Resumen
Objetivo: El hemangioendotelioma epitelioide óseo es un tumor vascular maligno al cual se le desconoce su real incidencia. El esqueleto puede ser su único lugar de presentación o ser parte de una enfermedad multiorgánica. El propósito de este trabajo es presentar la experiencia en nuestro medio de esta rara entidad de la oncología ortopédica.
Materiales y métodos: Se presentan tres casos de HEE óseo con diferente forma de presentación y tratamiento.
Resultados: Se presentaron casos de hemangioendotelioma epitelioide óseo con diferentes formas de presentación, evolución y tratamiento. Destacamos que, a pesar de su baja frecuencia, se diagnosticaron 2 casos en el último año en nuestro medio con un comportamiento clínico y terapéutico distinto.
Conclusión: Hace falta estudios comparativos para determinar una conducta terapéutica apropiada frente a cada tipo de presentación y el uso de las terapias adyuvantes disponibles dado el incierto comportamiento biológico que presenta este tipo de neoplasia.
Abstract
Objective: Bony epithelioid hemangioendothelioma (BEH) is a malignant vascular tumor whose actual incidence is unknown. The skeleton may be its only place of presentation or be part of a multi-organ disease. The purpose of this work is to present the experience in our environment of this rare entity of orthopedic oncology.
Materials and methods: Three cases of bone BEH with different form of presentation and treatment are presented.
Results: Cases of BEH with different forms of presentation, evolution and treatment were presented. We emphasize that, despite its low frequency, 2 cases were diagnosed in the last year in our environment with a different clinical and therapeutic behavior.
Conclusion: Comparative studies are needed to determine an appropriate therapeutic behavior against each type of presentation and the use of available adjuvant therapies given the uncertain biological behavior of this type of neoplasm.
Palabras clave: Tumor óseo, tumor vascular, hemangioendotelioma epitelioide
Keywords: Bone tumor, vascular tumor, Bone epithelioid hemangioendothelioma
Introducción
El hemangioendotelioma epitelioide óseo (HEE) es un tumor vascular maligno (1)(2), un tumor raro del que se desconoce su real incidencia. La prevalencia para la afectación de todos los órganos es menos de 1 en 100.000 personas. El esqueleto puede ser el único órgano involucrado o parte de una enfermedad multiorgánica (2). El HEE puede ocurrir a cualquier edad siendo más común en adultos jóvenes y varones, con un pico de edad a los 30 años. Se localiza en huesos largos, con mayor frecuencia en miembro inferior (tibia y fémur). Una de las características es su tendencia a la multifocalidad, ya sea dentro de un mismo hueso o agrupadas dentro de una misma región anatómica (3). De todas maneras, la distinción entre multifocalidad y enfermedad metastásica no está del todo clara.
En cuanto al tratamiento, el número, el tamaño, la localización y el estadio del tumor determinan la conducta a seguir. Siempre que sea posible se prefiere una resección amplia de las lesiones únicas mientras que no existe consenso en la enfermedad multifocal. El propósito de este trabajo es presentar la experiencia en nuestro medio de esta rara entidad de la oncología ortopédica. Se presentan 3 casos de HEE óseo con diferentes tipos de tratamiento.
Paciente y metodología
Presentamos tres casos de HEE óseo tratados en nuestro medio con diferente forma de presentación y tratamiento. Dos de estos fueron tratados en la Unidad de patología oncológica músculoesquelética (UPOME) del Instituto Nacional de Ortopedia y Traumatología, de Montevideo, por un mismo cirujano, y el tercer caso fue tratado por un equipo diferente.
Caso 1
Paciente de 31 años sexo femenino, sin antecedentes médicos a destacar. Comienzó dos meses previos a la consulta con dolor en pierna izquierda con componente nocturno, que se intensificaba con la marcha. A los pocos dias, constató una pequeña tumefacción en el tercio medio de la pierna izquierda.
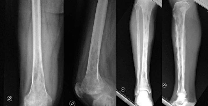
El examen clínico mostró una tumefacción medio diafisaria de la tibia izquierda, de 2 por 2 cm, firme y que despertaba dolor a la palpación. El resto del examen era normal. Se realizó el estudio radiográfico de la pierna con varias imágenes osteolíticas localizadas en tibia y peroné, sin borde escleroso ni reacción perióstica que destruían la cortical en alguna de las lesiones (Figura 1).
