Resumen
Objetivo
La ruptura del tendón patelar es una lesión producto de una contracción excéntrica y forzada de la rodilla cuando supera la fuerza tensil máxima del mecanismo extensor. El objetivo de este estudio es describir dos casos de reconstrucción aguda de tendón patelar con autoinjerto de tendón cuadricipital.
Material y metodología
Se realiza la descripción de dos pacientes con ruptura aguda del tendón patelar con pérdida de sustrato tendinoso, uno de ellos con exposición del mecanismo extensor y déficit de cubrimiento, ambos fueron manejados con aumentación con autoinjerto del tendón cuadricipital ipsilateral.
Resultados
Ambos pacientes recuperaron la fuerza del mecanismo extensor cercano al normal, con una adecuada estabilidad del tendón patelar y una restauración satisfactoria de su función posterior a la intervención, con 2 y 10 años de evolución.
Conclusión
El autonjerto de tendón cuadricipital ipsilateral puede ser un elemento anatómico útil en la reparación de las roturas del aparato extensor.
Nivel de evidencia clínica: Serie de casos. Nivel IV.
Abstract
Objective
The rupture of the patellar tendon is an injury resulting from an eccentric and forced contraction of the knee, which surpasses the maximum tensile force of the extensor mechanism.
The objective of this study is to describe two cases of acute reconstruction of the patellar tendon using a quadricipital tendon auto graft.
Material and methodology
We describe two patients with acute rupture of the patellar tendon with loss of tendon substrate, one of them with exposure of the extensor mechanism and covering deficit, both were managed with augmentation with ipsilateral quadricipital tendon autograft.
Results
Both patients recovered the strength of the extensor mechanism close to normal, with adequate stability of the patellar tendon and a satisfactory restoration of their post-intervention function with 2 and 10 years of evolution.
Discussion
The present case report shows a different option for acute repair of the patellar tendon with tendon defect; with a favorable clinical and functional outcome.
Level of clinical evidence: Case series. Level IV.
Palabras clave: Tendón patelar, Tendón Cuadricipital, Mecanismo Extensor, Ruptura Aguda, Reparación.
Keywords: Patellar tendon, Quadricipital Tendon, Extensor Mechanism, Acute Rupture, Repair.
Introducción
La ruptura del tendón patelar es una lesión que se produce por una contracción excéntrica y forzada de la rodilla, la cual supera la fuerza tensil del mecanismo extensor. Cada vez es más frecuente la presencia de avulsiones, exposición tendinosa y perdida de tejido en lesiones agudas secundarias a trauma de alta energía. Clínicamente la ruptura se caracteriza por depresión en la trayectoria del tendón y pérdida de la extensión activa de la extremidad. Se han descrito causas atraumáticas, en pacientes con enfermedades sistémicas como la insuficiencia renal crónica (IRC), artritis reumatoide (AR), diabetes mellitus; tendinopatias crónicas asociadas al uso de esteroides y fluoroquinolonas (1)(2). Su incidencia es menor a la rotura del tendón cuadricipital (3) y su presentación es mayor en menores de 40 años con una relación por sexo de 8:1 hombres (3)(2).
La reparación temprana es el tratamiento estándar de la lesión aguda, acompañada o no, de aumentación con cerclaje de alambre o suturas de alta resistencia y auto- o aloinjerto de isquiotibiales, según la necesidad y preferencia del cirujano (4)(5). A diferencia de las lesiones crónicas no es común la retracción o defecto tendinoso. El objetivo de nuestro trabajo es presentar los resultados del tratamiento de dos roturas del tendón rotuliano con autoinjerto ipsilateral de tendón cuadricipital.
