SLAOT

Fracturas atípicas en pacientes pediátricos con osteogénesis imperfecta durante el periodo de tratamiento con bifosfonatos

Atypical fractures in pediatric patients with osteogenesis imperfecta during the period of bisphosphonate therapy

Fraturas atípicas em pacientes pediátricos com osteogénese imperfeita durante o período de tratamento com bisfosfonatos

 

José Chonay

Ramiro Cuevas

Martín Flores

Eduardo Modiano

Renan Villca

 

Departamento de Ortopedia Pediátrtica, Instituto Nacional de Rehabilitación, Ciudad de México, México

 

Correspondencia

Departamento de Ortopedia Pediátrtica, Instituto Nacional de Rehabilitación, Ciudad de México, México

2da calle B1-10 Lomas del Sur San José Villa Nueva, CP 01064,

Tel: 502+56332349,

Tel: 502+66692228

e-mail: traumatologiajose@gmail.com

 

 


 

Resumen:

Introducción: Los bifosfonatos son el tratamiento indicado para los niños con osteogénesis imperfecta, pero no están exentos de efectos adversos a largo plazo tras su supresión. Nuestro estudio pretende identificar las fracturas atípicas en pacientes pediátricos con osteogénesis imperfecta y su correlación con el uso prolongado de bifosfonatos.

Material y metdología: Estudio observacional descriptivo longitudinal y retrospectivo con una muestra no probabilística y por conveniencia, extraída de historias clínicas y de raddiografías. Se hizo un estudio estadístico descriptivo.

Resultados: De los 28 expedientes clínicos se excluyeron 16. Seguimos a doce pacientes, mitad de cada sexo, tratados todos ellos con bifosfonatos. Observamos fracturas atípicas en el 41,7%, el 60% del sexo masculino, clasificadas tipo IIIl, 80%, y el resto de tipo IV. Habían tomado bifosfonatos durante un tiempo medio de 8 años (rango 5-9 años). Las fracturas atípicas se localizaron en el fémur, 58%, tibia, 17%, cúbito, 17%, y peroné, 8%. Encontramos una correlación positiva entre el tiempo de toma de bifosfonatos y la aparición de fracturas atípicas (p≤0,01).

Conclusiones. El tratamiento prolongado con bifosfonatos se correlaciona con la presencia de fracturas atípicas.

 

 Palabras clave: pediatria, osteogénesis imperfecta, hueso, bifosfonatos, fracturas

 

 


 

Abstract:

Introduction: Bisphosphonates are the indicated treatment for children with osteogenesis imperfecta, but they are not exempt from long-term adverse effects after their withdrawal. Our study aims to identify atypical fractures in pediatric patients with osteogenesis imperfecta and their correlation with the prolonged use of bisphosphonates.

Material and methodology: Descriptive, longitudinal and retrospective observational study with a non-probabilistic and convenience sample, drawn from clinical histories and radiographs. A descriptive statistical study was made.

Results: Of the 28 cases, 16 were excluded. We followed twelve patients, half of each sex, all of whom were treated with bisphosphonates. We observed atypical fractures in 41.7%, 60% male, classified type IIIl, 80%, and the rest type IV. They had taken bisphosphonates for a median time of 8 years (range 5-9 years). Atypical fractures were located in the femur, 58%, tibia, 17%, ulna, 17%, and fibula, 8%. We found a positive correlation between the time taken for bisphosphonates and the appearance of atypical fractures (p≤0.01).

Conclusions. Prolonged treatment with bisphosphonates is correlated with the presence of atypical fractures.

 

 Keywords: pediatrics, osteogenesis imperfecta, bone, bisphosphonates, fractures


 

Resumo:

Objetivo: Os bisfosfonatos constituem o tratamento indicado para crianças com osteogênese imperfeita, embora não estejam isentos de efeitos adversos a longo prazo após o fim da terapêutica. Este estudo pretende identificar fraturas atípicas em pacientes pediátricos com osteogénese imperfeita e sua correlação com o uso prolongado de bisfosfonatos.

Material e métodos: Estudo observacional descritivo, longitudinal e retrospectivo, com amostra não probabilística e de conveniência, extraída de anamnese e radiografias. Foi feito um estudo estatístico descritivo.

Resultados: Dos 28 processos clínicos avaliados, foram excluídos 16. Acompanhamos doze pacientes, metade de cada sexo, todos tratados com bisfosfonatos. Observamos fraturas atípicas em 41,7%, 60% do sexo masculino, classificadas tipo III, 80%, e o restante tipo IV. O tempo médio de utilização dos bisfosfonatos foi de 8 anos (intervalo de 5 a 9 anos). As fraturas atípicas localizaram-se no fémur, 58%, tíbia, 17%, ulna, 17% e fíbula, 8%. Encontrámos uma correlação positiva entre o tempo de utilização dos bisfosfonatos e o aparecimento de fraturas atípicas (p0,01).

