Resumen
Objetivo
La incidencia de pseudoartrosis del escafoides carpiano varía entre el 5% y el 50% y llega al 65% cuando el tratamiento es inadecuado. Evaluamos el índice de consolidación lograda con injerto intercalar de cresta iliaca y un tornillo a compresión.
Material y métodos: Se incluyeron 17 pacientes operados de pseudoartrosis de la cintura del escafoides carpiano con un promedio de edad de 33 ± 8 (20 – 53) años. La mayoría de los pacientes eran varones (82,4%), con un seguimiento medio de 32 ± 13 (10 – 52) meses.
Resultados
El tiempo entre la lesión y la cirugía mostró una mediana de 13 meses. El porcentaje de pérdida de fuerza se ubicó entre el 5% y el 60%. El Quick Dash mostró una mediana=6,8. Radiográficamente consolidaron 16 consolidaron, 4 pacientes tuvieron un MWS excelente (23,5%), en 6 fue bueno (35,3%) y en 7 satisfactorio (41,2%). A menor tiempo entre la lesión y la cirugía se consiguieron mejores resultados.
Conclusiones
La técnica propuesta tiene un alto índice de consolidación. Los resultados funcionales empeoran cuando aumenta el tiempo entre la lesión y la cirugía.
Nivel de evidencia: IV
Abstract
Aim
The incidence of nonunion has a 5 to 50% variation, although it reaches 65% when the treatment is inappropriate. The purpose of this study is to assess the consolidation rate achieved through this technique, pain, function and life quality of the patient. Material and methods: 17 operated patients were included. Their average age was 33 ± 8 (20-53) years. Most of the patients (82.4%) were men. The average follow-up was 32 ± 13 (10-52) months.
Results
The time between injury and surgery showed a median of 13 months. The grip strength loss percentage was between 5% and 60%. Two patients showed no strength loss. The Quick Dash score shows a median of 6.8 and the radiographic assessment shows that 16 cases were consolidated, 4 of them showed an excellent MWS score (23.5%), 6 showed a good score (35.3%) and 7 showed a satisfactory score (41.2%). Shorter was the treatment delay, the better were the MWS results.
Conclusions
The realized technique has a high consolidation rate. The functional results are good, and decrease when the diagnosis and therapeutic delay is bigger.
Level Evidence: IV.
Keywords: Scaphoid, nonunion, bone graft, hand.
Palabras clave: Escafoides, pseudoartrosis, injerto, mano
Keywords: Scaphoid, nonunion, bone graft, hand.
Introducción
La fractura de escafoides carpiano es la más frecuente de los huesos del carpo. No es menor el porcentaje de lesiones que pasan desapercibidas. La incidencia de pseudoartrosis varia del 5% al 50% pero llega al 65% cuando el tratamiento es inadecuado (1). La progresión y la gravedad de los cambios degenerativos dependen de varios factores, sabiendo que la evolución es hacia a un patrón predecible de artrosis de puño, por esta razón es importante un diagnóstico correcto. Para minimizar la incidencia de la artrosis el tratamiento debe buscar la consolidación de la fractura con un alineamiento anatómico del escafoides.
La pseudoartrosis de la cintura del escafoides puede producir una “deformidad en joroba”, en flexión, del cuerpo que aumenta las probabilidades de evolucionar al colapso y provocar una artrosis (2). El escafoides en flexión se asocia con una deformidad en DISI en la cual el semilunar queda en extensión relativa. Fisk (3) observó que la posición del semilunar puede ser corregida llenando el defecto que produce la pseudoartrosis con un injerto óseo trapezoidal. Dado que la base amplia del defecto está en la cara palmar el injerto se introduce de manera que su vértice se ubique en la cara dorsal para eliminar la “deformidad en joroba”. Fisk (3) utilizó un abordaje radial para acceder al escafoides y obtener un injerto óseo de la estiloides radial sin fijación interna. Fernández (4) modificó esta técnica colocando un injerto proveniente de la cresta iliaca y un abordaje palmar con fijación interna, con índices de consolidación superiores al 90% [5-8]. Cuando el DISI se corrige y recupera la altura se recuperan las evaluaciones funcionales y el rango normal de movilidad.
La pseudoartrosis de escafoides rara vez son sintomáticas en etapas iniciales y el índice de tratamientos exitosos disminuye en forma proporcional a su evolución (5)(6). Dado que no se puede determinar el tiempo de evolución de una pseudoartrosis o los pacientes que hay con una pseudoartrosis asintomática la historia natural de la misma está poco definida (9)(10). Por consiguiente, es difícil calcular el riesgo de evolucionar a la artrosis de muñeca. Sin embargo, actualmente cada vez son más los datos que indican que la mayoría de las pseudoartrosis sintomáticas evolucionan a una deformidad por colapso (5-8). El objetivo del estudio es evaluar el índice de consolidación, dolor, función y calidad de vida de los pacientes con pseudoartrosis de escafoides carpiano.
