SLAOT

Gonartrosis asociada a deformidad extraarticular: indicaciones de una artroplastía de rodilla

Knee osteoarthritis associated to significant extra-articular deformity: indications for a knee arthroplasty

Santiago Vedoya 1, Germán Garabano 1, Hernán del Sel 1
1 Servicio de Ortopedia y Traumatología, Hospital Británico de Buenos Aires
Autor para correspondencia:

Dr. Santiago Pablo Vedoya.
Hospital Británico de Buenos Aires. Servicio de ortopedia y traumatología.
Perdriel 74, 1280, CABA, Buenos Aires, Argentina.
E-mail: spvedoya@gmail.com
Tel: 15-4400-6470

Resumen

Objetivo

Definir un método de evaluación del paciente con gonartrosis asociada a una deformidad extraarticular, quienes requieren de una cuidadosa evaluación preoperatoria para decidir si la corrección del eje podrá realizarse mediante la resección ósea intraarticular, o asociando una osteotomía extraarticular.

Material y Método

Se evaluaron 22 artroplastías de rodilla por gonartrosis asociada a deformidad extraarticular de etiología postraumática en 8 casos y postosteotomía en 14. En todos los casos se realizó la corrección del eje del miembro mediante una artroplastía total de rodilla con cortes óseos intra articulares “inusuales”, sin que fuera necesario realizar una osteotomía. La evaluación clínica y funcional se realizó mediante el sistema de puntaje de la Knee Society.

Resultados

El promedio de la evaluación clínica fue de 24,3 puntos en el prequirúrgico y 86 al año postoperatorio. Con respecto al puntaje funcional, paso de un promedio de 34 puntos en el prequirúrgico a 85,3 puntos al año. Mediante esta técnica hemos obtenido buenos resultados, a más de 5 años de seguimiento, en 20 de los 22 casos operados.

Conclusión

El método propuesto se puede aplicar en desalineaciones femorales de hasta 20° y tibiales de hasta 30° en el plano coronal.

Abstract

Objective

Patients with osteoarthritis of the knee associated with femoral or tibial extra-articular deformity require thorough preoperative planning in order to decide if the axis correction can be made through “unusual” intra-articular bone cuts or if it should be associated to an osteotomy.

Material and methods

We analyzed 22 knee arthroplasties performed in 20 patients with knee osteoarthritis associated to significant extra-articular deformity of post-traumatic etiology in 8 cases and post-osteotomy in 14. the limb’s axis was corrected through a TKA with “unusual” intra articular bone cuts, without need of an osteotomy. The clinical and functional evaluation was made through the Knee Society scoring system.

Results

The average score for clinical evaluation was of 24.3 points preoperatively and 86 points one year after surgery. As to the functional score, it improved from 34 points preop to 85.3 points one year after surgery. Through this technique we have achieved good results, after more than 7 year of follow up, in 20 among 22 of the operated patients.

Conclusion

This method can be applied to angular deformities up to 20º in the femur and up to 30º in the tibia.

Palabras clave: deformidad, extraarticular, artroplastía, rodilla

Keywords: extra-articular, deformity, knee, arthroplasty

Introducción

El éxito a largo plazo de una artroplastía total de rodilla (ATR) depende, en gran medida, de la restitución del eje mecánico del miembro y del adecuado balance de las partes blandas, ya que esto optimiza la distribución de cargas en la superficie de contacto protésica y en las distintas interfaces (1-7). Prácticamente todos los pacientes con gonartrosis presentan una algún grado de deformidad articular, en varo o valgo, asociada o no a diferentes grados de inestabilidad ligamentaria. En la mayoría de los casos, la técnica e instrumental quirúrgico convencionales se utilizan sin inconvenientes (4), lográndose la corrección del eje mediante la liberación y el equilibrio de las partes blandas y los cortes óseos intraarticulares en tibia y fémur (4)(5)(9).