La tomografía computada (TC) mostró las imágenes líticas bien delimitadas, medulares y corticales que en algunas ocasiones rompían la cortical sin presentar signos de reacción perióstica. El centellograma óseo mostró imágenes hipercaptantes en el tercio distal de fémur, tibia y peroné y en el tarso del miembro ipsilateral, dando un aspecto atigrado. El resto del esqueleto no mostraba alteraciones. La TC de tórax y abdomen, los estudios paraclínicos y los parámetros infecciosos no presentaron alteraciones. Se realizó una biopsia en tibia y una segunda en peroné, extrayendo un material friable parduzco.
El informe de la biopsia señaló fragmentos de hueso trabecular con imágenes de remodelación y reacción fibrosa con presencia de proliferación celular de citoplasma amplio eosinófilo, finalmente granular que bordea hendiduras con moderado pleomorfismo con escasas mitosis, núcleos vesiculosos con pequeños nucléolos.
Se realizaron técnicas complementarias histoquímicas e inmunohistoquímicas para tipificar la población celular integrado, expresando débilmente positividad para vimentina, marcador genérico mesenquimal, no expresando marcación positiva con CD31 y CD 34, marcadores de estirpe vascular. Pese a ello la imagen histopatológica era compatible con una neoplasia de origen vascular de tipo hemangioendotelioma epiteloide ya que los marcadores CD 31 y CD 34 pueden no haber expresado inmunoreactividad por alteración de los antígenos en la descalcificación del material.
Con este diagnóstico se realizaron 35 sesiones de radioterapia, recibiendo 7500 rads, aplicada en fémur distal, tibia, peroné y tarso. La evolución sintomática fue buena desapareciendo el dolor y la tumefacción tibial.
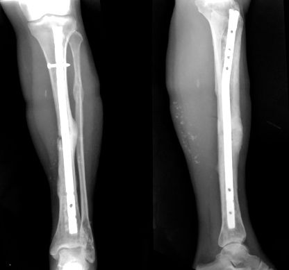
Se realizó una nueva biopsia ante la persistencia radiológica de las imágenes patológicas, que no evidenció tejido tumoral. En la evolución la paciente presentó una fractura patológica en el lugar de la biopsia, por la cual se realizó un enclavijado endomedular (Figura 2). El material del fresado endomedular fue analizado y la anatomía atológica no evidenció células tumorales.
Figura 2: Radiografías de la paciente con fractura consolidada y buena alienación. Lesiones líticas en el maleolo externo.
La paciente estuvo asintomática en los primeros 4 años de evolución. El control anual radiográfico solo mostraba lesiones líticas en peroné distal, mientras el centellograma óseo, mostró una progresiva disminución de la actividad osteoblástica en tibia y peroné mostrando hipercaptación en el tercio medio de la tibia, seguramente en relación con el sitio de fractura, no se constataron, en los estudios sucesivos, captación femoral ni en tarso. El ultimo centellograma a los 13 años del diagnóstico presentó un aumento de la captación en relación con el foco de fractura y en el maléolo externo se apreció una zona de hipercaptacion. Actualmente lleva 14 años de evolución asintomática, con la fractura consolidada, y con hipercaptacion del centellograma óseo en el peroné distal.
Caso 2
Paciente de 39 años, sexo masculino, diestro, trabajador de la construcción. Presentó dolor e impotencia funcional progresiva de un año de evolución en el antebrazo derecho, sin antecedente traumático. En la primera consulta se realizó una radiografía del codo derecho que mostró una lesión osteolítica en la metáfisis proximal de radio, de límites mal definidos, con una zona amplia de transición que erosionaba la cortical, sin signos de reacción perióstica. Se solicitó una RNM que mostró una lesión ósea focal en la metáfisis próximal del radio, excéntrica con crecimiento exolítico, con epicentro en la cortical interna. Destruía el espesor de la cortical interna acompañada de reacción perióstica interrumpida, asociado presentaba un componente de partes blandas que se extendía rodeando circunferencialmente el radio. El centellograma óseo presentó una imagen hipercaptante en el tercio proximal de radio por lo cual se realizó una biopsia incisional proximal en la cara anterior del antebrazo derecho. El informe fue proliferación celular atípica formada por luces vasculares con revestimiento celular integrado por células con alta relación núcleo/citoplasma. Atipias nucleares con pleomorfismo moderado. Se realizaron marcadores tumorales de IHQ, CD31, CD34 y EMA siendo todos positivos. Los hallazgos morfológicos e inmunofenotipicos eran compatibles con un tumor mesenquimático de origen vascular que podría corresponder a un HEE (Figura 3) (Figura 4).