Material y métodos
Estudiamos 17 pacientes, 14 (82,4%) eran hombres con un promedio de edad de 33 (DE: 8; rango: 20 – 53) años. En 10 pacientes (58,8%) la mano afectada fue el derecho. Todos los pacientes eran diestros. No se perdió ningún paciente de la serie. La ocupación de los pacientes eran dos domésticas, dos desempleados, un jubilado y doce empleados por cuenta ajena, de los cuales se destacan dos trabajadores de la construcción, un jugador de rugby y un paciente cuyo empleo implicaba tareas de esfuerzo.
El tiempo entre la lesión y la cirugía mostró una mediana de 13 meses, con un percentil 25 y 75 de 8 y 30 meses respectivamente. Un paciente tardó 168 meses en ser intervenido. En cuanto a la clasificación (SNAC), 16 pacientes fueron sanos (94%), un paciente fue considerado como SNAC I (6%). El 94,1% de los pacientes no sufrió asociación con otras lesiones, en tanto que un paciente sufrió fractura de puño contralateral. Ninguno sufrió compromiso neurovascular distal.
Todos los pacientes fueron citados y evaluados en consulta donde se midió la fuerza, con un dinamómetro, el arco de movilidad, con goniómetro, y se les realizó el cuestionario Quick Dash y el Mayo Wrist Score (Tabla 1) (Tabla 2). El seguimiento medio fue de 32 (DE: 13; rango: 10 – 52) meses.
Tabla 1: Características demográficas
|
|
Edad (años) |
Sexo |
Ocupación |
Mano habil |
Lado |
Seguimiento meses |
Retraso cirugia (meses) |
Complica-ciones |
Clasificacion-SNAC |
C.NVD |
|
1 |
32 |
M |
construcción |
Dcho |
Dcho |
52 |
12 |
no |
sano |
no |
|
2 |
35 |
M |
empleado |
Dcho |
Dcho |
48 |
7 |
no |
snac I |
no |
|
3 |
37 |
M |
empleado |
Dcho |
Dcho |
48 |
8 |
no |
sano |
no |
|
4 |
31 |
M |
empleado |
Dcho |
Dcho |
49 |
49 |
no |
sano |
no |
|
5 |
27 |
M |
construcción |
Dcho |
Dcho |
38 |
13 |
no |
sano |
no |
|
6 |
50 |
F |
jubilada |
Dcho |
Izdo |
38 |
8 |
no |
sano |
no |
|
7 |
33 |
F |
domestica |
Dcho |
Dcho |
37 |
22 |
no |
sano |
no |
|
8 |
20 |
M |
desempleado |
Dcho o |
Dcho |
36 |
13 |
no |
sano |
no |
|
9 |
29 |
M |
informatica |
Dcho |
Dcho |
33 |
13 |
no |
sano |
no |
|
10 |
53 |
F |
ama de casa |
Dcho |
Dcho |
27 |
36 |
no |
sano |
no |
|
11 |
32 |
M |
mecánico naval |
Dcho |
Izdo |
26 |
26 |
no |
sano |
no |
|
12 |
28 |
M |
administrativo |
Dcho |
Izdo |
24 |
4 |
no |
sano |
no |
|
13 |
28 |
M |
informatica |
Dcho |
Izdo |
23 |
168 |
no |
SNAC I |
no |
|
14 |
35 |
M |
chofer |
Dcho |
Dcho |
19 |
15 |
no |
sano |
no |
|
15 |
30 |
M |
desempleado |
Dcho |
Dcho |
16 |
34 |
no |
sano |
no |
|
16 |
27 |
M |
empelado-rugby |
Dcho |
Izdo |
13 |
11 |
no |
sano |
no |
|
17 |
30 |
M |
empleado |
Dcho |
Izdo |
10 |
8 |
no |
sano |
no |
Se consideraron criterios de inclusión pacientes operados en el periodo, comprendido entre enero 2012 y mayo 2015, operados por el mismo cirujano, con pseudoartrosis de la cintura del escafoides carpiano tratado con injerto trapezoidal de cresta iliaca. Todos firmaron el consentimiento informado. Los criterios de exclusión, por su parte, fueron estar operado por otro cirujano del equipo, con lesiones asociadas homolateral, fractura aguda, con estados avanzados de puño SNAC y con menos de 6 meses de cirugía.
