Resumen
El dolor de espalda en niños es más frecuente de lo que se pensaba, comienza pronto y aumenta con la edad, hasta tener una prevalencia similar a los adultos. Además, ahora se sabe que la mayoría de las veces (78%) el dolor está asociado a una patología de tipo mecánico y no orgánico como antes se pensaba. La controversia reside en cómo identificar lo antes posible, de una manera organizada y usando la menor cantidad de estudios, el diagnóstico diferencial entre una patología orgánica o mecánica. En este artículo se describe una gama de patologías que ayudaran al profesional de la salud a establecer un posible diagnostico al dolor de espalda pediátrico.
Abstract
For many years it was thought that pediatric back pain was not as common as in adults population and in turn was highly associated with an organic pathology such as malignancy, infection, deformity or trauma and therefore it was imperative to thoroughly evaluate this complaint until identifying the possible associated diagnosis. Many patients were evaluated in the past with multiple studies that increased patient and / or family anxiety, treatment costs and exposure to unnecessary radiation. The new studies have changed this philosophy, now it is known that the complaint is more frequent than previously thought, starting at young age, increasing directly with age until having a similar prevalence to adults. In addition, it is now known that in most cases (78%) the pain will be associated with mechanical and non-organic pathology as previously thought. The current controversy is how to identify as soon as possible, in an organized way and using the fewest studies, if the back pain is associated with an organic or mechanical pathology. This article describes a range of pathologies that will help the health professional to establish a possible diagnosis of pediatric back pain
Palabras clave: : Dolor de espalda Pediátrico, Tumor, Infección, Trauma
Keywords: Pediatric Back pain, Tumor, Infection, Trauma
Introducción
Se ha pensado que el dolor de espalda pediátrico no era común a diferencia de la población adulta, donde la posibilidad de tener dolor de espalda alguna a lo largo de su vida, en un 80% de las veces (1)(2). Esta idea ha cambiado (3)(4) pues se reconoce que las quejas por dolor de espalda empiezan en una edad más temprana y aumentan con la edad (3-6). Entre un 30% y un 60% de los niños sufrirán de dolor de espalda, dependiendo de la diversidad metodológica implementada en cada estudio (7). También se pensaba que el dolor de espalda pediátrico estaba asociado a una patología orgánica, como malignidad, infección, deformidad o trauma (8-10) y, por lo tanto, había que evaluarla hasta identificar el diagnóstico. En ocasiones los pacientes fueron evaluados con múltiples estudios que aumentaban la ansiedad del paciente y la familia, el coste del tratamiento y la radiación innecesaria y, usualmente, terminaba sin un hallazgo orgánico (11-13). La mayoría de las veces, el dolor estaba asociado a patología de tipo mecánica. La controversia actual reside en como poder identificar lo más pronto posible, de una manera organizada con una menor cantidad de estudios, si los síntomas están asociados a una patología orgánica o mecánica (13).
Protocolo para la detección del dolor de espalda pediátrico
Como profesionales de la salud, debemos establecer el posible diagnóstico del dolor de espalda por medio de un buen historial - examen físico y confirmar nuestras sospechas utilizando los estudios disponibles tales como radiografías convencionales, tomografía computarizada, medicina nuclear, resonancia magnética y analítica de sangre.
