive treatment methods, many of these fractures may benefit from surgical treatment. The purpose of the work is to describe the most frequent fractures that affect the upper extremity in children, their diagnosis and different treatment options.
Palabras clave:Fracturas, Miembro superior, Desarrollo, Codo, Hombro, Cartílago de crecimiento
Keywords: Fractures, Upper extremity, Development, Elbow, Shoulder, Growth plate
Introducción
Las fracturas que afectan al miembro superior en los niños son hasta 3 veces más frecuentes que las de extremidad inferior y, a diferencia de los adultos, donde existen guías de tratamiento en función de la angulación, desplazamiento y afectación articular; en los niños se deben también considerar otros parámetros debido a la capacidad de remodelación ósea existente tras una fractura. Existen cuatro consideraciones básicas que aportan información sobre la “capacidad de remodelación” del esqueleto inmaduro y nos permitirán establecer un tratamiento adecuado para cada tipo de fractura, ya sea conservador o quirúrgico, la edad del paciente, el hueso o huesos afectados y su capacidad de crecimiento, la distancia del foco de fractura a la físis y el plano de movimiento de la articulación.
El proceso de remodelación ósea consiste en la sustitución gradual del callo fibroso por un hueso de calidad, capaz de soportar la actividad física de un niño. Este proceso puede durar meses o años dependiendo de la estructura ósea afectada. Cuanto menor es el niño, mayor es el proceso de remodelación. En niños mayores de 8 años, se dispone de menos tiempo hasta la madurez esquelética, por lo que se debe ser más riguroso en la restitución anatómica, ya sea de forma ortopédica o quirúrgica. Sin embargo, en niños pequeños, menores de 7 años, se debe ser menos exigente en los criterios radiológicos de angulación y desplazamiento, por el gran potencial de remodelación hasta conseguir la madurez esquelética.
El hueso afectado es importante a la hora de considerar un tratamiento. En los miembros superiores, el húmero proximal y el radio distal tienen un gran potencial de crecimiento y remodelación (80% del crecimiento). Tan solo el 20% del crecimiento se produce en la región del codo y tiene escasa capacidad de remodelación para corregir deformidades angulares, incluso en el plano de movimiento de la articulación.
La proximidad a la físis favorece la remodelación ósea. En un hueso largo, el 75% del proceso de remodelación ocurre por reorientación de la fisis, mientras que el 25% restante depende de un proceso de aposición realizado en la diáfisis. Por este motivo, las fracturas metafisarias tienen mayor potencial de remodelación. En las diáfisis el hueso es rígido, con corticales compactas y poca vascularización, dónde el crecimiento de hueso es por aposición. Las fracturas en la región diafisaria tardan más tiempo en consolidar y remodelar.
La capacidad de remodelación es mayor en el plano de movimiento de la articulación. El húmero proximal tiene gran potencial de remodelación debido a su amplio rango de movimiento. Por el contrario, una fractura de húmero distal tolerará mal la angulación en varo-valgo y la rotación, ya que el rango de movimiento realizado por el codo se limita a la flexo-extensión.
El objetivo del trabajo es la descripción de las fracturas más frecuentes que afectan al miembro superior en pacientes esqueléticamente inmaduros, criterios diagnósticos y opciones de tratamiento.
1. Fracturas del codo
Las fracturas que afectan al codo pediátrico merecen una especial atención por la complejidad de su diagnóstico y tratamiento. Para evitar errores, es necesario un conocimiento exhaustivo de la anatomía y del desarrollo de esqueleto inmaduro. A menudo, las líneas de fractura atraviesan cartílago no osificado por lo que, la relación entre los centros de osificación y el hueso visible permitirá definir la lesión.
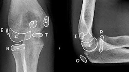
La aparición de centros de osificación secundarios en el codo, siguen un orden determinado. La regla nemotécnica CRITOE permite recordar el orden de aparición de dichos centros (Figura 1).
Figura 1: Aparición de los centros de osificación. 1 año- C: capitelum, 3 años-R: cabeza Radial, 5 años- I: epicóndilo Interno, 7 años- T: Tróclea, 9 años- O: Olecranon y 11 años- E: Epicóndilo lateral.
Para un diagnóstico correcto, se debe establecer el hábito de valorar tres relaciones anatómicas en cada radiografía de codo:
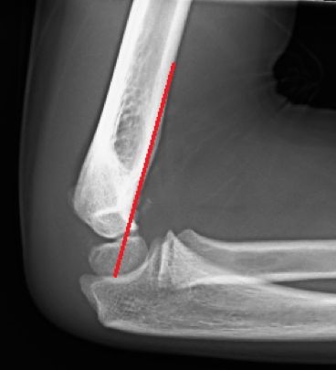
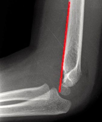
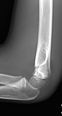
- Línea humeral anterior (LHA): La línea humeral anterior debe pasar por el centro del capitelum. Si el centro del capitelum es posterior a ésta línea, se debe sospechar una fractura supracondílea en extensión o una fractura transfisaria (más frecuente en niños muy pequeños). Si el capitelum es anterior a ésta línea, se debe sospechar una fractura supracondílea en flexión (menos frecuente) o una fractura transfisaria. Es primordial obtener una radiografía lateral pura del húmero distal, ya que la rotación, puede darnos falsas referencias haciendo que el capitelum aparezca posterior. (Figura 2)
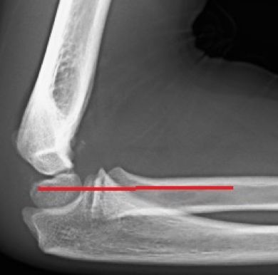
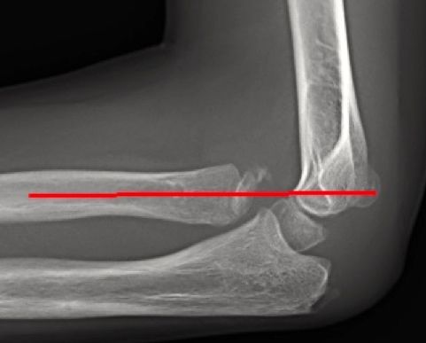
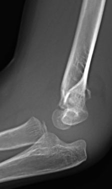
- El ángulo humeral capitelar de Baumann, estará en valgo (95% de los pacientes presentan un ángulo de Baumann con valgo 9°-26°). El ángulo de Baumann da información sobre la alineación del húmero distal y su alteración pone de manifiesto la presencia de una inadecuada reducción de una fractura supracondílea (Figura 3).