Tabla 2: Resultados
|
|
Consolidado |
Artrosis |
Dolor Pre OP |
Dolor Post Op |
Perd fuerza % |
% Movilidad contralateral |
Quick Dash |
MWS |
|
1 |
si |
no |
ocasional |
no |
20 |
100 |
6,8 |
85 |
|
2 |
si |
no |
moderado |
no |
17 |
75-99 |
20,45 |
80 |
|
3 |
si |
no |
ocasional |
no |
20 |
100 |
0 |
90 |
|
4 |
si |
no |
moderado |
no |
20 |
75-99 |
2,28 |
80 |
|
5 |
si |
no |
moderado |
no |
38 |
75-99 |
0 |
80 |
|
6 |
si |
no |
moderado |
ocasional |
40 |
75-99 |
43,2 |
65 |
|
7 |
si |
no |
moderado |
ocasional |
50 |
75-99 |
18,2 |
70 |
|
8 |
si |
no |
ocasional |
no |
10 |
75-99 |
4,54 |
90 |
|
9 |
NO |
no |
ocasional |
ocasional |
50 |
75-99 |
15,9 |
65 |
|
10 |
si |
no |
ocasional |
no |
60 |
75-99 |
29,5 |
60 |
|
11 |
si |
no |
moderado |
no |
0 |
100 |
0 |
100 |
|
12 |
si |
no |
moderado |
no |
5 |
100 |
4,54 |
90 |
|
13 |
si |
SNAC II |
severo |
moderado |
50 |
50-74 |
20,45 |
65 |
|
14 |
si |
no |
ocasional |
no |
15 |
75-99 |
15,9 |
80 |
|
15 |
si |
no |
moderado |
no |
20 |
75-99 |
20,45 |
65 |
|
16 |
si |
no |
moderado |
no |
0 |
100 |
0 |
100 |
|
17 |
si |
no |
moderado |
no |
23 |
75-99 |
0 |
80 |
Técnica quirúrgica (Fisk-Fernandez)
Efectuamos un abordaje volar dado que conserva la vascularización dorsal, permitía la visualización directa del foco, movilización de los polos y manejar la deformidad en joroba mediante el injerto trapezoidal (1)(11)(12). Nos centramos sobre el tendón palmar mayor, efectuando una incisión curvilínea dirigida hacia el tubérculo del escafoides. Se protegió la rama sensitiva cutánea del nervio radial y disecamos el plano superficial incidiendo la cápsula longitudinalmente sobre el eje del escafoides. Se reflejó la cápsula, se identificó el polo distal y proximal colocando dos agujas de Kirschner, a modo de joystick. Cureteamos el foco con una fresa (Figura 1). Dejando el escafoides, extrajimos un injerto cortico-esponjoso trapezoidal de cresta iliaca (Figura 2). Volviendo a la mano, distrajimos los fragmentos escafoideos y colocamos el injerto, con su base en situación volar, para extender el escafoides (1)(5)(12)(13). Colocamos otra aguja de Kirschner retrógrado como guía, y tras medir y mechar, colocamos un tornillo de compresión interfragmentaria (11), para proceder posteriormente a cerrar la cápsula y los planos superficiales. Se colocó una inmovilización con férula de yeso, incluyendo el primer dedo, que mantuvimos durante 4 semanas.
Se efectuaron radiografías dorso-palmar, lateral pre y post operatorias. Al final del seguimiento se evaluó la consolidación mediante radiografías. Se indicó un TC de puño en los pacientes como método de valoración pre operatoria y la RM cuando se sospechó un compromiso vascular del polo proximal para definir técnica quirúrgica.
Los parámetros funcionales evaluados fueron dolor, según la escala visual análoga (EVA), la movilidad, flexión, extensión, desviación radial y cubital, se evaluó con un goniómetro. La fuerza de prehensión se efectuó con un dinamómetro. La evaluación funcional subjetiva se realizó mediante los cuestionarios Mayo Wrist Score y Quick Dash.
Los datos se presentan con distribuciones de frecuencias absolutas y porcentuales para las variables cualitativas, con media, desvío estándar y mediana y percentiles 25 y 75, para las variables cuantitativas. La normalidad fue verificada con la prueba de Kolmogorov-Smirnov. La relación entre variables se probó mediante test de Chi cuadrado de Pearson y el test exacto de Fisher, según previo cálculo de frecuencias esperadas y el test de correlación para variables cuantitativas. Se consideraron significativos los valores p inferiores a 0,05. El análisis se realizó en el software SPSS.
Resultados
Ningún paciente padeció complicaciones, ni debió ser reintervenido.
El dolor pre operatorio fue ocasional en 6 pacientes (35,3%), moderado en 9 pacientes (52,9%) y fuerte en un paciente (5,9%); un paciente estuvo con yeso durante un mes abandonando tratamiento.
El porcentaje de pérdida de fuerza se ubicó entre el 5 y el 60%; con un percentil 25, 15%, una mediana, 20%, y un percentil 75, 50%. Dos pacientes no presentaron pérdida. La escala Quick Dash mostró una mediana de 6,8, con percentiles 25 y 75, de 1,14 y 20,45 respectivamente.
La valoración radiografíca demostró que 16 casos consolidaron, de los cuales uno mostraba signos de artrosis que ya estaban antes del tratamiento. Sólo uno no consolidó. Al momento del estudio 13 pacientes no tenían dolor (76,5%), tres tenían dolor ocasional (17,6%) y uno dolor moderado (5,9%).
De los 17 pacientes, 4 tuvieron un MWS excelente (23,5%), 6 pacientes tuvieron bueno (35,3%), y 7 tuvieron satisfactorio (41,2%). Ninguno mostró un MWS pobre.