Historia clínica
Un minucioso historial debe ser obtenido de los padres y pacientes. El historial debe enfatizar en la duración del dolor, naturaleza, localización e intensidad del mismo. Si hay algo que lo agrava, o lo mejora. Si hubo algún tratamiento y como fue la respuesta. Si empezó después de un trauma. Si empezó después de una actividad deportiva o si hubo algún cambio en el entrenamiento. Si el dolor se irradia y hacia dónde. Si el dolor es nocturno, porque dolores por las noches están asociados a posibles malignidades (14). No podemos olvidar el repaso de sistema y el historial familiar. Especialmente si hay familiares con dolor de espalda. El historial social y educativo es importante, los niños con altas demandas educativas y sociales reportaron una mayor incidencia de dolor de espalda (15) y los niños con mayor incidencia de dolor de espalda muestran un hábito alimenticio deficiente con pobre desempeño escolar y falta de apoyo familiar (16). La edad es un parámetro útil para diferenciar la condición pues los niños menores de 10 años rara vez exageran los síntomas. Las causas más frecuentes a esta edad son infecciones o malignidades. Es relevante ver desde cuando tiene dolor de espalda pues dolores con más de tres semanas están altamente asociados a patologías orgánicas. Ante esta presentación debemos averiguar si hay síntomas asociados tales como fiebre, escalofríos, debilidad, palidez, hematomas, problemas de sangrado o pérdida de peso. El 6% de los niños con leucemia presentan el dolor de espalda como síntoma inicial (17).
Por otro lado, en los niños mayores de 10 años las patologías más asociadas son de tipo traumático deportivo o de crecimiento. Si el dolor lleva poco tiempo o su inicio es agudo, esta presentación favorece más a las fracturas, traumatismos de partes blandas o espondilolisis o espondilolistesis. Pero si es de desarrollo lento o crónico la presentación favorece más a condiciones del desarrollo, tales como la cifosis idiopática de Scheuermann o una escoliosis dolorosa. La localización también da una guía de posibles patologías, siendo los dolores torácicos más compatibles con la enfermedad de Sheuermannn. El dolor en la región lumbar es compatible con espóndilolisis o espóndilolistesis (18) y el dolor lumbar con irradiación por las piernas con adormecimiento y debilidad puede ser secundario a un disco herniado. Por su parte, el dolor difuso, sin una localización específica, puede estar asociado a problemas de tipo mecánico (14).
Examen Físico
El examen físico debe ser detallado. Para el paciente ser evaluado con la ropa apropiada, una bata que facilite la evaluación. En general, se debe observar la postura que adquiere, el movimiento de las articulaciones, atrofias y alteraciones en la marcha. Hay que buscar en la piel posibles lesiones, como las manchas “café con leche”, propias de la neurofibromatosis o hematomas típicos de algunas lesiones tumorales, como leucemia (17). El examen de la columna tiene que incluir la observación y la palpación; alguna descompensación o rigidez es indicativo de patología asociada. La limitación para subir las piernas se asocia con discos herniados. Las contracturas de los músculos vertebrales está asociado a la espondilolisis o la espondilolistesis. El examen neurológico es crucial, se debe evaluar el sistema sensorial, motor, reflejos, la presencia de temblores y fortaleza muscular.
Estudios diagnósticos
Una vez completado el historial y examen físico, usaremos los estudios diagnósticos disponibles para confirmar o eliminar nuestras sospechas. Las placas convencionales son frecuentemente consideradas como el mejor método diagnóstico inicial de la evaluación. Una radiografía con buena resolución, de frente y de lado, de la columna vertebral en bipedestación, incluyendo la cadera, ofrecerá la información necesaria para el diagnóstico y tratamiento en un 22% de las veces (13). Estrecheces de los espacios intervertebrales, irregularidad de los bordes de las vértebras, lesiones destructivas radiolucentes o radiodensas, fracturas, defectos de la pars articularis, aumento de la cifosis o la lordosis, o la escoliosis podrían ser algunos de los hallazgos. La decisión de continuar la evaluación cuando la radiografía es negativa, se basa en los hallazgos de la anamnesis y del examen físico. Si el problema tiene origen óseo, entonces se puede solicitar una cintigrafía que si es positiva, tumor, fractura o infección, entonces una tomografía computarizada (TC) permitirá visualizar y delimitar la región afectada. Si el historial y el examen físico apuntan hacia una patología de partes blandas, una afectación neurológica o un disco herniado entonces es indicación de una resonancia magnética (RM) (19). Los estudios de laboratorios están indicados cuando el paciente presenta fiebre, pérdida de peso, debilidad, dolor migratorio o dolor por las mañanas o por la noche. Se debe ordenar un CBC, factor de sedimentación y una proteína C reactiva para descartar posibles infecciones, tumores o condiciones reumatológicas.