Material y métodos
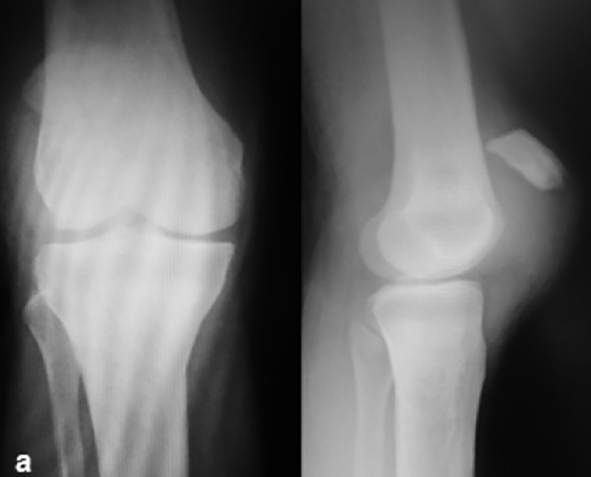
El primer caso clínico corresponde a una mujer, de 31 años de edad, con antecedente de IRC estadio V, hipertensión arterial, con traumatismo en hiperflexión de ambas rodillas que produjo una avulsión de la inserción distal del tendón patelar derecho y tendón cuadricipital izquierdo, la cual fue tratada quirúrgicamente con reparación aguda de tendón cuadricipital izquierdo por medio de túneles transóseos a la patela y reconstrucción del tendón patelar derecho con autoinjerto de tendón cuadricipital (TC) ipsilateral, como recurso inmediato en vista del mal estado, cambios degenerativos y pérdida de tejido viable observado durante la cirugía. Se protegió la reparación con cerclaje de alambre que fue retirado a los 8 meses (Figura 1).
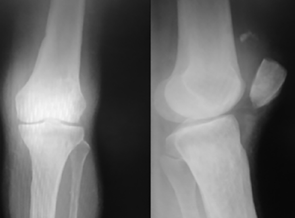
El segundo caso corresponde a un paciente varón de 33 años, con secuelas de polio en miembro inferior izquierdo que, previamente, deambulaba sin soportes y presentó una ruptura del tendón patelar abierta con avulsión, pérdida tendinosa y déficit de recubrimiento en la tuberosidad tibial anterior. Como trauma asociado presentó una luxación cerrada de la cadera ipsilateral secundaria a un accidente de tránsito como motociclista (Figura 2). A este paciente se le realizó una reducción cerrada de la cadera en el servicio de urgencias y, posteriormente, se reconstruyó el tendón patelar con injerto TC. En este caso, adicionalmente al cerclaje de alambre, se realizó aumentación con tendón del músculo semitendinoso preservando su inserción distal. Dado el déficit de recubrimiento se decidió rotar un colgajo del músculo gastrocnemio medial que se injertó con piel del mismo paciente.
Ambos pacientes fueron operados por el mismo cirujano, empleando los mismos principios, técnica quirúrgica y esquema de rehabilitación post operatoria.
Técnica Quirúrgica
Por medio de un abordaje anterior de rodilla, se expuso de forma completa el mecanismo extensor, con los hallazgos descritos. Dada la pérdida importante de tejido tendinoso, se decidió emplear el tendón del músculo cuadricipital aprovechando la osteointegración directa y la fijación estable que proporciona el taco óseo de este injerto. Se resecaron 5 cm del m. recto anterior dejando indemne el recto intermedio con un taco óseo del polo superior de la patela, 2x1 cm, con sierra oscilante. La parte tendinosa se solidarizó al tendón remanente con sutura 1/0 (Ethibond®), efectuando puntos de Krakow. Aprovechando la longitud del injerto se pasaron hilos de sutura a través de la patela, utilizando la guía con ojal empleada en cirugía de cruzado anterior, efectuando tres túneles y dejando 6 cabos de sutura para afrontarlas posteriormente en el polo superior de la patela (Figura 2). La porción ósea del injerto se fijó en un lecho de las mismas dimensiones en la tuberosidad anterior de la tibia (labrada previamente con uso de sierra oscilante) y un tornillo cortical con arandela con técnica de compresión interfragmentaria (Figura 2), logrando llenar adecuadamente el defecto tendinoso. En ambos casos se efectuó un cerclaje circular con alambre y en el segundo caso, dada la pérdida masiva, se reforzó adicionalmente con cerclaje circular de tendón del m. semitendinoso (Figura 2). En ambos casos se permitió la movilidad y el apoyo temprano con protocolo profiláctico de anticoagulación.
En el postoperatorio inmediato se indicó apoyo protegido para la marcha por 6 semanas y manejo conjunto con terapia física para recuperar rápidamente los rangos de movilidad y activación del m. cuádriceps.