No encontramos correlación (p=0,149) entre el tiempo entre la lesión y el tiempo de cirugía con la pérdida de fuerza. Tampoco vimos una relación estadísticamente significativa (p=0,510) entre el tiempo de lesión y la cirugía con la escala Quick Dash. Observamos que a menor tiempo entre lesión y la cirugia eran mejores los resultados obtenidos en el MWS (p=0,027).
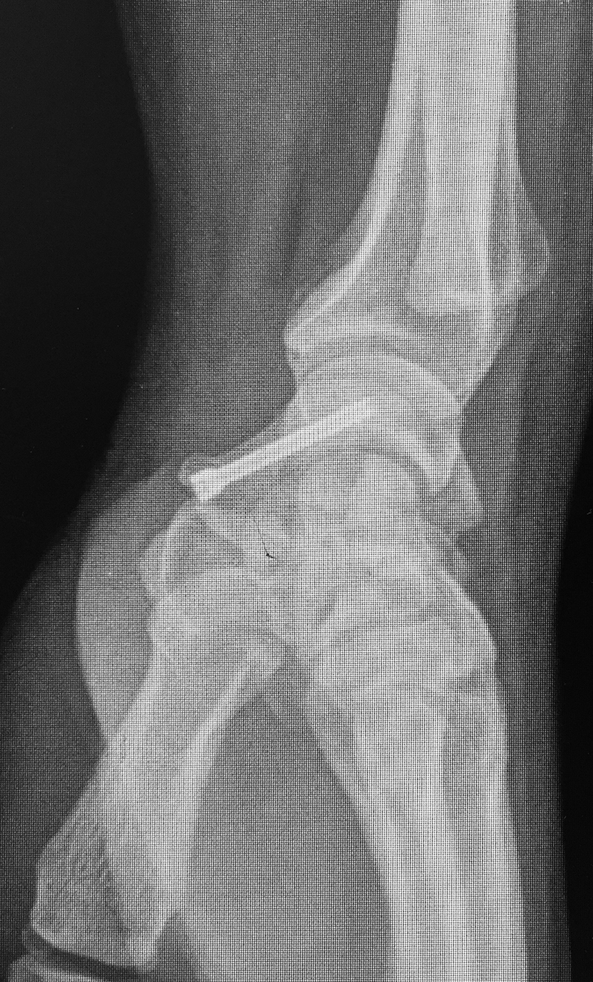
La evaluación de la movilidad mostró que 5 pacientes (29,4%) tenían la movilidad completa; 11 pacientes (64,7%) la conservaron entre el 75 y el 99 % y un paciente (5,9%) entre el 50 y el 74%. No encontramos asociación estadística entre la movilidad y el retraso terapéutico (p=0,241). (Figura 3) (Figura 4) (Figura 5) (Tabla 1) (Tabla 2).
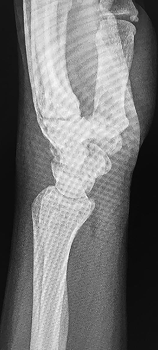