Diagnóstico diferencial
Traumatismo muscular
El dolor por un traumatismo muscular secundario a actividades deportivas es común entre los adolescentes (20). La corta duración de los síntomas y el precedente de una actividad deportiva ayuda al diagnóstico. Se hace una radiografía para descartar fracturas o espóndilolisis. En el examen físico predominará un dolor localizado sin irradiación y sin disturbio neurológico. El tratamiento consiste en modificar las actividades, procurar el descanso y ofrecer medicamentos para el dolor. También se debe recurrir a la terapia física con énfasis en los estiramientos, fortalecimiento y acondicionamiento aeróbico. El dolor tiende a aliviarse entre cuatro y seis semanas. Se debe evaluar el programa deportivo para evitar otro daño futuro (20).
Disco herniado
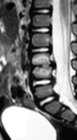
Es menos frecuente que en la población adulta, un 2% de la población pediátrica sufrirá de un disco herniado (21). Usualmente va a estar acompañado de un historial familiar positiva o de traumatismo. El paciente refiere dolor que se irradia hasta las piernas y que aumenta con actividades tan simples como estornudar, estar sentado o parado. El examen físico mostrará un paciente inclinado hacia el frente, con limitación de movimiento de la columna vertebral y dolor al levantar las piernas. El examen neurológico reflejará la disminución de algún reflejo, debilidad o adormecimiento aunque es menos frecuente este hallazgo en los niños que en los adultos (22). La radiografía puede mostrar una escoliosis reactiva al dolor o una disminución del espacio intervertebral, pero el mejor estudio es la RM (Figura 1). El tratamiento inicial será modificar las actividades, procurar descanso y medicación analgésica, relajantes musculares, infiltraciones epidurales y terapia física. Si no hay una respuesta adecuada al manejo conservador o hay alteración neurológica, estará indicada la remoción quirúrgica del disco herniado (22).
Fracturas del anillo apofisario
Es una fractura en la unión del disco y el cuerpo vertebral, cuando se desprende la apófisis del cuerpo vertebral postero-inferior y se desplaza hacia el canal vertebral (23). Es más común en niños varones y el dolor es agudo, secundario a una flexión rápida con una compresión axial. El dolor se describe como una quemazón que se irradia hacia la pierna, parecido a un disco herniado. La radiografía mostrará hueso en el canal espinal, pero la TC será más certera en el diagnóstico. El tratamiento es remoción quirúrgica del fragmento del cartílago y el disco (24).
Dolor de espalda por el uso de mochilas escolares
El uso de mochilas está asociado a dolor de espalda, aunque no son la causa etiológica de escoliosis o cifosis. La Academia Americana de Pediatría hace ciertas recomendaciones en el uso de mochilas, como es usar mochilas livianas, con correas acojinadas, distribuir el peso equitativamente y hacer ejercicios de fortalecimiento de la espalda. Además, se estipula que la mochila no debe pesar más de un 10% a 20% del peso del portador (25).