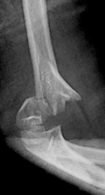
- El radio se dirige al capitelum en todas las proyecciones: cuando esto no ocurre, se debe sospechar una fractura del cóndilo lateral, una fractura del cuello del radio, una fractura-luxación de Monteggia o equivalente o una luxación de codo (Figura 4).
Figura 2: a-La línea humeral anterior debe cortar al capitelum en su zona media. b- Fractura supracondílea en extensión donde la línea humeral anterior pasa por delante del capitelum.
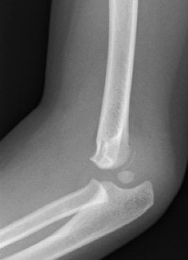
En los niños es frecuente que las fracturas pasen desapercibidas. En una radiografía lateral del codo en flexión de 90° podemos observar una almohadilla grasa anterior que no tiene significación clínica. Sin embargo, la presencia de una almohadilla grasa posterior se asocia a una fractura a nivel del codo hasta en un 90% de los casos. En caso de duda diagnóstica, se puede recurrir a la realización de radiografías contralaterales comparativas o solicitar otras pruebas diagnósticas.
A. Fracturas supracondíleas de húmero
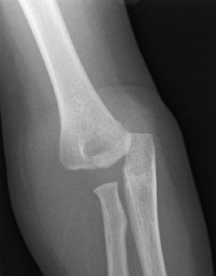
Las fracturas supracondíleas de húmero son las fracturas más frecuentes del codo en la edad pediátrica (más del 50%), suponen una urgencia médica y no están exentas de complicaciones (afectación neurovascular y síndrome compartimental).
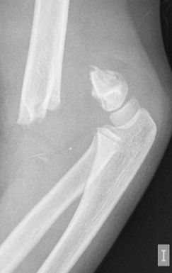
Las fracturas se clasifican en función de la dirección del desplazamiento del fragmento distal. La mayoría de las fracturas, más del 90%, son en extensión siendo la clasificación de Gartland la más utilizada. El tipo I es una fractura no desplazada o con un desplazamiento menor de 2 mm; tipo II es una fractura desplazada, más de 2 mm pero con la cortical posterior intacta; tipo III si la fractura está desplazada completamente, sin contacto entre las corticales de los dos fragmentos y un tipo IV cuando existe inestabilidad multidireccional por disrupción completa del periostio (Figura 5).
Aproximadamente el 20% de las fracturas supracondíleas desplazadas se presentan con ausencia de pulso. Se plantean tres posibilidades la mano bien perfundida (caliente y roja) con pulso radial presente, la mano bien perfundida con pulso radial ausente o una mano mal perfundida (fría, azulada) con un pulso radial ausente.
Un paciente con una mano mal perfundida y sin pulso requiere un tratamiento urgente. Si es posible, se debe realizar una reducción cerrada en el quirófano. En caso contrario, se realizará tracción y se dejará el codo en 20° - 40° de flexión. Esta maniobra tiene como objetivo mejorar la perfusión, no obtener una reducción anatómica. El compromiso vascular a menudo es posicional, provocado por una compresión del fragmento proximal sobre la arteria braquial. Frecuentemente, un paciente con una mano mal perfundida y sin pulso acuda a urgencias con el codo inmovilizado en extensión completa y la simple flexión del codo a 20° - 40° mejora la perfusión vascular. No está indicada la realización de arteriografías ya que retrasan el tratamiento definitivo y no aportan información relevante.
Después de una reducción cerrada de una fractura con mala perfusión distal, lo habitual es que se recupere la perfusión. Cuando, tras realizar una reducción cerrada, no se obtiene una mejoría de la perfusión ni se recupera el pulso, está indicada la exploración quirúrgica por vía anterior para valorar un posible atrapamiento entre los fragmentos óseos y los tejidos blandos. Es aconsejable la colaboración de un cirujano vascular.
El tratamiento es discutido cuando tras la reducción cerrada, la mano, aunque está bien perfundida, carece de pulso arterial. A menudo, requieren ingreso hospitalario para elevación, medicación anti-inflamatoria y observación del estado vascular. Si persiste el déficit de perfusión, estaría indicada la exploración quirúrgica.
El síndrome compartimental
Aunque se trata de una complicación infrecuente, es necesario pensar en ella. Una manera de minimizar el riesgo de síndrome compartimental es evitar flexionar el codo más de 90°. El síndrome compartimental es más frecuente cuando hay una tumefacción excesiva del codo, afectación grave de los tejidos blandos, pliegue en la región anterior del codo, y cuando existe fractura de antebrazo asociada. El diagnóstico de síndrome compartimental en los niños es difícil y se debe sospechar con la presencia de parestesias o aumento del dolor que no cede con analgesia. El diagnóstico de confirmación se realizará midiendo la presión intra-compartimental. El tratamiento definitivo es la fasciotomía de todos los compartimentos afectados (Figura 6).