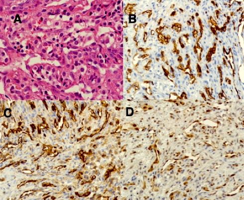
Figura 3: Caso 2 a) proliferación celular de aspecto epiteloide, con monomorfismo celular (H&E, 10x), b) inmunohistoquímica (IHQ) para CD 34 que marca los vasos (testigo interno) y células intervasculares correspondientes a la proliferación vascular (10x) c) IHQ para CD 31 que marca los vasos (testigo interno) y células intervasculares correspondientes a la proliferación vascular y con coexpresión con CD 34 en algunas de ellas (10x), d) IHQ para Fly 1 (Friend leukaemia integration-1) con positividad nuclear en células intervasculares y en células endoteliales como control interno (10x)
El paciente sufrió una fractura patológica de radio proximal con parálisis del nervio radial, siendo inmovilizado con una férula. Se realizaron 30 sesiones de radioterapia neoadyuvante, con una dosis de 60 Gy por campo, en el antebrazo, durante 5 semanas.
Figura 4: a) resección del radio en casi su totalidad, b) transferencia del m. palmar mayor al m. extensor largo del pulgar, c) pieza de resección y d) corte sagital de la pieza de resección.
A los 7 meses de la primera consulta volvió, por primera vez a nuestro servicio, con ula parálisis del nervio radial, tumefacción del tercio proximal del antebrazo y dermitis radioterápica. Se solicitó una nueva valoración para estatificar la enfermedad. La analítica fue normal. Las radiografías mostraron aumento del tamaño de la lesión, con un patrón infiltrante que erosionaba las corticales con signos de reacción perióstica. Se solicitó una nueva RNM que se comparó con un estudio previo y observamos, en la diáfisis proximal del radio, un área de solución de continuidad del hueso vinculado al antecedente de la punción biópsica. La lesión ósea descrita disminuyó de tamaño y también disminuyó el componente de partes blandas. Con el diagnóstico anatomo-patológico de HEE óseo y parálisis del nervio radial, se realizó una cirugía de resección casi completa del radio y artrodesis de la articulación radio cubital distal, con transferencias tendinosas. Se transfirieron el m. cubital anterior al m. extensor común, el m. palmar mayor al m. extensor largo del pulgar y el m. pronador redondo al m. segundo radial (Figura 5) (Figura 6). Se realizó la inmovilización posoperatoria, en posición de dorsiflexión del puño, y se comenzó con fisioterapia y movilización temprana.
Figura 6: Caso 3, a) (H&E, 4x), b) población celular fusiforme y epiteloide (H&E, 10x), C) población celular básicamente epiteloide, algunas con eritrocitos en luminas del citoplasma (40x), d) positividad de membrana para CD 34 del componente epiteloide (10x).
La cicatriz operatoria evolucionó adecuadamente y disminuyó el dolor con mejoría parcial de la función del antebrazo. La anatomía patológica de la pieza operatoria mostró presencia de áreas de necrosis con escaso componente neoplásico residual remanente, junto al proceso inflamatorio extenso y abundante tejido fibroso en relación a la radioterapia neoadyuvante. Los bordes de resección de tejidos blandos y óseos estaban libres de lesión. A los 10 meses de la segunda cirugía encontramos mejoría del dolor con uso esporádico de analgésicos y seguía con su plan de fisioterapia, utilizando férula termoplástica en posición funcional.
Caso 3
Paciente de 38 años de sexo masculino, sin antecedentes médicos a destacar. Predsentaba dolor, de 6 meses de evolución, en el miembro inferior derecho, con aumento de tamaño e impotencia funcional progresiva. Se realizaron radiografías de todo el miembro presentando lesiones osteolíticas multifocales que comprometían el tercio distal de fémur, la rótula y la tibia en toda su extensión. Dichas lesiones presentaban limites mal definidos, con una amplia zona de transición que erosionaba la cortical anterior de la tibia. En la paraclínica no se encontraron alteraciones.
Se realizó un TC de miembro inferior derecho que mostró lesiones líticas redondeadas con compromiso cortical y expansión a partes blandas. El body TC no mostró alteraciones y la RNM se presentó como lesiones de señal intermedia en T1 e hiperintensas en T2. Se realizó un PET Scan que presentó un patrón atigrado desde tercio distal de fémur al tarso. Se efectuó una biopsia guiada por TC por imagenólogo, sin obtener una muestra adecuada. El paciente presentó dolor intenso con agravación de los síntomas siendo necesaria la administración de opioides para analgesia. Se decidió realizar biopsia por punción con aguja gruesa de fémur distal y tibia, bajo intensificador de imágenes que se enviaron al servicio de anatomía patológica. El informe señaló el diagnóstico de tumor vascular óseo primario del tipo de HEE. Se realizó CT óseo luego de la biopsia sin onservar un aumento de las lesiones.