Enfermedad de Scheuermann
La cifosis idiopática de Scheuermann es la causa más común de dolor de espalda torácico y provoca la deformidad cifosis estructural más frecuente entre los adolescentes. Se manifiesta como una anormalidad en la formación de los cartílagos de crecimiento epifisiales (26). Es más común en los varones y el dolor se describe como profundo, localizado entre las escápulas, que no se irradia y se agrava al estar parado, sentado o al hacer ejercicios. El paciente acude a la evaluación médica por problemas de postura o por el dolor. El examen físico mostrará una cifosis torácica bien marcada e inflexible con un aumento de la lordosis lumbar y sin ningún hallazgo neurológico. Las radiografías mostrarán una cifosis mayor de 45°, tres vértebras adyacentes acuñadas, irregularidad de los bordes vertebrales, fracturas del anillo apofisario, estrechez del espacio entre las vértebras y protrusión de disco entre los cuerpos vertebrales (nódulos de Schmorl) (27). La mayoría de los pacientes se tratan conservadoramente y como terapia física para aliviar el dolor se puede recomendar una abrazadera tipo Milwaukee, siempre y cuando la cifosis sea menor de 70°, flexible, que le quede crecimiento al paciente y que la cifosis esté con un ápex más bajo de la vértebra T9 (28). El tratamiento quirúrgico, por el contrario, se plantea en cifosis >70°, progresiva y a su vez dolorosa. El abordaje puede ser por vía anterior y posterior o solo posterior (29). Se reconoce que la posibilidad de complicaciones por cirugía correctiva de la cifosis es mayor que en las cirugías correctivas para la escoliosis. La cifosis de Scheuermann lumbar se presenta con los mismos hallazgos radiográficos y se resuelve, generalmente, con tratamiento conservador.
Escoliosis idiopática
La escoliosis es desviación de la columna vertebral hacia los lados con rotación. Es más común en las niñas y su etiología está asociada con factores genéticos. Se trata de acuerdo al potencial de crecimiento y a los grados de curvatura (ángulo de Cobb) (30). Una curva torácica hacia la izquierda o la presencia de una alteración neurológica asociados a la curva son indicadores de patología orgánica (31). El dolor de espalda usando la abrazadera está asociado a que su curva está progresando y el tratamiento conservador no está siendo efectivo (32).
Espondilolisis y espondilolitesis:
La espondilolisis es un defecto (fractura de estrés) en la pars articularis, en la región lumbar. Es secundario a microtraumatismos repetitivos, en hiperextensión repetida en ciertas actividades deportivas, como gimnasia, clavado, bailarines o futbolistas (33). Es más común en niños que en niñas, con una relación de 6:1 (Figura 2).
La espondilolistesis es cuando el defecto de la pars articularis es bilateral y se produce un desplazamiento o subluxación de la vértebra superior sobre la inferior. Es más común en la L5 sobre el sacro. La posibilidad del desplazamiento viene determinada por el potencial de crecimiento, por la presencia de cifosis lumbo-sacra y del grado de desplazamiento de una vértebra sobre la otra, al momento de la evaluación inicial. Es más frecuente el desplazamiento en pacientes mujeres jóvenes, cuando el desplazamiento inicial de una vértebra sobre la otra es mayor del 50%, cuando el tope del sacro es en forma de domo o cuando la unión lumbo-sacra es displásica. Se clasifica dependiendo de la etiología (congénita, ístmica, traumática, patológica e iatrogénica) o por el porcentaje de desplazamiento de una vértebra sobre la otra (clasificación de Meyerding). El historial mostrará un dolor de leve a moderado que se irradia a las piernas, se agrava con actividades y se alivia con el descanso. El examen físico observa una disminución de la lordosis lumbar, espasmos de los músculos isquíaticos con un caminar rígido. El diagnóstico se puede ver en radiografías lumbares laterales, pero las vistas oblicuas serán de gran ayuda en los casos más difíciles. En casos no evidentes puede ser de ayuda la cintigrafía ósea que mostrará hipercaptación en el área afectada (Figura 3). Además, la cintigrafía ósea permite saber el estadio de saneamiento. Si es agudo, habrá captación, si es crónico no habrá tanta captación. Al ser agudo, se espera mayor probabilidad de curación con tratamiento conservador y si es crónico la posibilidad de recuperación será muy pobre (34). La TC ayuda a delimitar el área más afectada. El tratamiento dependerá en el grado de desplazamiento y los síntomas. El tratamiento conservador consiste en modificar las actividades, medicación analgésica, una abrazadera y terapia física. La cirugía se indica cuando la terapia conservadora no mejora los síntomas, si hay alteraciones neurológicas o cuando el desplazamiento de una vértebra sobre otra es mayor del 50% (35). Quirúrgicamente se puede hacer una artrodesis in situ, sin instrumentación con una probabilidad de resolver el problema en un 70 % de los casos o una artrodesis instrumentada, con reducción o sin reducción del desplazamiento. La instrumentación permite corregir el defecto, aumenta la probabilidad de la fusión y mejora la mecánica espinal (Figura 4).