Afectación neurológica:
La valoración del estado neurológico es especialmente difícil en un niño pequeño que ha sufrido un traumatismo, pero es esencial ya que la tasa de afectación neurológica es próxima a un 15%. Las fracturas supracondíleas con desplazamiento postero-medial están asociadas a lesiones del nervio interóseo anterior, con desplazamiento postero-lateral asociadas a lesión del nervio radial y las supracondíleas en flexión asociadas a lesión del nervio cubital. La mayor parte de éstas lesiones tienen una recuperación espontánea en los 3-6 primeros meses y sólo requieren de la observación. La lesión nerviosa asociada a fractura abierta precisa de una exploración quirúrgica. La afectación del nervio radial tras la reducción quirúrgica puede estar provocada por el atrapamiento del nervio entre los fragmentos óseos. Si la radiografía lateral muestra una separación de los fragmentos en la zona anterior, está indicada la exploración quirúrgica.
Tratamiento
Los dos aspectos más importantes de la exploración física son la afectación de los tejidos blandos y el estado neurovascular. El retraso, superior a 24 horas, del tratamiento quirúrgico no aumenta el riesgo de complicaciones ni la necesidad de hacer una reducción abierta. Se debe inmovilizar en 20° - 50° de flexión, con el brazo elevado y valorar el estado neurovascular cada hora, hasta realizar la cirugía. El tratamiento urgente se reserva para aquellos casos de tumefacción importante del codo, afectación de las partes blandas, pinzamiento de la piel en la región anterior del codo, sospecha de síndrome compartimental, afectación vascular o presencia de fractura de antebrazo ipsilateral (Figura 7).
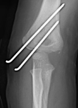
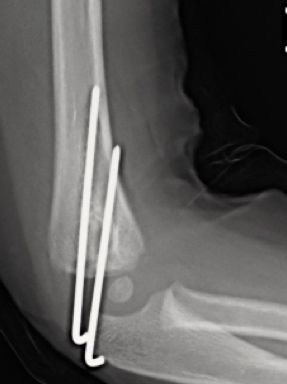
Las fracturas supracondíleas de tipo I se tratan de forma conservadora mediante inmovilización con una férula braquial durante 3 semanas. Existe controversia respecto al tratamiento de las fracturas supracondíleas tipo II, ya que se pueden tratar de forma conservadora mediante una férula braquial en 120° de flexión o bien realizar una reducción cerrada y osteosíntesis. Los defensores del tratamiento quirúrgico argumentan un mejor control de la fractura y la escasa capacidad de remodelación del húmero distal.
Las fracturas supracondíleas tipo III y IV se tratan de forma quirúrgica mediante reducción cerrada y osteosíntesis. En el control radiográfico se debe objetivar una corrección del ángulo de Baumann, que la línea humeral anterior corte el capitelum por la zona media y que la columna medial y lateral tengan un contacto adecuado.
Especial atención merece un tipo de fractura supracondílea, con mínimo desplazamiento, en la que existe una conminución o impactación medial que provoca un cambio en el ángulo de Baumann. Estas fracturas son interpretadas a menudo como de tipo I y tratadas de forma conservadora desarrollando a medio plazo un cúbito varo. El tratamiento de estas fracturas se realizará mediante tracción-valgo-flexión-pronación para mantener la tensión en la columna medial y posteriormente estabilizar con agujas de Kirschner.
El cúbito varo es la desviación angular secundaria a una fractura supracondílea por una reducción inadecuada en el plano frontal. No existe manera de evitar esta complicación y la única manera de prevenirla es conseguir buenas reducciones.
No olvidar en estas fracturas:
- En una radiografía de codo: la línea humeral anterior corta el capitelum en su zona media, el radio apunta hacia el capitelum en todas las posiciones y el ángulo de Baumann es en valgo.
- Una mano mal perfundida y sin pulso requiere un tratamiento urgente, no una arteriografía
- Si un codo necesita una flexión mayor de 90° para conseguir una reducción adecuada, es más seguro realizar una osteosíntesis con agujas de Kirschner.
- En caso de duda, estabilizar con agujas de Kirschner una fractura tipo II.
- La configuración más segura es la utilización de dos agujas laterales colocados de forma divergente. La colocación de agujas mediales se asocia a la lesión del nervio cubital, en un 5-6% de los casos.
B. Fracturas del cóndilo lateral
Las fracturas del cóndilo lateral suponen entre el 15% y el 20% de las fracturas del codo y es la segunda en frecuencia después de las fracturas supracondíleas. Estas fracturas gozan de mala reputación por la asociación a complicaciones como pseudoartrosis, desplazamientos secundarios y cúbito varo. La mayor parte de estas complicaciones se pueden evitar con un diagnóstico precoz y un seguimiento adecuado.