Resultados
En la última evaluación clínica del primer caso a los 2 años del procedimiento quirúrgico se encontraron rangos de movilidad completos, fuerza 4/5 en la extremidad derecha y 5/5 en la extremidad izquierda, moderada atrofia muscular y total integración de injerto TC al mecanismo extensor de rodilla derecha (Figura 3). El segundo paciente a los 3 meses de la cirugía presentaba un rango de movilidad completo, fuerza 4/5, de la extremidad derecha y marcha sin soporte. Este caso lleva 10 años de evolución sin detrimento de su función o complicaciones.
Discusión
Las rupturas del tendón patelar son poco frecuentes y requieren una reparación quirúrgica inmediata para conseguir un retorno óptimo a la función previa, antes de la lesión. Se define como reparación aguda del tendón patelar la reparación efectuada antes de 2 semanas o con un tejido remanente viable (6). Existen muchas técnicas descritas de reparación quirúrgica de las lesiones agudas y crónicas del tendón patelar; sin embargo, ninguna está ampliamente aceptada. Los objetivos del tratamiento incluyen la restauración del mecanismo extensor, reestablecer la congruencia de la anatomía patelofemoral y restaurar el rango de movilidad y extensión activa de la extremidad.
El tendón TC se ha empleado con frecuencia en la cirugía de revisión del ligamento cruzado anterior y, también, de forma invertida en roturas inveteradas del tendón patelar, fijando el taco óseo a la patela (7); se ha utilizado un autoinjerto hueso – tendón - hueso contralateral en la rotura crónica del tendón patelar (8) aunque cuenta con detractores, debido a que se infringe una rodilla sana (9). Sin embargo, no se pudo encontrar ninguna publicación que empleara la aumentación con TC en la ruptura aguda del tendón patelar; esto, en parte, porque es rara la pérdida de tejido tendinoso. La écnica de reconstrucción propuesta tiene la ventaja de reemplazar tendón por tendón de iguales características, permitiendo en algunos casos omitir el uso de los isquiotibiales. Como posible inconveniente estaría el compromiso del mecanismo extensor con la toma del injerto TC. Sin embargo, teniendo las precauciones necesarias y con una técnica cuidadosa los resultados son satisfactorios sin morbilidad adicional. Por lo cual, el autoinjerto TC es una alternativa reproducible de aumentación en las rupturas agudas del tendón patelar asociado a tejido de mala calidad o con perdida intrasustancial significativa, en el que no es posible una reparación convencional y cuando no se dispone de aloinjertos u otro recursos tecnológico sintético disponible actualmente en el mercado.
Conflicto de intereses
Los autores no declaran ningún conflicto de interés.
Bibliografía
- Meyer Z, Ricci WM. Knee extensor mechanism repairs: standard suture repair and novel augmentation technique. J Orthop Trauma. 2016; 30:30-1.
- Lee D, Stinner D, Mir H. Quadriceps and patellar tendon ruptures. J Knee Surg. 2013; 26:301-8.
- Clayton RA, Court-Brown CM. The epidemiology of musculoskeletal tendinous and ligamentous injuries. Injury. 2008; 39:1338-44.
- Kim JR, Park H, Roh SG, Shin SJ. Concurrent bilateral patellar tendon rupture in a preadolescent athlete: a case report and review of the literature. J Pediatr Orthop-B. 2010; 19:511-4.
- Van der Bracht H, Verdonk R, Stuyts B. Augmentation of a patellar tendon repair with an autologous graft. Acta Orthop Belg. 2009; 75:417–9.
- Gilmore JH, Zoë J. Reconstruction techniques and clinical results of patellar tendon ruptures: Evidence today. Knee. 2015; 22:148-55.
- Ellera Gomes JL, de Oliveira Alves JA. Reconstruction of neglected patellar tendon ruptures using the quadriceps graft. Orthopedics. 2014; 37:527-9.
- Temponi EF, Camelo N, Tuteja S,Thaunat M,Daggett M, Fayard JM, et al. Reconstruction of chronic patellar tendon rupture with contralateral bone-tendon-bone autograft. Knee Surg Sports Traumatol Arthroscop. 2017; 25:2468-73.
- Takazawa Y, Ikeda H, Ishijima M, Kubota M, Saita Y, Kaneko H. Reconstruction of a ruptured patellar tendon using ipsilateral semitendinosus and gracilis tendons with preserved distal insertions: two case reports. BMC Res. 2013; 6:1-5.