Consideramos como deformidad extraarticular aquella ubicada proximal a los epicóndilos femorales o distal al cuello del peroné. En los pacientes con gonartrosis asociada a deformidad extraarticular, será necesaria una evaluación minuciosa del cuadro y un enfoque diferente al momento de planificar una artroplastía (3)(8). Las deformidades extraarticulares de fémur y tibia pueden ser secundarias a consolidación viciosa o pseudoartrosis de fracturas, osteotomías, enfermedades metabólicas óseas, enfermedad de Paget o malformación congénita. La desalineación ósea podrá ser coronal, sagital, rotacional o combinada (1)(3-5)(8-10). Existen diversas opiniones sobre la forma más adecuada de corregir el eje de un miembro con deformidad extraarticular, al realizarse una ATR (1)(2)(4)(11-15).  Sin embargo, hay cierta coincidencia acerca de que si la deformidad femoral en el plano coronal o sagital es mayor de 20º o la tibial mayor de 30°, la corrección realizada únicamente mediante cortes intraarticulares “inusuales” y la correspondiente liberación de partes blandas, puede generar una compleja inestabilidad ligamentaria. Por ello, la decisión fundamental al planificar la ATR será si la corrección del eje del miembro se realizará solo mediante cortes óseos intraarticulares “inusuales”, o con una osteotomía correctora del hueso que tiene la deformidad (4)(5)(11)(14)(16-18).

Este trabajo presenta el análisis retrospectivo de nuestra experiencia en ATR en pacientes con gonartrosis asociada a una deformidad extrarticular homolateral femoral o tibial significativa, mayor de 10°. Su objetivo es describir las dificultades de la interpretación y planificación preoperatoria, la técnica quirúrgica, las distintas modalidades de tratamiento y nuestros resultados en este grupo de pacientes.

Material y metodología

Entre 2005 y 2014 se realizaron en nuestro centro 1116 ATR, de los cuales 22 (1,97%), presentaron gonartrosis asociada a deformidad extraarticular. Para ser incluida en este estudio, la rodilla debía presentar una artrosis sintomática con indicación de ATR asociada a una deformidad angular previa mayor a 10° en el tercio medio o distal del fémur o en el tercio medio o proximal de la tibia. Se excluyeron casos con coxa vara secuela de fractura intertrocantérica, ni desalineaciones en la tibia distal por secuelas de fracturas alrededor del tobillo. La serie incluyó 22 ATR, 2 bilaterales no simultáneas, correspondientes a 14 mujeres y 6 varones con un promedio de edad de 67 (47 – 84) años. Once pacientes fueron operados de la rodilla derecha y 11 de la izquierda con un seguimiento promedio de 6 (3 – 12) años.

La causa de la deformidad fue postraumática en 8 pacientes (36,4%), 3 por secuela de una consolidación viciosa de fracturas mediodiafisarias de fémur, 3 en secuela de fractura supracondílea de fémur y 2 pseudoartrosis del tercio proximal de tibia; secuela de osteotomía femoral en 8 pacientes (36,4%), 7 varizantes (Figura 1) y 1 valguizante, y secuela de osteotomía tibial en 6 pacientes (27,2%), 3 en varo y 3 en valgo. Debemos señalar que, si bien, la mayoría de las osteotomías valguizantes de tibia proximal crean una deformidad extraarticular, solo se incluyen en esta serie aquellas mayores a 10°.

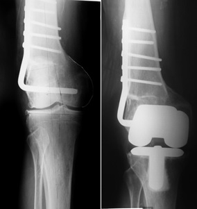
Figura 1: a) Paciente de 70 años, con genu valgo artrósico derecho y antecedente de osteotomía varizante femoral. Desalineación coronal femoral de 8° en varo y eje anatómico de 13° de valgo. Observar la limitación para el empleo de la guía femoral endomedular por la deformación y la osteosíntesis. b) ATR con eje final de 3° de valgo. Se empleó guía de corte femoral extramedular. La prótesis femoral queda centrada en la epífisis y parece ¨descentrada¨ respecto de la diáfisis.

Trece rodillas presentaban genu varo artrósico, con una desalineación promedio de 9,2° y 9 genu valgo artrósico, con 16,6° de promedio. La deformidad extraarticular se situaba en el tercio medio del fémur en 3 pacientes (13,6%) (Figura 2) (Figura 3), en el tercio distal del fémur en 11 (50%) (Figura 1), en el tercio proximal de la tibia en 6 (27,2%) y en el tercio medio de la tibia en 2 (9,1%). En cuanto al tipo de deformidad, todos los pacientes tenían deseje en el plano coronal, con 10 casos en varo (14,3° promedio), 11 en valgo (10,4° promedio) y un caso con un desplazamiento medial del segmento femoral distal de 3 cm. En seis desalineaciones fueron biplanares, con alteraciones también en el plano sagital, 3 en flexión y 3 en extensión, con un promedio de 19,7° y 8° respectivamente. Ningún paciente presentó una deformidad rotacional no corregible mediante cortes óseos inusuales durante la cirugía.