Conclusões. O tratamento prolongado com bisfosfonatos está correlacionado com a presença de fraturas atípicas.

 Palavras-chave: pediatria, osteogénese imperfeita, osso, bisfosfonatos, fraturas


 

Introducción

Los bifosfonatos son considerados el tratamiento médico de referencia para niños con osteogénesis imperfecta (OI). Los bifosfonatos incrementan la densidad mineral ósea (DMO) [1], pero también se conocen sus efectos adversos a largo plazo como son la supresión de la remodelación ósea y y al incremento de la fragilidad ósea, lo cual lleva a fracturas definidas como atípicas [2], pues su efecto permenece en el esqueleto varios años tras su supresión [3]. Aunque un estudio [4] analizó el fémur en pacientes con OI, sin tratamiento quirúrgico previo, observando que las fracturas atípicas parecen estar relacionadas con la gravedad de la enfermedad más que con el tratamiento con bifosfonatos. Otro estudio [1] estudió niños con OI tratados previamente con clavos intramedulares preventivos y vieron fracturas atípicas similares a las del adulto que relacionaron con el daño producido por la supresión osteoclástica y a la apoptosis de los osteocitos. Los clavos intramedulares no evitaron las fracturas con traumatismos de baja energía o sin un traumatismo evidente [1].

El propósito de nuestro estudio es evaluar pacientes pediátricos con osteogénesis imperfecta tratados con bifosfonatos que hayan sufrido fracturas atípicas.

 

Material y metodología

Estudio observacional descriptivo longitudinal y retrospectivo en pacientes pediátricos con osteogénesis imperfecta tratados con bifosfonatos en el Instituto Nacional de Rehabilitación entre octubre del 2013 y marzo del 2020. La muestra fue no probabilística y por conveniencia, compuesta por 28 pacientes, pero se incluyeron 12 pacientes tratados en la división de Ortopedia Pediátrica. Se excluyeron pacientes tratados en otra división y se eliminaron pacientes con historias clínicas e imágenes radiográficas incompletas o ausentes. Los doce pacientes, la mitad de cada sexo, con un promedio de edad de 14 (DE: 4; rango: 10 - 22) años.

El tipo más frecuente de OI fue la tipo III (58,3%), seguida de la tipo IV (33,3%) y por último la tipo I (8,33%). Todos los pacientes fueron tratados con bifosfonatos; el 16,6% recibieron dos tipos de bifosfonatos (pamidronato / ácido zolendrónico) y el 83,4% uno solo (Ácido zolendrónico), durante un promedio de tiempo de 6 (DE: 2; rango: 3-9) años.

Realizamos un estudio estadístico descriptivo y analizamos la relación de la gravedad de la OI y el tiempo de tratamento com bifosfonatos com la aparición de fracturas atípicas.

 

Resultados

El 58,3% de los pacientes (7 de 12) no presentaron fracturas atípicas, sin encontrar predilección de sexo. No vimos fracturas atípicas en el 14,3% de la OI tipo I, em el 42,9% del tipo III y en 42,9% del tipo IV. En estos pacientes sin fracturas atípicas la edad media del início del tratamento con bifosfonatos fue a los 7 (DE: 3; rango 4 – 13) años; con un tiempo de uso de bifosfonatos de 5 (DE: 1; rango 3-7) años.

En 5 de los doce pacientes observamos fracturas atípicas, sin predominio ni de edad ni sexo. Se presentaron en 4 (80%) con OI tipo III y otro paciente com OI tipo IV. Todos recibieron bifosfonatos, con un promedio de edad de inicio de bifosfonato de 5 (DE: 3; rango: 2-10) años por un tiempo medio de 8 (DE: 1; rango 5-9) años.

La localización de las fracturas atípicas fueron en el fémur em 7 ocasiones (58%), 2 en la tibia (17%), 2 en el cúbito (17%) y un en el peroné (8%).

El tiempo de uso de bifosfonatos fue estadísticamente significativas (p≤0.01) con el desarrollo de fractura atípica. El resto de variables no fueron estadísticamente significativas.

 

Discusión

Las publicaciones no comparan los hallazgos con aquellos pacientes que no fueron tratados con bifosfonatos, haciendo difícil establecer si las fracturas están relacionados con el tratamiento o son debidas a la propiá enfermedad [4]. En nuestro estudio pueden haber este sesgo ya que todos los pacientes fueron tratados con bifosfonatos y no hemos podido hacer un estudio comparativo.