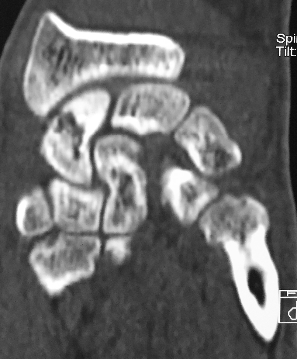
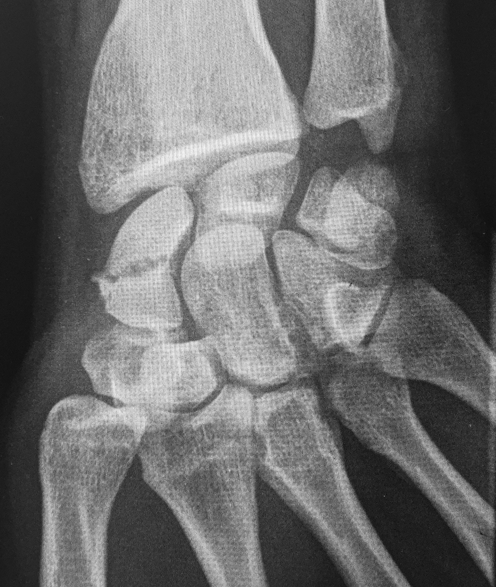
Figura 3: Caso 9
a) Radiografia de perfil pre-opertaoria
b) TC pre-operatoria. Corte sagital
c) TC pre-operatoria. Corte coronal
d) Radiografías post-operatorias
e) Radiografía de frente, 33 meses seguimiento, pseuodartrosis persistente
f) Radiografía de frente, 33 meses seguimiento, pseuodartrosis persistente
g) 33 meses de seguimiento, flexión de muñeca
h) Extensión de muñeca
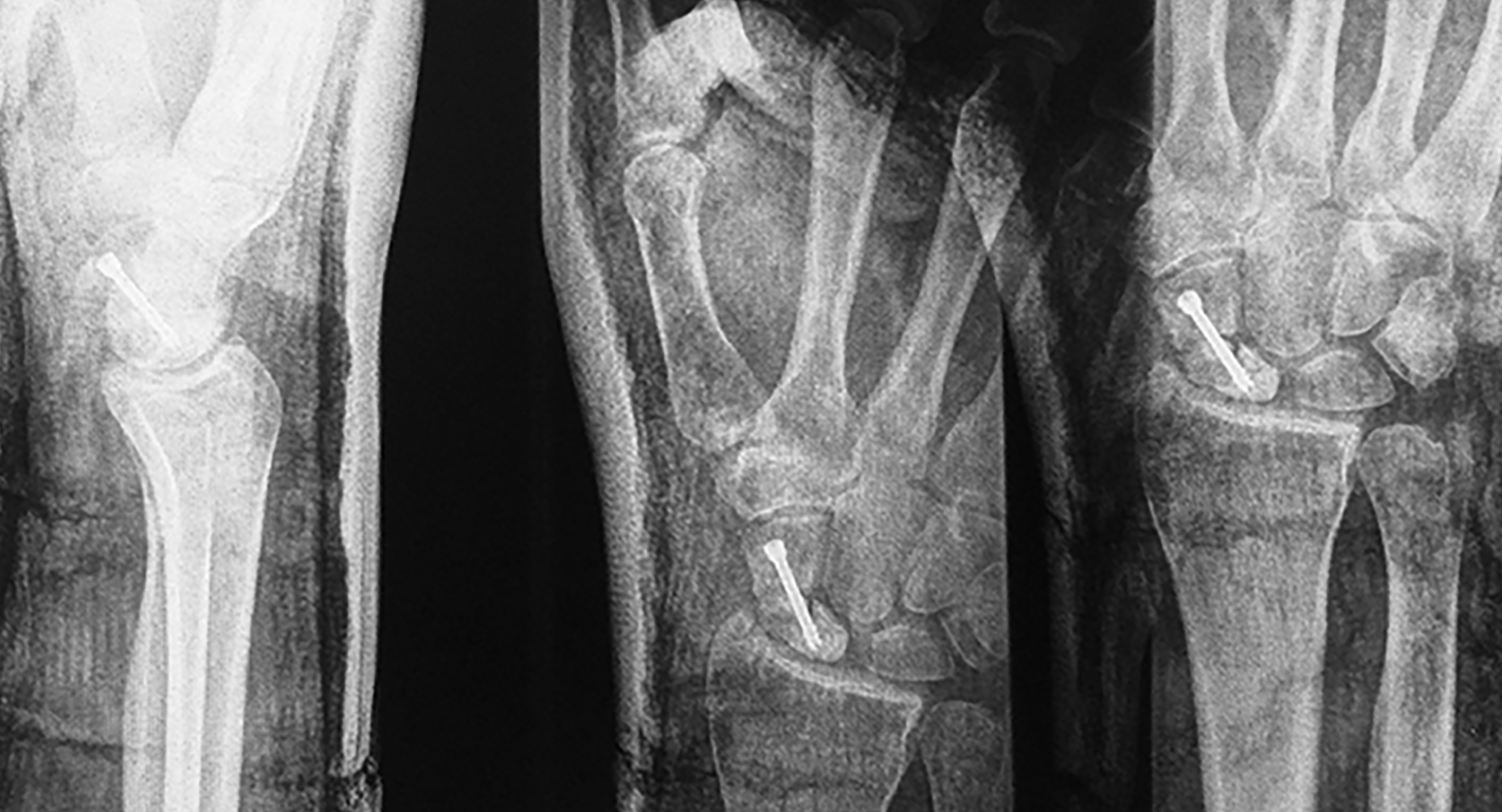
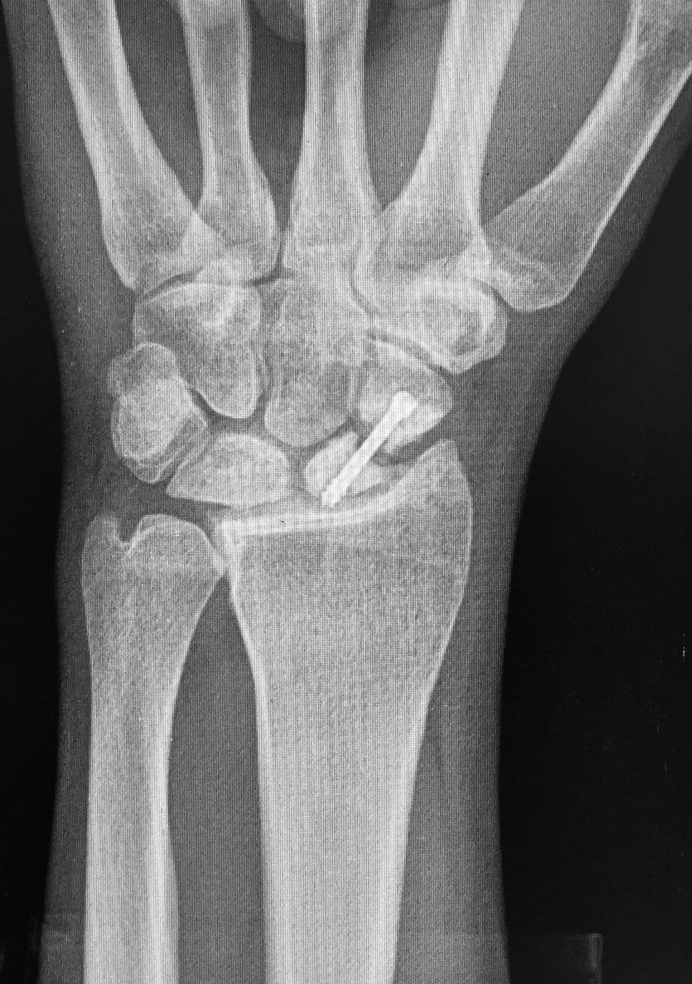
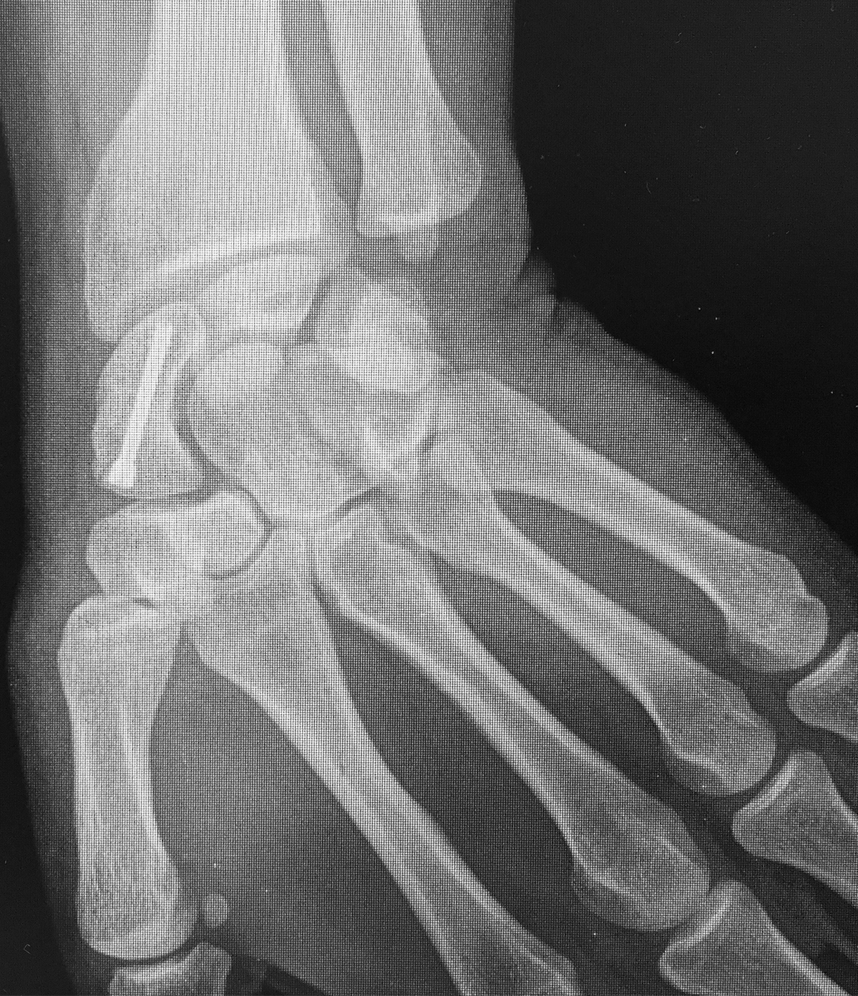
Figura 4: Caso 12
a) Radiografía de frente pre-operatoria
b) Radiografía pre-opertaoria, enfoque de escafoides
c) Radiografía post operatoria
e) 24 meses de seguimiento. Radiografía de frente
f) 24 meses de seguimiento. Radiografía de perfi
g) 24 meses de seguimiento, extensión de muñeca
h) Flexión de muñeca
Discusión
La evolución natural de la pseudoatrosis de escafoides carpiano es hacia el SNAC (9) por lo que se han recomendado múltiples técnicas para eliminar este proceso. Restaurar la longitud del escafoides y corregir la alineación carpiana se relaciona con unos mejores resultados funcionales.
La deformidad en “joroba” persistente desarrollará una alineación en DISI. En la mayoría de los casos, el tratamiento quirúrgico se realiza con retraso obteniendo peores resultados funcionales (2)(5)(9)(14). Mack et al., (15) recomiendan que las pseudoartrosis de escafoides carpiano deben ser reducidas e injertadas independientemente de la sintomatología, antes de que se observen signos degenerativos.