Los implantes utilizados fueron 6 All Poly (Johnson y Johnson®) (Figura 2), 8 PFC Sigma (Johnson y Johnson®) (Figura 3), 3 Scorpio (Stryker®), 5 Insall Burstein de fabricación argentina (3 FICO® y 2 Villalba®). En 3 casos se utilizaron vástagos en la tibia en dos pacientes con pseudoartrosis de tibia y otro con una secuela de osteotomía valguizante de tibia. En un paciente se realizó una osteotomía de la tuberosidad anterior de la tibia para facilitar el acceso quirúrgico. El promedio de cirugías previas fue de 1,5 (0 - 3) y el tiempo transcurrido entre la causa de la deformidad extra articular y la artroplastía fue de 13 años (6 meses - 44 años).

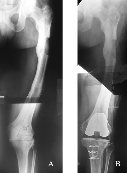
Figura 2: Empleo de radiografías convencionales superpuestas para la medición del eje. a) Paciente de 47 años, que presenta deformidad medio diafisaria en dos segmentos del fémur izquierdo por secuela de fractura. Desalineación coronal femoral de 18° en varo y eje anatómico de 23° de valgo. b) Diagnóstico de genu valgo artrósico y movilidad articular de 10º a 40º, se realizó el ATR obteniendo un eje final de 7° de valgo. Se realizó la osteotomía de la tuberosidad anterior de la tibia para facilitar el acceso quirúrgico.

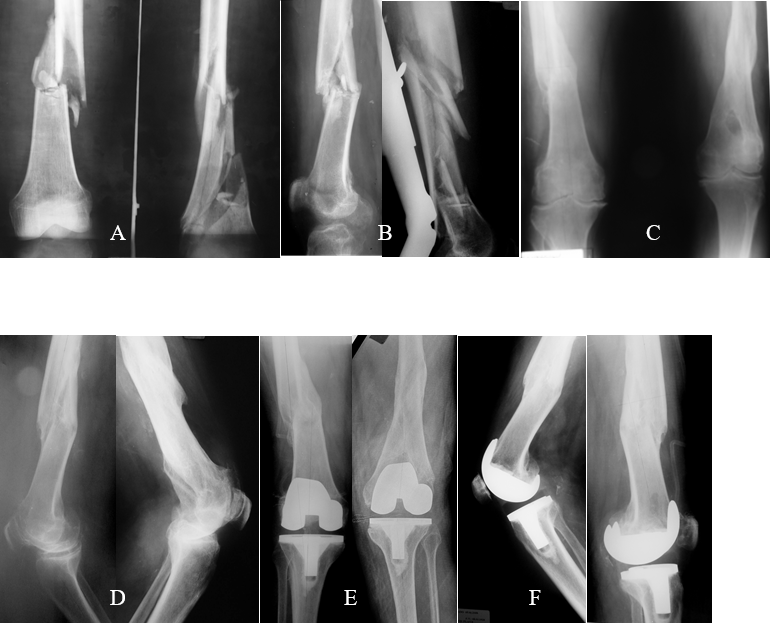
Figura 3: : a, b) Paciente de 79 años que sufrió una fractura diafisaria bilateral de fémur. c, d) Consolidación viciosa con desplazamiento medial del segmento óseo distal de 3 cm en el fémur derecho, y desvío coronal de 8° de valgo en el izquierdo; recurvatum de 8° en el fémur derecho y 9° en el izquierdo. e, f) ATR bilateral no simultáneas.

Todas las cirugías fueron realizadas en quirófano con flujo laminar. Se utilizó anestesia peridural hipotensiva y manguito hemostático. Se administraron tres dosis de cefazolina EV en 24 hs. (1 g en la inducción anestésica, y luego 1 g / 8 h) y de 2 a 3 semanas de heparina de bajo peso molecular subcutánea asociado a un vendaje elástico compresivo del miembro, hasta el retiro de los puntos a los 20 días.