Trejo y Fassier [4] encontraron que en niños con OI de moderada a grave, diez de las veinte fracturas de fémur (50%) parecían atípicas, comparado com una de las dieciseis fracturas (6%) en niños con OI tipo I. Cabe pensar, aunque sin evidencia científica, que las propiedades y la microestructura ósea están más distorsionadas en las formas más graves de OI. En nuestro estudio vimos que de los cinco pacientes con fracturas atípicas, el 80% eran una OI tipo III y otro de tipo IV. Por su parte, los pacientes que no padecieron fracturas tras la administración de bifosfonatos la mayoría eran tipos graves de OI, 43% fueron tipo III, 43% tipo IV y solo el 14% de tipo 1. No encontrando una correlación significativa.

Nicolaou et al., [5] publicaron una serie heterogénea de fracturas de alta y baja energía del fémur en niños con OI tratados con bifosfonatos, y observaron que se producían más fracturas en el tercio proximal del fémur en niños tratados con bifosfonatos. Hegazy et al., [1]  encontraron fracturas inusuales por fatiga con características similares a las atípicas localizadas en el área subtrocantérica, eran  fracturas transversas o incompletas sin traumatismo prévio, tratadas con clavos endomedulares preventivos y no estaban localizadas en la zona de mayor tensión causada por la osteosíntesis. Cho et al., [6] no vieron fracturas  atípicas en el área de incremento de tensión creada por el cambio abrupto de la densidad óssea y las asociaron con el tratamiento de pamidronato durante, al menos, 5 años. Estos hallazgos también fueron encontrados en las siete fracturas atípicas en fémur de nuestro estudio, las cuales se produjeron entre el trocánter menor y la diáfisis del fémur, sin asociarse a zonas de mayor tensión, siendo el fémur la localización más frecuente.

Además de las fracturas en el fémur, se han recogido casos de fracturas atípicas en la tíbia [7][8], nosotros describimos dos en el presente trabajo. También se han visto fracturas atípicas en las extremidades superiores [9] y Cha et al., [10] mostraron 20 fracturas atípicas en el antebrazo en pacientes con uso prolongado de bifosfonatos. Nosotros describimos dos casos de fracturas atípicas en el cúbito con traumatismo mínimo.

Parece evidente un incremento en el riesgo de padecer fracturas atípicas en pacientes con uso prologado con bifosfonatos. Algunos estudios demostraron un riesgo elevado si el uso de bifosfonatos era de 5 o más años, sugiriendo una relación dosis-respuesta [11][12]. Aunque parece más relacionado con la dosis acumulada en el tiempo [13]; incluso que las fracturas atípicas son más frecuentes en pacientes que toman bifosfonatos durante más de 3 años [14]. Aunque el riesgo relativo de que produzcan fracturas de fémur atípicas es mayor en pacientes que toman bifosfonatos, de 2,1 a 128 casos por 100.000 personas / año, el riesgo absoluto es bajo, 3,2 a 50 casos por 100.000 personas / año. Sin embargo, el uso a largo plazo puede estar asociado con un riesgo más alto de desarrollar fracturas de fémur atípicas, >100 casos por 100.000 personas / año [15]. Lo cual se ha reflejado en nuestro estudio donde la correlación más significativa fue el tiempo de uso de biosfosfonatos con la presencia de fracturas atípicas tomaron la medicación entre 5-9 años, mientras los que no presentaron fracturas atípicas su administración fue entre 3-7 años.

La administración de bifosfonatos y el tipo de OI no guarda correlación con la producción de fracturas atípicas. La diferencia entre los pacientes que tomaron bifosfonatos y padecieron fracturas atípicas, y los que con bifosfonatos no padecieron fracturas atípicas fue el tiempo de duración del tratamiento. El tratamiento prolongado de bifosfonatos está correlacionado fuertemente con la presencia de fracturas atípicas.

 

Bibliografía

1. Hegazy A, Kenawey M. Unusual femur stress fractures in children with osteogenesis imperfecta and intramedullary rods on long term intravenous pamidronate therapy. J Pediatr Orthop. 2016; 36:757-861.

2. Li J, Mashiba T, Burr DB. Bisphosphonate treatment suppresses not only stochastic remodeling but also the targeted repair of microdamage. Calcif Tissue Int. 2001; 69: 281-6.

3. Papapoulos SE, Cremers SC. Prolonged bisphosphonate release after treatment in children. N. Engl J Med. 2007; 356:1075-6.