La técnica de Matti-Russe, un abordaje por via dorsal con la interposición de injerto obtenido de radio distal córtico-esponjoso, tipo sarcófago, obtiene buenos resultados a largo plazo, con 90% de consolidaciones; sin embargo, un alto porcentaje de estos habían quedado en mala posición (16-18). Fisk, (3) observó como la pseudoartrosis crónica del escafoides carpiano progresaba hasta el colapso del carpo. La realineación de los fragmentos crea un defecto en cuña que puede corregirse con la interposición de injerto óseo moldeado en forma de cuña por vía anterior (3). Cooney et al., (19) también publicaron que este procedimiento corregía la extensión anormal del semilunar corrigiendo la extensión del escafoides. Fisk (3) propuso un abordaje lateral, con estiloidectomia, utilizando la misma como cuña. Fernández (4) modificó la técnica interponiendo injerto en cuña, de cresta iliaca, con fijación interna obteniendo buenos resultados. La fijación interna ha ido cambiando en el tiempo, Fisk (17) no lo utilizaba porque el injerto era intrínsecamente estable.
Herbert et al., (6) desarrolló un tornillo de compresión con doble rosca, logrando compresión del foco y requiriendo menor inmovilización postoperatoria con mejor movilidad, menor índice de rigidez y un retorno precoz a las actividades (5)(11)(20). Warren-Smith y Barton, (21) publicaron un estudio comparativo entre la técnica Matti-Russe y el injerto de cresta iliaca, por vía anterior, y fijación con tornillo de Herbert obteniendo mejores índices de consolidación y función con la técnica de injerto por vía anterior. Daly et al., (22) publicaron una serie retrospectiva de 26 pacientes con un promedio de seguimiento de 14 meses, 15 de los pacientes no recibieron tratamiento previo y 11 tuvieron cirugías previas, lograron la consolidación en 25 pacientes con resultados funcionales variados, no estando los mismos relacionados entre el tiempo entre lesión y la cirugía. También Kirkham et al., (23) publicaron una serie de 27 pacientes con pseudoartrosis cavitaria de la cintura del escafoides, 9 pacientes fueron tratados previamente con tornillo, 4 con tornillo e injerto y 7 con yeso, con una deformidad en DISI utilizando la técnica de injerto por vía anterior y fijación con agujas de Kirschner logrando la consolidación en 26 de los 27 pacientes. Cohen et al., (24) en un estudio retrospectivo, evaluaron 12 pacientes con pseudoartrosis de la cintura del escafoides con una deformidad en flexión con injerto esponjoso no estructural, manteniendo la alineación y la longitud con un tornillo retrógrado con buenos resultados. García et al., (25) en su serie retrospectiva de 19 pacientes con pseudoartrosis de la cintura del escafoides carpiano, tercio proximal y distal, utilizaron distintos tipos de injertos y dos tornillos de compresión, obteniendo buenos resultados.
Los resultados clínicos y radiográficos están relacionados con el retraso diagnóstico y el tiempo entre la lesión y la cirugía, siendo los mismos peores a mayor tiempo de evolución, siendo la corrección del DISI difícil de lograr después de los 12 meses (14).
Es escasa la bibliografía publicada sobre esta técnica, las series de los pacientes encontrados son pequeñas, se incluyen distintos tipos de pseudoartrosis con distintas técnicas de fijación, por lo tanto, el nivel de evidencia y la fuerza de recomendación es baja. El objetivo del tratamiento de una pseudoartrosis de escafoides debe ser lograr la consolidación en una posición anatómica, para disminuir la progresión degenerativa o “puño SNAC” (26). Pinder et al., (27) publicaron una revisión sistemática donde revisan 1602 pacientes viendo que la evidencia actual no demuestra superioridad de un método de tratamiento sobre otro para la pseudoartrosis de escafoides. Nuestro estudio logró la consolidación en 16 de los 17 pacientes con buenos resultados funcionales.
Las limitaciones de nuestro estudio son, en primer lugar, que es un estudio retrospectivo, los datos fueron obtenidos de las historias clínicas y de la entrevista personal no contando con algunas de las variables pre operatorias evaluadas en el seguimiento. De todas formas, en la entrevista los pacientes fueron evaluados clínica y radiográficamente obteniendo datos objetivos del examen y han rellenado los test subjetivos.
La técnica realizada tiene un alto índice de consolidación como describe la bibliografía superando el 90%. Los resultados funcionales son buenos, disminuyendo cuando mayor es el retraso diagnóstico y terapéutico. Es una técnica reproducible y una buena opción frente a esta patología.
Conflicto de intereses
Los autores declaran no recibir fuente de financiacion.
Los autores declaran no tener conflicto de interés.
Agradecimientos
Al Dr. Fernando Castro, Jefe de Servicio de Traumatología y Ortopedia. Médica Uruguaya, Montevideo, Uruguay.
Referencias
- Green’s. Hand´s Surgery. Fracture of carpal bones. Volumen 1. Madrid: Marbán, 2007. Pp: 711-67.
