Resumen
Este reporte describe un raro caso de luxación palmar del hueso grande, acompañada de fracturas sin desplazamiento de otros huesos de la mano, en un paciente joven politraumatizado. Nuestra presentación, además de mostrar nuestra conducta terapéutica, busca analizar algunos aspectos clínicos y la evolución de nuestro paciente a los 6 años de seguimiento.
Abstract
This report describes a rare case of palmar luxation of the capitate bone, accompanied by fractures without displacement of other bones of the hand, in a polytrauma young patient. Our presentation, in addition to showing our therapeutic behavior, seeks to analyze some clinical aspects and the evolution of our patient with a follow-up of 6 years.
Palabras clave: mano, hueso grande, traumatismo
Keywords: hand, capitate bone, injury
Introducción
Es reconocido y justificado el interés científico que se pone hoy en día en el estudio de las lesiones carpianas. Sin embargo, están más y mejor documentadas las lesiones que afectan a los huesos escafoides y semilunar. Entre las lesiones del hueso grande, la lesión de Fenton (1) es la más conocida. La luxación del hueso grande es una lesión rara (2-4), de la cual existen menos de cinco trabajos publicados y de la que no se ha establecidoel tratamiento más adecuado y la evolución clínica de los pacientes que las presentan.
Reporte del Caso Clínico
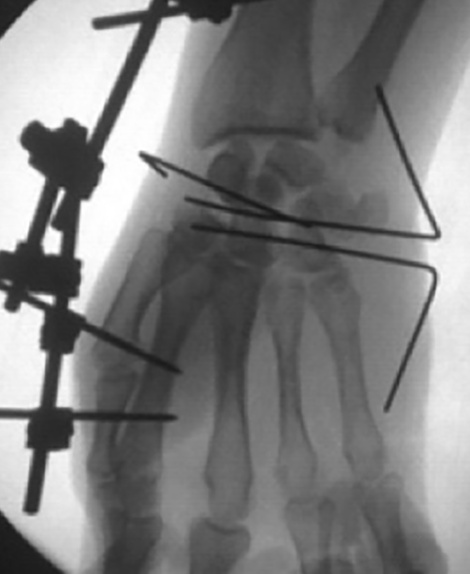
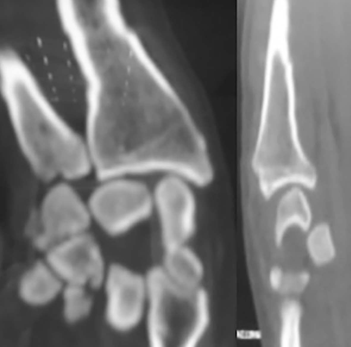
Paciente de sexo masculino, de 26 años, diestro, sin antecedentes personales a destacar, que fue embestido por automóvil mientras manejaba su moto. El paciente presentó una lesión encefálica focal que requirió tratamiento médico. Estuvo en coma 20 días, aparentemente sin otras lesiones. Luego, ya con vida de relación retomada, el paciente relató dolor e impotencia funcional de su mano derecha. Tumefacción y dolor a la movilización (pasiva-activa) y a la prehensión en el examen físico. Las radiografías y el TC mostraron una luxación volar de hueso grande de mano derecha (Figura 1) asociada a fracturas de la base del tercer metacarpiano y de hueso piramidal, ambas sin desplazamiento (Figura 2). A las 8 horas de establecer el diagnóstico se realizó una reducción abierta por vía palmar con fijación interna, con alambres de Kirchner de 1,5 mm, (Figura 3). Se agregó un mini fijador externo para proteger la estabilidad de la osteosíntesis del carpo y manejar las partes blandas lesionadas. No se realizó reconstrucción ligamentaria.
Figura 2: Cortes de TC coronal y sagital que evidencian luxación palmar de hueso grande asociada a fractura del piramidal y base del segundo y tercer metacarpiano.
Se extrajeron los alambres y el fijador externo a las 6 semanas. El paciente empezó con ejercicios activos y pasivos de recuperación del rango de movimiento de mano y puño. A los 12 meses el paciente no mostraba dolor, a pesar de que ya se visualizaban cambios radiográficos con osteocondensación del hueso grande, pero sin colapso carpiano (Figura 4).
A los 6 años de la evolución, el paciente era un trabajador manual sin presenta dolor, salvo con jornadas laborales muy demandantes que practicaba boxeo aficionado sin dolor. Su puño derecho mostraba buena función, con 55º de flexión, extensión de 80º, pronación de 80º, supinación de 85º. La desviación cubital era de 40º y la desviación radial de 15º. Se observó una discreta disminución de la fuerza de prehensión, comparada con la mano contralateral e hipotrofia del antebrazo derecho.Discusión
Lee et al (2) y Lorwey et al (5) mostraron en sus trabajos lesiones asociadas a la luxación del hueso grande. Comparando nuestro caso con los anteriores, coincidimos en que el mecanismo de esta lesión es por hiperextensión y carga axial con la mano pronada. Además, con un movimiento de desviación radial en el momento de la carga que concluye con las fracturas observadas en los demás huesos del carpo. A pesar de la rotura de los ligamentos radio-escafo-capitato, capito-triquetral, interoseos y piramido-ganchoso-capitato no actuamos sobre la parte ligamentaria porque el grave compromiso ligamentario del propio traumatismo, asociado al tiempo de evolución, dificultó el reconocimiento de las estructuras anatómicas.
La forma ósea con concavidad palmar y el ligamento transverso determinan la forma del túnel carpiano y su zona más estrecha estructura se encuentra justamente a nivel de la 2ª fila del carpo (6). Sin embargo, ni en nuestro caso clínico y tampoco en los demás analizados se encontró algún elemento de compromiso del nervio mediano, síndrome compartimental o contractura isquémica de mano o antebrazo.
En cuanto a la movilidad a los 6 años, encontramos una mayor pérdida de la flexión del puño, comparada con la extensión. Pensamos que esto se deba a la pérdida del componente de flexión de que se observa entre la primera y segunda fila del carpo normalmente y que corresponde aproximadamente a 35° de flexión de puño (7). Por último, no encontramos clínica de dolor espontáneo y tampoco relacionada con la práctica de deporte de contacto, a pesar de la osteocondensación radiográfica evidente al año y que muestra cambios radiológicos significativos con un colapso capito-semilunar a los 6 años de seguimiento (Figura 5). Esto guarda relación con las limitaciones observadas clínicamente.
Conflicto de intereses
Los autores declaran no recibir fuente de financiación.
Los autores declaran no tener conflicto de interés.
Referencias
- Fenton RL. The naviculocapitate fracture syndrome. J Bone Joint Surg (Am). 1956; 38-A:681-4.
- Lee J, Ehara S, Furumachi K. Volar dislocation of the capitate. Radiat Med. 1999; 17:363-4.
- Rand JA, Linscheid RL, Dobyns JH. Capitate fractures: a long-term follow up. Clin Orthop Relat Res. 1982; 165:209-16.
- Dunn AW. Fractures and dislocations of the carpus. Surg Clin North Am. 1972; 52:1513-38.
- Lowrey DG, Moss SH, Wolff TW. Volar dislocation of the capitate. Report of a case. J Bone Joint Surg (Am). 1984; 66:611-3.
- Green DP et al. Green´s Operative Hand Surgery, 5ª ed. 2007; Cap. 14: pp:535.
- Kapandji AL. Fisiología articular, 6ª ed. Tomo I. 2006; pp:184.