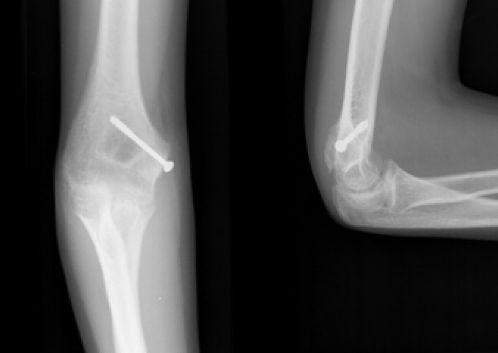
A menudo las radiografías convencionales, anteroposterior y lateral de codo, pueden infravalorar el desplazamiento real, por lo que se recomienda la realización de una proyección oblicua si fuera necesario, siendo ésta, la que mejor valora el desplazamiento. La línea de fractura va desde la superficie articular hasta la metáfisis distal del húmero. Las fracturas no desplazadas o mínimamente desplazadas (<2 mm) con integridad de la superficie articular se pueden tratar de forma conservadora mediante férula braquial y controles periódicos para valorar un posible desplazamiento secundario. Las fracturas desplazadas (>2 mm) precisan tratamiento quirúrgico. Si existe una afectación del cartílago articular, (evidenciado por RM o artrografía, está indicada la reducción abierta y estabilización con agujas de Kirschner (Figura 8). Una disección cuidadosa, respetando la zona posterior del cóndilo minimizará los riesgos de necrosis avascular del cóndilo humeral. Si la superficie articular está intacta, la reducción cerrada y estabilización con agujas de Kirschner es suficiente. La reducción anatómica de la superficie articular se realizará gracias a la visualización directa. En ocasiones, es difícil la reducción y la dorsiflexión de muñeca, relajando los músculos dorsiflexores, facilitará la reducción. La osteosíntesis se realizará con dos agujas de Kirschner lisas, con el punto de entrada posterior a la incisión y colocadas de forma paralela o divergente. A diferencia de las fracturas supracondíleas, en las que 3-4 semanas de inmovilización es suficiente, la inmovilización de las fracturas del cóndilo deben mantenerse por lo menos durante 4 semanas para evitar el riesgo de pseudoartrosis. Las agujas de Kirschner no se deben retirar hasta comprobar signos radiológicos de consolidación. Es importante informar a los padres de la posibilidad de aparición de una prominencia lateral, a menudo confundida con un cúbito varo, provocada por el hipercrecimiento óseo asociado a la atrofia de la musculatura. La rigidez articular es más frecuente que en las fracturas supracondíleas. La utilización de férulas dinámicas disminuye el riesgo de esta complicación.
Figura 8: a-d, Imagen radiografica de fractura del cóndilo lateral con desplazamiento articular. Tratamiento quirúrgico mediante reducción abierta y osteosíntesis.
C. Fracturas del epicóndilo medial
Las fracturas aisladas del epicóndilo medial, son fracturas extra-articulares con escasa afectación de los tejidos blandos. En más del 50% de los casos, la fractura del epicóndilo medial se asocia a otras lesiones, la más frecuente es la fractura luxación de codo. En estos casos, existe una afectación importante de las partes blandas y debemos sospecharlo en aquellos niños con fractura del cóndilo medial asociado a inestabilidad, tumefacción importante o la presencia de almohadilla grasa posterior en la radiografía lateral de codo. Las fracturas mínimamente desplazadas se tratan de forma conservadora mediante inmovilización durante 2 semanas
Existe controversia en cuanto al tratamiento de las fracturas desplazadas, aunque solo hay tres indicaciones absolutas de tratamiento quirúrgico las fracturas abiertas, la incarceración del epicóndilo medial dentro de la articulación y la afectación del nervio cubital.
A menudo, el epicóndilo medial queda interpuesto dentro de la articulación durante las maniobras de reducción, pasando desapercibido. Para evitar esta complicación es necesario verificar el orden de aparición de los centros de osificación secundarios. Si los centros de osificación de la tróclea y olecranon están presentes, osifican a los 8-9 años, pero el epicóndilo medial, osifica a los 4-5 años, no aparece en su posición anatómica, se debe sospechar la presencia de un fragmento incarcerado dentro de la articulación. Existe una maniobra para “retirar” el fragmento incarcerado mediante una fuerza en valgo del codo asociada a extensión de la muñeca para que traccionen los flexores cuyo origen está en el epicóndilo medial, siempre bajo anestesia general. A menudo, se precisa de una reducción abierta y estabilización con agujas de Kirschner o tornillo para permitir la movilización precoz.
Consideraciones del tratamiento quirúrgico de las fracturas del epicóndilo medial:
Cuando se utiliza un tornillo, se debe evitar perforar la fosa olecraneana. Si esto ocurre, existirá una limitación en la extensión del codo.
El nervio cubital puede quedar atrapado entre los fragmentos de la fractura, por lo que hay que verificar antes de realizar la osteosíntesis.
La colocación del paciente en decúbito prono y con el antebrazo sobre la región lumbar, relaja la musculatura flexo-pronadora y facilita la reducción (Figura 9).
Figura 9: a: Fractura de epitróclea asociada a luxación de codo. b: Reducción abierta y osteosíntesis con tornillo.
Lesiones TRASH (The radiologic appeareance seemed harmless)
Se denomina TRASH a las lesiones que pasan desapercibidas en las imágenes radiográficas y con frecuencia conducen, de forma irremediable, a un deterioro anatómico y funcional de difícil solución. Es necesario ser meticuloso y preciso en el diagnóstico de esta patología sin escatimar esfuerzos en la utilización de otras pruebas complementarias.
Se debe sospechar una lesión “TRASH” en el codo cuando existe una disociación clínico-radiológica; es decir, cuando el paciente presenta dolor y tumefacción importante sin hallazgos radiográficos. Es fundamental la realización de una historia clínica completa que contemple el tipo de traumatismo (más frecuente los de alta energía), el mecanismo de lesión y la posición de la extremidad. En la exploración física se objetivará la presencia de tumefacción, crepitación, derrame articular, dolor y limitación de la movilidad. En los casos anteriores, la sospecha diagnóstica y las pruebas complementarias facilitarán el diagnóstico.
Si la historia traumática no se correlaciona con el grado de tumefacción y dolor en un niño muy pequeño, debemos pensar en un trauma no accidental, solicitar un estudio por la imagen, efectuar una valoración por el servicio de pediatría y por los servicios sociales en busca de un posible caso de maltrato.
Lo que, en principio, parece más sencillo, se puede convertir en lo más complejo, la lectura e interpretación de las imágenes radiográficas. Debemos familiarizarnos con los patrones normales y la variabilidad de los centros de osificación secundarios para establecer un diagnóstico correcto. El conocimiento de estos patrones permite minimizar la incidencia de lesiones TRASH.