- Trumble TE, Salas P, Barthel T, Robert KQ 3rd. Management of scaphoid nonunions. J Am Acad Orthop Surg. 2003; 11:380-91.
- Fisk GR. Carpal instability and the fractured scaphoid. Ann R Coll Surg Engl. 1970; 46:63-76.
- Fernandez DL. Anterior bone grafting and conventional lag screw fixation to treat scaphoid nonunions. J Hand Surg Am. 1990; 15:140-7.
- Trumble. TE, Clarke T, Kreder HJ. Nonunion of the scaphoid. Treatment with cannulated screws compared with treatment with Herbert screws. J Bone Joint Surg (Am). 1996; 78-A:1829-37.
- Inoue G, Shionoya K. Herbert screw fixation by limited access for acute fractures of the scaphoid. J Bone Joint Surg (Br). 1997; 79-B:418-21.
- Amadio PC, Berquist TH, Smith DK, Ilstrup DM, Cooney WP 3rd, Linscheid RL. Scaphoid malunion. J Hand Surg Am. 1989; 14:679-87.
- Herbert TJ. Natural history of scaphoid nonunion: a critical analysis. J Hand Surg Am. 1994; 19:155-6.
- Ruby LK, Stinson J, Belsky MR. The natural history of scaphoid non-union. A review of fifty-five cases. J Bone Joint Surg (Am). 1985; 67-A:428-32.
- Gelberman RH, Wolock BS, Siegel DB. Fractures and non-unions of the carpal scaphoid. J Bone Joint Surg (Am). 1989; 71-A:1560-5.
- Herbert TJ, Fisher WE. Management of the fractured scaphoid using a new bone screw. J Bone Joint Surg (Br). 1984; 66:114-23.
- Waitayawinyu T, McCallister WV, Nemechek NM, Trumble TE. Scaphoid nonunion. J Am Acad Orthop Surg. 2007; 15:308-20.
- Simonian PT, Trumble TE. Scaphoid nonunion. J Am Acad Orthop Surg. 1994; 2:185-91.
- Euler S, Erhart S, Deml C, Kastenberger T, Gabl M, Arora R. The effect of delayed treatment on clinical and radiological effects of anterior wedge grafting for non-union of scaphoid fractures. Arch Orthop Trauma Surg. 2014; 134:1023-30.
- Mack GR, Bosse MJ, Gelberman RH, Yu E. The natural history of scaphoid non-union. J Bone Joint Surg (Am). 1984; 66-A:504-9.
- Hernandez. R, Ferrero. M, Perez. S, Muñoz. M. Resultados del tratamiento quirúrgico de la seudoartrosis de escafoides carpiano con la técnica de Fisk-Fernández. Rev Esp Cir Ortop Traumatol. 2014; 58:229-36.
- Ruse O. Fracture of the carpal navicular. Diagnosis, non-operative treatment, and operative treatment. J Bone Joint Surg (Am). 1960; 42-A:759-68.
- Jiranek WA, Ruby LK, Millender LB, Bankoff MS, Newberg AH. Long-term results after Russe bone-grafting: the effect of malunion of the scaphoid. J Bone Joint Surg (Am). 1992; 74:1217-28.
- Cooney WP, Linscheid RL, Dobyns JH, Wood MB. Scaphoid nonunion: role of anterior interpositional bone grafts. J Hand Surg Am. 1988; 13:635-50.
- Rajagopalan BM, Squire DS, Samuels LO. Results of Herbert-screw fixation with bone-grafting for the treatment of nonunion of the scaphoid. J Bone Joint Surg (Am). 1999; 81:48-52.
- Warren-Smith CD, Barton NJ. Non-union of the scaphoid: Russe graft vs Herbert screw. J Hand Surg Br. 1988; 13:83-6.
- Daly K, Gill P, Magnussen PA, Simonis RB. Established nonunion of the scaphoid treated by volar wedge grafting and Herbert screw fixation. J Bone Joint Surg (Br).1996; 78:530-4.
- Kirkham SG, Millar MJ. Cancellous bone graft and Kirschner wire fixation as a treatment for cavitary-type scaphoid nonunions exhibiting DISI. Hand (New York, NY). 2012; 7:86-93.
- Cohen MS, Jupiter JB, Fallahi K, Shukla SK. Scaphoid waist nonunion with humpback deformity treated without structural bone graft. J Hand Surg Am. 2013; 38:701-5.
- Garcia RM, Leversedge FJ, Aldridge JM, Richard MJ, Ruch DS. Scaphoid nonunions treated with 2 headless compression screws and bone grafting. J Hand Surg Am.2014; 39:1301-7.
- Watson HK, Ballet FL. The SLAC wrist: scapholunate advanced collapse pattern of degenerative arthritis. J Hand Surg Am. 1984; 9:358-65.
- Pinder RM, Brkljac M, Rix L, Muir L, Brewster M. Treatment of Scaphoid Nonunion: A Systematic Review of the Existing Evidence. J Hand Surg Am. 2015; 40:1797-805.
