Siringomielia
Es una cavitación en el cordón espinal y el paciente refiere dolor de espalda constante acompañado de dolor de cuello y cabeza, presenta deformidad del pie con un caminar anormal y asimetría de los reflejos abdominales. La radiografía puede mostrar una escoliosis torácica hacia la izquierda, pero la RM es el estudio de predilección.
Cordón anclado
Los niños con el cordón espinal anclado presentan un dolor agudo de espalda baja, escoliosis progresiva, espasticidad y contracturas de las articulaciones. A veces aparecen problemas de función de la vejiga o reflejos anormales. El estudio diagnóstico es una RM y el tratamiento será la liberación del cordón anclado.
Infección
Las causas infecciosas se deben considerar en la evaluación de un niño con dolor de espalda. La discitis aparecen en dos picos de edad, en niños menores de 5 años y en niños de 10 a 14 años (36). La presentación puede ser tan variada que puede incluir además de dolor de espalda, dolor abdominal, cojera o rechazo al caminar. El examen físico mostrará límite al movimiento de la espalda y dolor a la palpación localizada. Radiográficamente los hallazgos se observan atrasados con relación a los hallazgos físicos. De verse algún hallazgo, será la irregularidad de los bordes vertebrales, usualmente entre L2-L3 o L3-L4. El mejor estudio es la cintigrafía ósea para localizar la lesión y la RM para definir la extensión especialmente si hay un absceso epidural, que requiera drenaje quirúrgico inmediato (Figura 5). Los laboratorios mostrarán una elevación de la velocidad de sedimentación, mientras que el nivel de glóbulos blancos solo se elevará en un 10% - 40% de los casos. Por lo tanto, el nivel de los glóbulos blancos no es confiable (36).
El tratamiento debe ser descanso, abrazadera para inmovilizar la columna vertebral y antibióticos intravenosos. Empíricamente el antibiótico debe ser encaminado a cubrir se estafilococo aureus, que es el organismo más común. El tratamiento quirúrgico se reserva a los casos en que el paciente no mejore en varios días con el descanso y antibióticos o cuando se ha documentado la presencia de un absceso epidural (37).Osteomielitis vertebral
Establecer la diferencia entre una infección del disco o una infección vertebral es difícil. En principio, un historial de traumatismo se asocia con osteomielitis (36) y una infección vertebral bien puede ser el proceso natural de una discitis sin tratar. El organismo más común también es aquí el estafilococo aureus, aunque cada año se presentan más casos secundarios a tuberculosis. Radiográficamente se ve la destrucción de las vértebras, cifosis y abscesos de partes blandas. El tratamiento es antibiótico intravenoso por un periodo de 6 semanas y si no resuelve entonces hay que recurrir a la cirugía para drenar la infección.
Enfermedades reumatológicas
Espondilitis anquilosante
Se ve más en los varones y mayormente en la adolescencia. El examen físico mostrará una deficiencia en la flexibilidad de la columna, cifosis anormal y limitación de la movilidad torácica durante la inspiración profunda. Las radiografías presentan esclerosis o fusión de las articulaciones sacro-iliacas. Cuando el diagnóstico no es obvio por radiografía, la RM es más específica que la cintigrafía ósea para hacer el diagnóstico. Usualmente estos pacientes tendrán positivo el examen de sangre HLA-B27.