Es importante obtener pruebas radiográficas de calidad, con dos proyecciones convencionales, antero-posterior y lateral, que incluyan las articulaciones proximal y distal. En caso de duda, se pueden realizar proyecciones oblicuas y comparativas del miembro contralateral. Se debe desconfiar y reconsiderar el diagnóstico cuando existe una gran afectación clínica con una radiografía anodina. En estos casos, pueden resultarnos de utilidad otras pruebas diagnósticas: RM, TC que permiten confirmar el diagnóstico y ayudar a la toma de decisiones. La ecografía también es una prueba a tener en cuenta, pero puede generar confusión si no se realiza por radiólogos experimentados. Asimismo, la artrografía es una herramienta diagnóstica muy utilizada en el propio quirófano, aunque requiere que el cirujano esté habituado para su correcta realización e interpretación.
2. Fracturas de antebrazo
Las fracturas de antebrazo constituyen aproximadamente el 45% de todas las fracturas en la infancia y el 62% de las fracturas de la extremidad superior. El tratamiento de las fracturas de antebrazo ha variado de forma considerable en los últimos años. Hasta finales de los años 80, la mayoría se trataban de forma conservadora con malos resultados funcionales debido a consolidaciones viciosas. Posteriormente, la utilización de clavos intramedulares elásticos permitió un tratamiento definitivo de una forma poco invasiva.
En la decisión terapéutica, se deben tener en cuenta dos consideraciones, evitar las angulaciones superiores a 10° en cualquiera de los planos y evitar múltiples anestesias. Al tratamiento que cumple estas premisas se le denominará Tratamiento Definitivo Primario (TDP).
El tratamiento de las fracturas de antebrazo dependerá del grado de desplazamiento y localización.
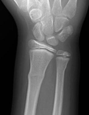
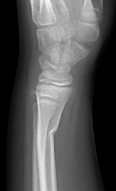
A. Fracturas del tercio distal del radio y cúbito (75-85%):
Son las más frecuentes en la infancia. La capacidad de remodelación es máxima en niños pequeños, menores de 8 años, cuando el trazo de fractura está cercano a la fisis y en el plano de movimiento de la articulación.
Las fracturas no desplazadas o mínimamente desplazadas, menos de 30° de angulación dorsal y menos de 20° desviación radial, en niños menores de 8 años pueden tratarse de forma conservadora con buenos resultados con un yeso bien moldeado con tres puntos de apoyo para evitar el desplazamiento secundario.
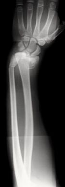
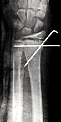
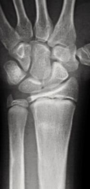
Las fracturas desplazadas o inestables precisarán de reducción cerrada o abierta en quirófano, asociado en algunos casos a osteosíntesis (Figura 10). Las fracturas localizadas en la unión metafiso-diafisaria distal son inestables y en muchos caos requieren tratamiento quirúrgico (Figura 11).
Figura 10: a, b-Fractura de radio y cúbito distal inestable en paciente de 12 años. c- Reducción y estabilización mediante agujas de Kirschner. c-Control final al año de la cirugía.
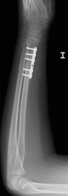
Figura 11: a, b-Fractura metafiso-diafisaria distal inestable. c, d-Control radiológico tras reducción donde se aprecia mala reducción. e, f-Síntesis mediante placa y tornillos.
B. Fracturas diafisarias de radio o cúbito no desplazadas (15-18%):
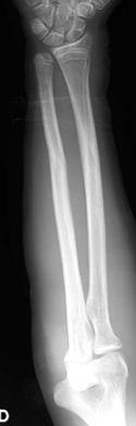
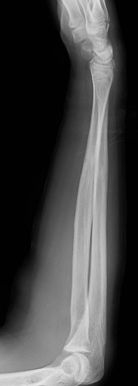
Se pueden tratar de forma conservadora en la mayoría de los casos mediante reducción y estabilización con un yeso braquio-antebraquial (3-5 semanas). La limitación en la pronación y supinación es la complicación más temida y se debe a consolidaciones viciosas, más frecuentes tras una fractura de antebrazo proximal (Figura 12).
Figura 12: a, b-Fractura metafiso-diafisaria distal tratada de forma conservadora donde se aprecia una consolidación viciosa con acortamiento del radio que limitaba la prono-supinación. c, d- Osteotomía correctora con aporte de injerto y osteosíntesis.
C. Fracturas en tallo verde
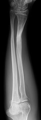
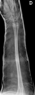
Las fracturas de tallo verde, cuando permanece una parte del periostio intacta y la otra cortical está desplazada, son diferentes de las fracturas en rodete, en las que existe un típico “abombamiento” del hueso metafisario (Figura 13).
Figura 13: a, b, Radiografía antero-posterior y lateral donde se aprecia un “abombamiento” de la región metafisaria distal del radio compatible con fractura en rodete.
La presencia de un periostio intacto en las fracturas de tallo verde, actúa como una banda de tensión facilitando una rápida consolidación en esta zona y un retardo de consolidación en la zona de disrupción perióstica. Por este motivo, las refracturas son habituales en las fracturas en tallo verde (Figura 14). El tratamiento consiste en la reducción con hipercorrección, manteniendo íntegro el periostio, y colocando un yeso cerrado. En ocasiones, la fuerza deformante es tan intensa, que se hace necesario realizar un enclavado elástico intramedular para evitar refracturas. En ambos casos, la realización de controles radiográficos periódicos evitará desplazamientos secundarios. Se mantendrá el yeso durante 4-5 semanas.