Estudio preoperatorio y consideraciones sobre la técnica quirúrgica

La planificación prequirúrgica es esencial para prever y evitar la mayoría de las potenciales complicaciones relacionadas a este tipo de cirugía. Deben además ser evaluados otros factores como la edad y los antecedentes clínicos y quirúrgicos del paciente, su nivel de actividad, la causa y el tipo de deformidad y la cantidad de articulaciones afectadas. La anamnesis debe incluir un exhaustivo examen del miembro, evaluando los rangos de movilidad articular, la presencia de rigidez o contractura en flexión, las deformidades multiplanares, el estado neuro vascular, la existencia de osteosíntesis y la calidad de la musculatura y demás partes blandas. Con respecto al acceso quirúrgico, para prevenir necrosis cutáneas, es recomendable utilizar alguna de las incisiones preexistentes y si esto no es posible, mantener una distancia de al menos 5 cm entre ambas.  Es indispensable conocer la etiología de la deformidad y su ubicación en relación a la rodilla, para así evaluar su verdadera incidencia en el eje mecánico del miembro. Mientras más cerca se encuentre de la articulación, mayor será su impacto en la misma, y mas condicionará la posibilidad de corregir el eje mediante cortes intraarticulares. En la evaluación radiográfica es fundamental que la incidencia anteroposterior incluya la cabeza femoral y el tobillo (espinograma) con el paciente de pie y apoyando el peso en el miembro. En caso de no contarse con este tipo de estudios se pueden utilizar radiografías convencionales tomadas por separado, con la misma magnificación, para luego armar el miembro como un rompecabezas (Figura 2), con la rodilla en máxima extensión y rotación neutra. Estas imágenes permitieron evaluar los efectos de la deformidad en el eje final del miembro, realizar la medición del implante y calcular las resecciones óseas necesarias. Aconsejamos disponer también de un par radiográfico con foco en la rodilla. Sobre estas imágenes trazamos el eje mecánico del miembro inferior, desde el centro de la cabeza femoral al centro del tobillo, el cual debiera pasar por el centro de la rodilla. En los pacientes que presentan una deformidad en varo, intra o extra articular, la línea del eje mecánico transcurría medial a la misma y si la deformidad era en valgo lo hacia lateralmente.

Para evaluar la deformidad extraarticular se midió el ángulo que forman los ejes del canal medular, femoral o tibial, a cada lado de la deformidad. Si las deformidades extraarticular y articular eran de eje opuesto, una vara y otra valga, el eje resultante era, en ocasiones, normal, mientras que si eran ambas en el mismo eje se sumaban y era mayor la corrección al hacer los cortes óseos. Para medir la deformidad rotacional el estudio de elección es el TC.

Para el fémur, el corte óseo distal lo planificamos usando como referencia el eje mecánico femoral (corte a 90°). La corrección de la deformidad extraarticular se realizó mediante cortes intraarticulares de los cóndilos cuando la línea de corte femoral distal respetaba las inserciones de los ligamentos colaterales en ambos epicóndilos (Figura 4). Recomendamos utilizar la guía endomedular si esta logra atravesar la deformidad angular, pero si no es posible, generalmente en deformidades del tercio medio, recomendamos utilizar una guía extramedular. En las deformidades femorales en varo cercanas a la articulación, el punto de entrada al canal femoral para la guía endomedular era en la superficie de carga del cóndilo lateral que era el más recortado. Para deformidades en valgo, la entrada y la mayor resección fue en el cóndilo medial. Al realizar cortes intraarticulares compensadores de la deformidad femoral extraarticular, se generaba un cajón de extensión asimétrico, el cual debía ser compensado mediante la correcta liberación de partes blandas.

Figura 4: Para la planificación femoral se utiliza una línea de corte distal a 90° del eje mecánico del fémur: a) si afecta a la inserción ligamentaria en los epicóndilos, debe realizarse una osteotomía femoral correctora. b) cuando la línea de corte pasa por debajo de los epicóndilos, basta con los cortes óseos intra articulares para corregir la deformidad. Para la planificación tibial se utiliza la proyección del eje del segmento tibial distal a la deformidad. c) en caso de que el eje pase por dentro de los platillos tibiales, la corrección puede hacerse mediante cortes intra articulares y d) si pasa por fuera, está indicada la osteotomía correctora.