Osteoporosis idiopática juvenil
Es una condición rara en niños pre-adolescentes que presentan dolor óseo y espalda secundario a las fracturas por compresión de las vértebras. Los estudios radiográficos mostrarán fracturas por compresión y múltiples líneas de arresto en las placas de crecimiento. El manejo es médico (14).
Neoplasma
El neoplasma de la columna vertebral es raro, constituye el 1% de los casos y la mayoría son benignos. Entre los más comunes están el osteoma osteoide, osteoblastoma, quiste aneurismático óseo e histiocitoma o granuloma X. Los primarios de hueso malignos más comunes son el sarcoma de Ewing u osteosarcomas (38). Otro tipo de malignidades que se asocian con dolor de espalda son linfomas, neuroblastoma y leucemia. Los pacientes con tumores óseos van acompañados de debilidad, fiebre, pérdida de peso y dolor nocturno. Las imágenes revelan lesiones líticas o blásticas, osteopenia o fracturas patológicas. Serán de gran ayuda la TC para evaluar la extensión de la lesión, la cintigrafía ósea para determinar metástasis y la RM para ver la afectación de las partes blandas. El tratamiento será determinado por la gravedad histológica de la lesión.
Osteoma osteoide u osteoblastomas
Son los tumores benignos de hueso más comunes en la columna vertebral. Usualmente envuelven los elementos posteriores como la lámina o el pedículo y suelen estar asociados a una escoliosis. El paciente refiere dolor nocturno que se alivia con AAS (ácido acetil salicílico). El diagnóstico será a base de una cintigrafía ósea, pero se necesita una TC para definir la lesión. El tratamiento puede basarse en el AAS, pero en la mayoría de las veces se necesitan remover la lesión (39) (Figura 6) (Figura 7).
Quite óseo aneurismático
Surge de los elementos posteriores, rara vez envuelve los elementos anteriores. La radiografía muestra una lesión como una burbuja o explosión que emerge del hueso. El tratamiento puede ser embolización de la lesión o la remoción de la lesión con injerto de hueso (40).
Granuloma eosinofílico
Las lesiones pueden ser solitarias o múltiples y pueden estar asociadas a condiciones de pobre pronóstico, tales como Hand-Schuller-Christian o Letterer–Siwe. Los hallazgos radiográficos incluyen el colapso de la vértebra envuelta (vértebra plana) por las lesiones líticas. Por lo parecido a las lesiones maligna, se requiere una biopsia. En la mayoría de las veces hay resolución espontánea, pero a veces hay que tratarla con radioterapia o cirugía reconstructiva.
Malignidad
El sarcoma de Ewing y los osteosarcomas son los tumores óseos malignos más comunes de la columna vertebral (Figura 8) (Figura 9). La leucemia puede causar dolor de espalda además de fatiga, letargia, palidez, hematomas, sangrado, anemia y fiebre (17). Las radiografías mostrarán fracturas de compresión, osteopenia, y las líneas metafisarias leucémicas. La analítica muestra cambios característicos de la leucemia y ortopédicamente el problema de la espalda se tratará con abrazaderas para darle soporte a la columna vertebral.
Tumores de médula espinal
Los tumores de cordón más comunes son el astrocitoma y el ependimoma. Estos niños pueden tener problemas de incontinencia, anormalidad de la marcha y retraso del desarrollo motor. Además de escoliosis, dolor de espalda y debilidad (Figura 10), el examen físico reflejará alteraciones del movimiento de la columna vertebral y neurológicos. Radiológicamente faltarán los pedículos con aumento del agujero foraminal o escoliosis dolorosa. El diagnóstico se confirma con la RM (41).
Dolor psicosomático
También los niños presentan esta sintomatología sin patología asociada. Algunos dolores son el reflejo de alteraciones emocionales y conflictos personales. El diagnóstico psicosomático es un diagnóstico de exclusión y requiere el uso de un equipo multidisciplinario tales como psicólogos, terapistas y médicos para su manejo.