El equipo multidisciplinario decidió conjuntamente realizar una amputación transfemoral media de miembro inferior derecho y solicitar consulta con equipo de radioterapia en vistas a irradiar el fémur remanente. Se realizó la cirugía sin complicación con un protocolo previo de pregabalina para disminuir los síntomas de miembro fantasma. La evolución posoperatoria fue buena con cierre del muñón sin complicaciones. La pieza de amputación fue de 132 cm de longitud, incluyendo la porción media y distal del muslo con la pierna y el pie. Macroscópicamente el fémur presentó una lesión diafisaria de 10 x 15 mm que incluía también parte de la metáfisis. En el extremo proximal y en la diáfisis tibial se observaron lesiones de 15 a 35mm. En la microscopia se observaron lesiones óseas con proliferación vascular, con células de aspecto epitelioide dispuestas en cordones y aisladas, algunas de aspecto fusiforme. La proliferación invadía el plano muscular de la pierna. Actualmente lleva 8 meses de evolución tras la cirugía con una cicatrización excelente del muñón de amputación y sin dolor ni síndrome de miembro fantasma.
Discusión
Tras la descripción de los tumores vasculares óseos de carácter maligno se han incluido diferentes entidades con diversos términos (4), pero con una nomenclatura de los tumores vasculares muy variada. El término clásico de ¨hemangioendotelioma¨ ha sido usado para describir lesiones benignas, intermedias y malignas. De acuerdo a la última actualización de la clasificación de tumores de partes blandas y óseos de la Organización Mundial de la Salud (OMS), del año 2013, el término hemangioendotelioma epitelioide se refiere a una neoplasia maligna con diferenciación endotelial. Tiene características histológicas idénticas a las del tejido blando y se asocia con un curso clínico favorable (2). Verbeke et al. (5) propusieron una nueva clasificación describiendo todos los subtipos histológicos de los tumores vasculares óseos en correlación con su comportamiento clínico, radiográfico y genético. Según esta clasificación, el HEE es un tumor maligno de bajo grado. El 50 % de estos ocurre en huesos largos tubulares de las extremidades. La multifocalidad se ve entre el 50 al 64 % de los casos, siendo más frecuente dicha presentación que en el caso del angiosarcoma. No sabemos si esto es por un comportamiento sincrónico o por un compromiso metastásico. No se han descrito alteraciones genéticas para este tumor localizado en hueso, pero si en las partes blandas.
En nuestra serie de casos dos pacientes tenían lesiones multicéntricas, en huesos largos de miembro inferior, y el otro presentaba una lesión focal en el miembro superior. Todos consultaron por dolor persistente asociado al aumento de tamaño del miembro afectado. En el caso 2 se presentó una fractura patológica secundaria a la biopsia. En el caso 3 se dio una mejoría transitoria del dolor luego de la biopsia presumiblemente por degravitación de las lesiones.
El comportamiento radiográfico del HEE es variable, por lo general se presenta con lesiones osteolíticas expansivas y con límites indefinidos. Puede existir compromiso cortical con extensión a partes blandas e invasión articular. En nuestros casos se observó la variabilidad de la presentación radiográfica, siendo en el caso 1 y 3 lesiones osteolíticas redondeadas, multicéntricas con bordes poco definidos; mientras que en el caso 2 se presentó como una lesión única infiltrante con compromiso de partes blandas. En la resonancia nuclear magnética (RNM) se presentan con una señal mixta en secuencias ponderadas en T1 con aumento moderado de señal en T2 (6).