Figura 14: a- Radiografía lateral: fractura de antebrazo en tallo verde tratada de forma conservadora. b,c - Refractura a los 4 meses. d,e- Radiografía antero-posterior y lateral tras enclavado intramedular elástico.
D. Fractura aislada del radio o del cúbito
En este tipo de fracturas es frecuente un desplazamiento en valgo en las fracturas del radio y en varo en fracturas de cúbito. El tratamiento conservador con un yeso bien moldeado, durante 3-4 semanas, será suficiente. Se debe valorar la presencia de lesiones asociadas (Monteggia, Galeazzi).
E. Fracturas de antebrazo inestables
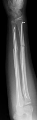
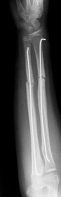
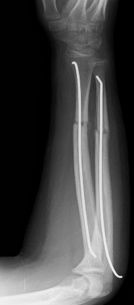
Las fracturas de ambos huesos del antebrazo al mismo nivel, con líneas de fractura oblicua-transversa o desplazamiento convergente son inestables y precisarán de tratamiento quirúrgico. En estos casos está indicado, dependiendo de la edad del paciente, el tratamiento mediante reducción y osteosíntesis. El enclavado intramedular elástico es el tratamiento de elección (Figura 15).
Figura 15: a-Imagen clínica de fractura de antebrazo derecho con gran deformidad. b- Radiografía donde se aprecia fractura de radio-cúbito de trazo transverso en el mismo nivel. c, d-Enclavado intramedular elástico. e,f- Imagen final con buena consolidación ósea.
F. Fracturas del tercio proximal del antebrazo (7-8%)
Merecen una consideración especial, ya que el potencial de remodelación a nivel proximal es muy escaso y los criterios de angulación son más estrictos. El enclavado intramedular elástico es el tratamiento de elección en estas fracturas.
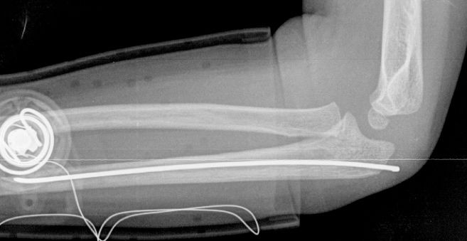
En las fracturas de antebrazo no es infrecuente la presencia de lesiones asociadas. Se debe sospechar siempre que exista una fractura aislada de un hueso del antebrazo. La más frecuente es la fractura luxación de Monteggia, cuando en una fractura proximal de cúbito se asocia una luxación de la cabeza radial. En algunos casos, la fractura de cúbito puede ser una deformidad plástica que a menudo pasa desapercibida. El tratamiento consiste en la reducción de la cabeza radial y la estabilización de la fractura de cúbito en los casos agudos, mediante inmovilización en niños pequeños y osteosíntesis en niños mayores (Figura 16).
Figura 16: a- Imagen radiológica donde se aprecia una luxación de la cabeza radial asociada a una fractura del tercio medio-proximal del cúbito. b- reducción y osteosíntesis con aguja de Kirschner intramedular y reducción de la cabeza radial.
Figura 17: a- Imagen radiológica donde se aprecia una luxación de la cabeza radial secundaria a una incurvación plástica del cúbito que pasó desapercibida durante 2 meses. Se puede apreciar la concavidad del cúbito en la radiografía lateral. b- Radiografía lateral de codo tras osteotomía del cúbito proximal y reducción de la cabeza radial.
No olvidar en las fracturas de antebrazo:
Es necesario conocer el proceso de remodelación de las fracturas para evitar tratamientos innecesarios.
Cuando se utilizan agujas de Kirschner desde la zona radial evitar lesión rama cutánea del nervio radial y el mecanismo extensor.
Para conseguir una reducción satisfactoria, los yesos deben estar bien moldeados y basados en el apoyo en tres puntos.
La complicación más frecuente tras una fractura diafisaria de antebrazo es la consolidación viciosa que provocará una pérdida de pronación-supinación.
La causa más frecuente de síndrome compartimental es la fractura de antebrazo.
Pensar siempre en una fractura luxación de Monteggia ante una fractura aislada de cúbito o incurvación plástica y solicitar radiografías de buena calidad incluyendo el antebrazo y las articulaciones adyacentes.
3. Fracturas de la mano
La mano es la localización de lesiones más frecuente en la población pediátrica puesto que es su principal instrumento de protección, interacción social y exploración durante el crecimiento. Las fracturas más frecuentes son las que afectan a la falange distal y a la base de la falange proximal.
La mayor incidencia de fracturas en la falange ocurre en niños de 10 a 14 años debido a la práctica de deportes de contacto y en niños de menor edad, entre los 2-5 años, por aplastamiento en el pulpejo de los dedos por el cierre violento de puertas o caída de objetos pesados sobre la mano.
Ante un traumatismo en la mano debemos tener en cuenta que la mayoría de los niños son poco colaboradores, muchas veces acompañados de padres ansiosos con unas estructuras a evaluar pequeñas. Por estos motivos, la evaluación general y el examen físico debe ser ordenado, sistemático y en un ambiente tranquilo a fin de obtener datos claros en cuanto a la movilidad y sensibilidad. Durante el examen los padres pueden estar junto al niño e incluso tenerlo en brazos para tranquilizarlo.
En caso de heridas o lesión de partes blandas asociadas es importante contar con una buena fuente de luz en el momento de la inspección. Al evaluar la parte motora empezaremos por la mano no lesionada para inspirar confianza y comprensión, realizando preguntas adecuadas a su edad. Es importante explorar las desviaciones rotatorias de los dedos observando el plano de las uñas que debe ser paralelo en extensión y en flexión digital. La evaluación tendinosa la realizaremos por la movilidad activa y el efecto tenodesis. La exploración neurológica se puede realizar en los niños mediante juegos: “piedra, papel o tijera”, hacer el “signo de OK” y chocar las manos “choca esos cinco”.