4. Trejo P, Fassier F. Diaphyseal femur fractures in osteogenesis imperfecta: characteristics and relationship with bisphosphonate treatment. J Bone Miner Res. 2017; 32:1034-9.

5. Nicolaou N, Agrawal Y, Padman M, Fernandes JA, Bell MJ. Changing pattern of femoral fractures in osteogenesis imperfecta with prolonged use of bisphosphonates. J Child Orthop. 2012; 6:21-7.

6. Cho T-J, Kim J-B, Lee JW, Park MS, Woo WJ, Chung CY, et al. Fracture in long bones stabilised by telescopic intramedullary rods in patients with osteogenesis imperfecta. J Bone Joint Surg (Br). 2011; 93-B:634–8.

7. Breglia MD, Carter JD. Atypical insufficiency fracture of the tibia associated with long-term bisphosphonate therapy. J Clin Rheumatol. 2010; 16:76-8.

8. Imbuldeniya AM, Jiwa N, Murphy JP. Bilateral atypical insufficiency fractures of the proximal tibia and a unilateral distal femoral fracture associated with long-term intravenous bisphosphonate therapy: a case report. J Med Case Rep. 2012; 6:50.

9. Oh BH, Heo YM, Yi JW, Kim TG, Lee JS. Atypical Fracture of the Proximal Shaft of the Ulna Associated with Prolonged Bisphosphonate Therapy. Clin Orthop Surg. 2018; 10:389-92.

10. Cha SM, Shin HD. Risk factors for atypical forearm fractures associated with bisphosphonate usage. Injury. 2020: S0020-1383(20)30907-4

11. Neviaser AS, Lane JM, Lenart BA, Edobor-Osula F, Lorich DG. Low-energy femoral shaft fractures associated with alendronate use. J Orthop Trauma. 2008; 22:346-50.

12. Lenart BA, Neviaser AS, Lyman S, Chang CC, Edobor-Osula F, Steele B, van de Meulen MC, Lorich DG, Lane JM. Association of low-energy femoral fractures with prolonged bisphosphonate use: a case control study. Osteoporos Int. 2009; 20:1353-62.

13. Weaver MJ, Miller MA, Vrahas MS. The orthopaedic implications of diphosphonate therapy. J Am Acad Orthop Surg. 2010; 18:367-74.

14. Shane E, Burr D, Abrahamsen B, Adler RA, Brown TD, Cheung AM, et al. Atypical subtrochanteric and diaphyseal femoral fractures: second report of atask force of the American Society for Bone and Mineral Research. J Bone Miner Res. 2014; 29:1-23.

15. Cuevas-Olivo R, Alejo-Fuentes LJ, Alejo-Fuentes LF, Campos-Angulo G. El tratamiento con bifosfonatos mejora la calidad de vida en pacientes con diagnóstico de osteogénesis imperfecta. Acta Ortop Mex. 2019; 33:63-6.

 

 


 

Figuras

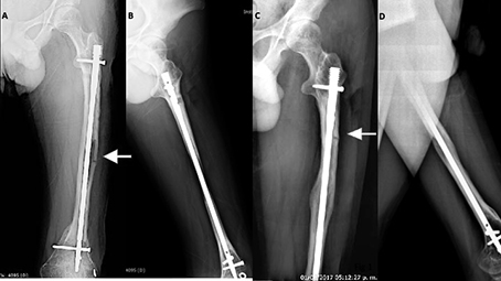
Figura 1. (A, B) Fractura diafisiaria fémur izquierdo, paciente masculino de 16 años, con OI tipo IV, después de 7 años de tratamiento con bifosfonatos. (C, D) Mismo paciente 2 años después con fractura diafisiaria proximal fémur izquierdo.

Figura 1

Figura 2. (A, B) Fractura diafisiaria en fémur izquierdo en niña de 8 años, con OI tipo III, después de 6 años de tratamiento con bifosfonatos. (C, D) Misma paciente con fractura diafisiaria en tercio medio y tercio proximal 3 años después.

Figura 2

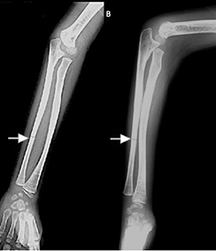
Figura 3 (A, B) Fractura transversa del tercio medio de la diáfisis del cúbito derecho en niño de 6 años de edad, con OI tipo III, tras 4 años de tratamiento con bifosfonatos.

Figura 3

 

 




Copyright © 2023. Federación de Sociedades y Asociaciones Latinoamericanas de Ortopedia y Traumatología