En cuanto a los diagnósticos diferenciales del HEE óseo, se incluyen la osteomielitis y diversos tipos de tumores óseos como el angiosarcoma, histiocitosis de células de Langerhans, mieloma, linfoma y metástasis entre otros. Un diagnóstico definitivo basado en los hallazgos radiológicos solamente es difícil. Stout (7) realizó una aproximación histológica para diferenciar los tumores vasculares. El HEE óseo se compone de células con diferenciación endotelial, dispuestas en cadenas alrededor de cavidades vasculares. Para el diagnóstico del este tumor son necesarios estudiar los marcajes atípicos del núcleo, la actividad mitótica y la necrosis (7). Las células endoteliales expresan vimentina, CD31, CD34 y FLI-1. El EEH, así como también el hemangioma y el angiosarcoma, puede expresar citoqueratinas y el antígeno de la membrana epitelial (EMA). Es por esto que la IHQ no nos permite diferenciar entre lesiones benignas y malignas. En nuestra serie, en el caso 1 se dio la expresión de vimentina siendo negativos los marcadores para CD31, CD34 y no fue realizado marcador para EMA y FLI-1. En el caso 2 se realizaron marcadores para CD31, CD34 y FL-1, siendo todos positivos. En el caso 3 se dio la posibilidad del marcador CD34.
Se han propuesto diferentes tratamientos una vez que se hace el diagnóstico de HEE. Campanacci et al. (3) realizaron el tratamiento de estos tumores de acuerdo al grado histológico; desde la abstención terapéutica, curetaje, resección en bloque y radioterapia hasta la amputación. Desde entonces el tratamiento ha sido muy discutido, con resultados variados dado el pronóstico incierto de esta neoplasia. Sardaro et al. (8) proponen un tratamiento con resección amplia de las lesiones únicas y accesibles y en el caso de lesiones multicentricas indican la amputacion del miembro afectado. No existe consenso en cuanto al uso de la radioterapia. Angelini et al. (9) en una serie de 62 casos de HEE óseo tratados con un seguimiento medio de 9 años, el 80% fueron lesiones unifocales, de las cuales el 10 % progresó a lesiones multicentricas. Todos los casos fueron tratados mediante cirugía, con o sin adyuvancia. En cuanto a la lesiones uni- y multifocales se obtuvo una supervivencia del 97% y del 74% respectivamente, a los diez años. Debido al riesgo de sarcomas inducidos por la radiación, la radioterapia debe ser cuidadosamente considerada y reservada a aquellos casos que no son susceptibles de cirugía amplia o cuando las lesiones están en lugares difíciles de tratar. Sin embrago, dos de nuestros pacientes respondieron favorablemente a la radioterapia sin recidivas ni complicaciones sarcomatosas en nuestro periodo de seguimiento. El pronóstico de los pacientes parece estar acorde a la presencia de lesiones tumorales uni- o multifocales, y por el grado de diferenciación histológica dado por la atípia citológica de las células endoteliales neoplásicas. Hace falta estudios comparativos para determinar una conducta terapéutica apropiada frente a cada tipo de presentación y el uso de las terapias adyuvantes disponibles dado el incierto comportamiento biológico que presenta este tipo de neoplasia.
Agradecimientos
Dr Juan Bide, médico en traumatología, por la sesión del caso 1 y su trabajo de residencia de este tema. Dr. Rogelio Rey, profesor agregado de la cátedra de ortopedia y traumatología, por sus conocimientos y aporte de material del caso 1.
Referencias
Referencias
- Weiss SW, Enzinger FM. Epithelioid hemangioendothelioma. a vascular tumor often mistaken for a carcinoma. Cancer. 1982, 50:970-81.
- Fletcher CD, Hogendoorn P, Mertens F, Bridge J. WHO Classification of Tumours of Soft Tissue and Bone. 4th ed. Lyon, France: IARC Press; 2013.
- Campanacci M, Boriani S, Giunti A. Hemangioendothelioma of bone: A study of 29 cases. Cancer. 1980; 46:804-14.
- Wells HG. Relations of Multiple Vascular Tumors of Bone to Myeloma. Arch Surg. 1921; 2:435-42.
- Brouchet A, Amoretti N, Pennel N, Héritier S, Thariat J. Tumores vasculares óseos primarios. EMC - Aparato locomotor. 2013; 46:1-13.
- Greenspang A, Remagen W. Tumores de huesos y articulaciones. Madrid: Marbán, 4ta edición 2006.
- Stout AP. Hemangioendothelioma: A tumor of blood vessels featuring vascular endothelial cells. Ann Surg. 1943; 118:445-64.
- Sardaro A, Bardoscia L, Fonte Petruzzelli M, Portaluri M. Epithelioid hemangioendothelioma: an overview and update on a rare vascular tumor. Oncology rev. 2014; 8:259.
- Angelini A, Mavrogenis AF, Gambarotti M. Surgical treatment and results of 62 patients with epithelioid hemangioendothelioma of bone. J Surg Oncol. 2014; 109:791-7.