La posición de la mano nos mostrará el nervio involucrado la piedra evalúa el nervio mediano, el papel evalúa el nervio radial y la tijera evalúa el nervio ulnar. La imposibilidad de hacer el signo OK puede demostrar la lesión del nervio interóseo anterior que produce una afectación de los músculos que intervienen en la pinza distal de los dedos pulgar e índice. Al chocar las manos, “choca esos cinco”, la extensión de muñeca y dedos descarta una lesión del nervio interóseo posterior.
En cuanto a la exploración de la sensibilidad digital en niños pequeños puede ser en ocasiones difícil obtener respuestas correctas pudiendo utilizar un clip, nunca una aguja, y valoración de test objetivos como el test del sudor, ausencia de sudor en el pulpejo de los dedos en caso de lesión nervio comisural.
Es fundamental conocer la anatomía y la maduración esquelética. La fisis de crecimiento en las falanges se encuentra en el extremo proximal de las falanges permaneciendo abiertas hasta una edad aproximada de 16 años en niños y 14 años en niñas. Cuanto más pequeño sea el niño mayor capacidad de remodelación tendrá en el plano del movimiento y más permisivos en la reducción podremos ser con las fracturas cercanas a la fisis.
El periostio que rodea el hueso pediátrico está muy vascularizado y es importante para mantener la alineación de las fracturas después de la reducción. También hay que entender que en alguna ocasión puede quedar atrapado en el foco de fractura, impidiendo una buena reducción.
A. Fracturas de falange distal
Se trata de la fractura más frecuente de la mano siendo el aplastamiento el mecanismo más habitual, una fractura con afectación variable de partes blandas, o por hiperextensión o hiperflexion, provocando una lesión epifisaria dorsal, dedo en martillo.
Las heridas del lecho o matriz ungueal deben ser cuidadosamente reparadas sin penetrar en la uña para evitar deformidades. Es importante, proteger el lecho ungueal para evitar una cicatrización que dificulte el futuro crecimiento de la nueva uña, debiendo utilizar algún espaciador entre los pliegues ungueales y un apósito graso. Cuando exista hematoma subungueal puede evacuarse mediante una aguja subcutánea estéril para reducir el dolor y disminuir la presión bajo la uña.
Las heridas con avulsión a nivel del pulpejo en los niños tienen un excelente potencial de curación siempre que esté la falange expuesta. En casos de exposición de falange sin cobertura cutánea, no se debe “acortar” el hueso para obtener un cierre primario ya que se puede producir una deformidad en forma de pico de loro. El tratamiento con exposición ósea se realizará mediante colgajos vascularizados (Figura 18)
Figura 18: a-f, Amputación traumática de la falange distal del 5º dedo con exposición ósea sin cobertura cutánea. Se realiza cobertura mediante colgajo hipotenar. Resultados clínicos finales con un pulpejo bien formado.
Es importante diferenciar las fracturas extraepifisarias de las fracturas fisarias puesto que su manejo terapéutico es diferente. Las fracturas extraepifisarias son fracturas generalmente estables que se tratan con inmovilización durante 3-4 semanas con interfalángica proximal libre mientras que las fracturas fisarias desplazadas requerirán reducción de la fractura e inmovilización. Dentro de este tipo podemos encontrar, las llamadas “mallet finger” o dedo en martillo y la fractura de Seymour
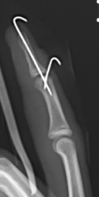
B. “Mallet finger” (dedo en martillo)
Se trata de una deformidad del dedo con flexo de la falange distal por lesión del tendón extensor o un arrancamiento óseo en la base de la tercera falange. Es más frecuente en la adolescencia, aunque puede ocurrir a cualquier edad. El dedo en martillo tendinoso por rotura del extensor sin lesión ósea se trata con una férula con la IFD en extensión durante 8 semanas. Se debe realizar un tratamiento quirúrgico cuando existe fractura con un fragmento avulsionado superior al 40% de la superficie articular pudiendo realizar diferentes técnicas quirúrgicas. (Figura 19)
Figura 19: a, b- Fractura de la falange distal desplazada con avulsión tendón extensor. Tratamiento quirúrgico mediante técnica de Ishiguro
C. Fractura de Seymour
Es un tipo especial de fractura de la falange distal que se caracteriza por ser una lesión del lecho ungueal con una fractura expuesta (Figura 20). El tratamiento debe ser agresivo, como el de una fractura abierta, irrigación y desbridamiento, reducción y estabilización de la fractura fisaria, reparación del lecho ungueal, reubicación de la matriz en su surco. La inmovilización será en extensión durante 4-5 semanas, sin olvidar el tratamiento antibiótico.
D. Fracturas de falange proximal y media
Diferenciamos fracturas de la base o fisarias, diafisarias, del cuello o subcondíleas e intrarticulares.
Figura 20: a-d, Fractura de Seymour: epifisiolisis falange distal con lesión del lecho ungueal asociada. (Imágenes cedidas por Dra. Pérez López)
D1. Fracturas de la base o fisarias
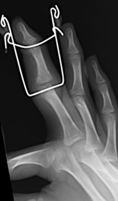
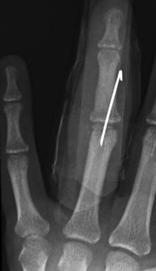
Generalmente son epifisiolisis tipo II de la falange proximal. Se observa una imagen típica de fragmento triangular acompañado de un rodete metafisario en la cortical opuesta por compresión. Son frecuentes en el 5º dedo que típicamente se desvía hacia fuera. Es clásica la maniobra de reducción mediante la maniobra del lápiz, que se coloca entre los dedos y sirve de fulcro.