Referencias
- Newcomer k, Sinaki M. Low back pain and its relantionship to back strength and physical activity in children. Acta Paediatrica. 1996; 85;1433-99.
- Olsen TL, Anderson RL, Dearwater SR, Kriska AM, Cauley JA, Aaron DJ, et al. The epidemiology of low back pain in an adolescent population. Am J Public Health. 1992; 82; 606-8.
- Calvo-Muñoz I, Gómez-Conesa A, Sánchez-Meca J. Prevalence of low back pain in children and adolescents: a meta-analysis. BMC Pediatrics. 2013; 13:1-10.
- Noll M, Candotti CT, Rosa BN, Loss JF. Back pain prevalence and associated factors in children and adolescents: an epidemiological population study. Rev Saude Publica. 2016; 50.
- Wirth B, Humphreys BK. Pain characteristics of adolescent spinal pain. BMC Pediatrics. 2015; 15:42.
- Burton AK, Clarke RD, McClune TD, Tillotson KM. The natural history of low back pain in adolescents. Spine. 1996; 21:2323-8.
- Mohseni-Bandpei MA, Bagheri-Nesami M, Shayesteh-Azar M. Nonspecific Low Back Pain in 5000 Iranian School-age Children. J Pediatr Orthop. 2007; 27:126-9.
- King HA. Back pain in children. Orthop Clin North Am. 1999; 30:467- 74.
- Thompson GH. Back pain in children. J Bone Joint Surg (Am). 1993; 75-A;525-42.
- Richards BS, McCarthy RE, Akbarnia BA. Back pain in childhood and adolescence. En: Zuckerman JD (ed). Park Ridge, IL: Instructional Course Lectures, Vol 48. American Academy of Orthopaedic Surgeons (AAOS); 1999; 525-42.
- Bunnell WP. Back pain in children. Orthop Clin North Am. 1982; 13:587-604
- Combs JA, Caskey PM. Back pain in children and adolescents. A retrospective review of 648 patients. South J Med. 1997; 90:789-92.
- Ramirez N, Flynn JM, Hill BW, Serrano JA, Calvo CE, Bredy R, et al. Evaluation of a systematic approach to pediatric back pain. J Pediatr Orthop. 2013; 35:28-32.
- Herring J. Back pain. Herring J (ed). En: Tachdjian’s Pediatric Orthopaedics, vol 1, ed 3. Philadelphia PA: WB Sanders, 2002:95-108.
- Cho CY, Hwang IS, Chen CC. The association between psychological distress and musculoskeletal symptoms experienced by Chinese high school students. J Orthop Sport Phys Ther. 2003; 33;344-53.
- Kristjansdottir G, Rhee H. Risk factors of back pain frequency in schoolchildren: a search for explanation to a public health problem. Acta Paediatr. 2002; 91:849-54.
- Rogalsky RJ, Black GB, Reed MH. Orthopaedic manifestations of leukemia in children. J Bone Joint Surg (Am). 1986; 68-A:494-501.
- Micheli LJ, Wood R . Back pain in young athletes: significant differences from adults in causes and patterns. Arch Pediatr Adolesc Med. 1995; 149:15.
- Feldman D, Straight JJ, Badra MI, Mohaideen A, Madan SS. Evaluation of an algorithmic approach to pediatric back pain. J Pediatr Orthop. 2006; 26:353-7.
- Harvey J, Tanner S. Low back pain in young athletes: a practical approach. Sport Med. 1991; 12:394.
- Epstein JA, Epstein NE, Marc J, Rosenthal AD,Lavine LS. Lumbar intervertebral disc herniation in teenage children: recognition and management of associated anomalies. Spine. 1984; 9:427-32.