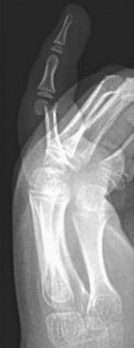
También puede aparecer fracturas de la base de F2, consecuencia de un traumatismo. Dependiendo el tamaño del fragmento, puede aparecer subluxación de la articulación por lo que habrá que realizar una reducción cerrada. La tracción mantenida mediante un fijador externo evita el colapso de la articulación y mantiene la congruencia articular (Figura 21).
Figura 21: a- fractura base F2 intraarticular con subluxación articular y b,c- tratamiento quirúrgico mediante técnica de Suzuki.
D2. Fracturas diafisarias
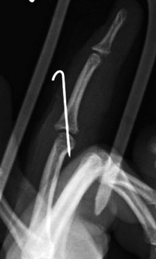
Menos frecuentes en la edad pediátrica debido a la estabilización del periostio y la cobertura de partes blandas (tendones flexores). Por lo general, estas fracturas se tratan de manera conservadora permitiendo hasta 30° de angulación en el plano del movimiento, siempre que exista potencial de remodelación (Figura 22). Se debe valorar la inestabilidad del trazo de fractura, la rotación y el acortamiento para indicar una reducción cerrada y estabilización con agujas de Kirschner cruzadas.
Figura 22: a, b- Fractura diafisaria F1 5º dedo mano izquierda con leve desplazamiento y c- evolución posterior.
D3. Fracturas del cuello (subcondíleas)
Es una fractura extraarticular frecuente en la edad infantil y característica de lesiones por aplastamientos al cerrarse puertas de manera brusca al retirar la mano. Es más frecuente en la falange media del 2º o 5º dedo. El fragmento distal tiende a rotar a la extensión permaneciendo los ligamentos colaterales insertados en el fragmento distal.
Las fracturas no desplazadas del cuello de la falange se manejan con inmovilización con flexión de la articulación interfalángica durante 3-4 semanas. A pesar de ser fracturas alejadas de la fisis, en niños con potencial de crecimiento, menores de 8 años, se produce una buena remodelación de la fractura sin dejar secuelas cuando el desplazamiento es leve (Figura 23).
En el caso de fracturas muy desplazadas e inestables deben reducirse de manera cerrada y estabilizar con agujas cruzadas que se mantienen durante 3-4 semanas.
Se debe evitar atravesar la superficie articular con las agujas y utilizar agujas de diámetro adecuado para evitar secuelas, aunque en ocasiones es imposible sintetizarlas sin atravesar la articulación (Figura 24).
Figura 24: a- Fractura del cuello de falange media con desplazamiento posterior que requiere tratamiento quirúrgico. b- Reducción cerrada y estabilización con agujas de Kirschner.
D4. Fracturas intraarticulares (condílea):
Se pueden diferenciar fracturas por avulsión, unicondíleas o intracondíleas, bicondíleas o transcondíleas y osteocondrales. Suelen afectar a la falange proximal y su tratamiento es complejo. Como cualquier fractura intraarticular deben reducirse anatómicamente dejando una articulación congruente para evitar secuelas de rigidez.
Se puede intentar realizar una reducción cerrada de la fractura, pero generalmente termina siendo necesaria la reducción abierta y estabilización con agujas (Figura 25)
Figura 25: a- fractura intra-articular del cóndilo de la falange proximal. Tratamiento quirúrgico mediante reducción abierta y osteosíntesis con aguja de Kirschner. b, c-Imagen radiológica con buena reducción y congruencia articular
No olvidar en las fracturas de la mano
El 75% de las fracturas que afectan a los dedos de las manos no causan problemas, pero un 25% precisan de un tratamiento específico.
La mayoría de las fracturas extra-articulares se tratan de forma conservadora con resultados excelentes por la gran capacidad de remodelación ósea cuando existe potencial de crecimiento.
Las fracturas intra-articulares precisan de una reducción anatómica manteniendo la articulación congruente. La presencia de escalones articulares y penetración articular con material de osteosíntesis se asocian a rigidez articular.
Se deben utilizar agujas del menor diámetro posible o fijadores externos para fracturas intraarticulares.
El tratamiento completo en las fracturas de Seymour incluye reducción anatómica y antibioterapia adecuada.
Referencias
- Flynn JM, Sarwark JF, Waters PM, Bae DS, Lemke LP. The operative management of pediatric fractures of the upper extremity. J Bone Joint Surg (Am). 2002; 84-A:2078-89.
- Schmittenbecher PP. State-of-the-art treatment of forearm shaft fractures. Injury, Int J Care Injured. 2005; 36:25-34.
- Wilkins KE. Principles of fracture remodeling in children. Injury, Int J Care Injured. 2005; 36:3-11.
- Abzug JM, Dua K, Bauer AS, Cornwall R, Wyrick TO. Pediatric phalanx fractures. Instr Course Lect. 2017; 66:417-27.
- Skaggs DL, Flynn JM. Staying out of trouble in pediatric orthopaedics. Philadelphia; Lippincott Williams & Wilkins, 2006.
- Waters PM, Beaty J, Kasser J. Elbow “TRASH” (the Radiographic Appearance Seemed Harmless) lesions. J Pediatr Orthop. 2010; 30(suppl): S77-S81.
- Flynn JM, Sarwark JF, Waters PM, Bae DS, Lemke LP. The surgical management of pediatric fractures of the upper extremity. Instr Course Lect. 2003; 52:635-45.
- Flynn JM. Staying out of trouble in pediatric orthopaedics. Philadelphia; Lippincott Williams & Wilkins, 2006.







































