- DeLucas PF, Mason DE, Weiland R, Howard R, Bassett GS. Excision of herniated nucleus pulposus in children and adoslecents. J Pediatric Orthop. 1994; 14:318-22.
- Takata K, Inoue S, Takahashi K, Ohtsuka Y. Fracture of the posterior margin of a lumbar vertebral body. J Bone Joint Surg (Am) 1988; 70-A:589-94.
- Ginsburg GM, Bassett GS. Back pain in children and adolescents: evaluation and differential diagnosis. J Am Acad Orthop Surg. 1997; 5:67-78.
- Skaggs DL, Early S, D’ Ambra P, Tolo V, Kay R. Back pain and back packs in children J Pediatr Ortop. 2006; 26:358-63.
- Rodriguez D, Poussaint T. Imaging of Back Pain in Children. Am J Neuroradiol. 2009; 31:787-802.
- Sorensen KH (ed). Scheuermann‘s Juvenile Kiphosis: Clinical appearances radiography, aetiology, and prognosis. Copenhagen Munsksgaard, 1964.
- Sach B, Bradford d, Winter R, Lonstein J, Moe J, Willison S. Sheuermann kiphosis: follow-up of Milwaukee brace treatment. J Bone Joint Surg (Am) 1987; 69-A:50-7.
- Sturm Pf, Dobson JC, Armstrong GW. The surgical management of Scheuermanns‘s diseases. Spine. 1993; 18:685-91.
- Fernandez-Feliberti R, Flynn J, Ramírez N, Trautmant M Alegria M. Effectiveness of TLSO bracing in the conservative treatment of idiopathic scoliosis. J Pediatr Orthop. 1995; 15:176-81.
- Ramirez N, Johnston C, Browne RH. The prevalence of back pain in children who have idiopathic scoliosis. J Bone Joint Surg (Am). 1997; 79-A:364-8.
- Ramirez N, Johnston C, Browne R, Vazquez S. Back pain during orthotic treatment of idiopathic scoliosis. J Pediatr Orthop. 1999; 19:198-201.
- Morita T, Ikata T, Katoh S, Miyake R. Lumbar spondilolyis in children and adolescent. J Bone Joint Surg (Br). 1995; 77-B:620-5.
- Jackson DW, Wiltse LL, Dingeman RD, Hayes M. Stress reaction involving the pars interarticularis in young athletes. Am J Sport Med. 1981; 9:304-12.
- Newton PO, Johnston CE. Analysis and treatment of poor outcome following in situs arthrodesis in adolescent spondylolisthesis. J Pediatr Orthop. 1997; 17:754-61.
- Ring D, Johnston CE, Wenger DR. Pyogenic infectious spondylitis in children: the convergence of discitis and vertebral osteomilelitis. J Pediatr Orthop. 1995: 15: 652-60.
- Ring D, Wenger DR. Magnetic resonance imaging scan in discitis: sequential studies in a child who need operative drainage. J Bone Joint Surg (Am). 1994; 76-A:596-601.
- Beer SJ, Menezes AH. Primary tumors of the spine in children: Natural history, management and long term follow-up. Spine. 1997; 22:649-58.
- Delamarter RB, Sach Bl, Thompson GH, Bohlman HH,Makley JT,Carter JR. Primary neoplasm of the thoracic and lumbar spine: analysis of 29 consecutive cases. Clin Orthop Rel Res. 1990; 256:87-100.
- Hay MC, Paterson D, Taylor TK. Aneurysmal bone cyst of the spine. J Bone Joint Surg (Br). 1978 ; 60-B:406-11.
- Parker AP, Robinson RO, Bullock P. Difficulties in diagnosis in intrinsic spinal cord tumors . Arch Dis Child. 1996; 75:204-7.
Dr. Norman Ramírez MD?
Box 6847 Mayagüez
Puerto Rico 00681
Tel 1-787-374-7337 normanpipe@aol.com