En la tibia, el corte de los platillos se realizó a 90° del eje del segmento tibial distal a la deformidad (Figura 4). El uso de guías se rigió por los mismos principios que para el fémur (Figura 5) con la diferencia de que los cortes “inusuales” de la tibia generan un cajón asimétrico en todo el rango de movilidad de la rodilla, lo cual hace estas deformidades sencillas de corregir mediante la liberación adecuada de las partes blandas.

Con respecto a la deformidad rotacional, no está definido el límite para el cual se recomienda asociar una osteotomía correctora. Sin embargo, creemos que, mientras se respeten las inserciones ligamentarias, los cortes femorales pueden rotarse tanto como sea necesario con tal de obtener un cajón de flexión simétrico. Existe, sin embargo, duda sobre el grado de deformidad con la cual se debe realizar la corrección agregando una osteotomía extraarticular. En pacientes con deformidades triplanares complejas esto fue más evidente. Cuando programamos la osteotomía extraarticular en el mismo acto quirúrgico que la ATR, tuvimos que definir el método de estabilización de la misma y preferimos, en la medida de lo posible, utilizar vástagos femorales o tibiales en vez de una osteosíntesis.

Se utilizó el sistema de puntaje de la Knee Society (2) para la evaluación clínica y funcional preoperatoria y al año de la cirugía.

Figura 5 : a, b, c) paciente masculino de 35 años de edad, que sufre de hemimelia peronea del miembro inferior izquierdo. Presenta gonartrosis grave homolateral, osteosíntesis femoral homolateral y deformidad tibial de 20° en varo y 28° de antecurvatum; d, e) gonartrosis grave, subluxación posterior de la tibia y patela baja. f, g) A-P y perfil de la ATR. Fue necesario realizar una osteotomía de la TAT.

Resultados

El promedio de valoración con la escala de la Knee Society fue de 24,3 puntos (10 a 46) en el prequirúrgico y 86 (69 - 90) al año. Con respecto al puntaje funcional, pasó de un promedio de 34 puntos (12 a 53) en la evaluación prequirúrgica, a 85,3 (73-91) puntos al año.

En los 2 casos bilaterales, el tiempo transcurrido entre las cirugías fue de 3 meses en un paciente de 55 años de edad y de 13 meses en otro de 79 años (Figura 3). El arco de movilidad postoperatorio promedio fue de 107° (86° - 125°) en el último control, lo que significó una mejoría de 23,3°. El eje anatómico postoperatorio promedio fue de 6,3° de valgo para los genu varo y de 5° de valgo para los genu valgo.

Se presentaron 2 complicaciones. Un paciente con antecedentes de osteomielitis de fémur y tegumentos en mal estado por cirugías previas, desarrolló una infección profunda y en la actualidad sigue con un espaciador de cemento con antibióticos y un expansor para mejorar la cobertura. Otro paciente, con genu valgo artrósico de 20º y secuela de osteotomía varizante de fémur distal, desarrolló una inestabilidad medial por insuficiencia del ligamento colateral interno, requiriendo la revisión a una prótesis constreñida a los 2 años de operado.

Discusión

Con una ATR buscamos restaurar la anatomía normal corrigiendo el eje del miembro, conservar la mayor cantidad posible de hueso, preservar los ligamentos colaterales y el aparato extensor y colocar la prótesis, si es posible, una no constreñida, de forma correcta. La mayoría de las deformidades extraarticulares pueden ser corregidas mediante una resección ósea intraarticular ¨inusual¨, asociada a un adecuado balance de partes blandas. Es fundamental la evaluación preoperatoria del miembro para planificar las resecciones óseas intraarticulares, ya que los cortes no deben afectar la inserción de los ligamentos colaterales­­ de la rodilla (1)(3-5)(9)(16).

En presencia de una deformidad extraarticular femoral en varo, la planificación preoperatoria nos mostrará que será necesaria una mayor resección del cóndilo femoral lateral, mientras que en una deformidad en valgo habrá una mayor resección del medial. Por otra parte, las alteraciones tibiales en varo necesitarán de mayor resección del platillo tibial externo, y las en valgo, del interno (4)(5)(9). Estas resecciones, que generan un cajón asimétrico, de extensión en deformidades femorales y de todo el rango de movilidad en las tibiales, producen sobre los ligamentos colaterales un desquilibrio que no debe ser menospreciado. Esta situación, si no es compensada, genera diferentes grados de inestabilidad articular (4)(5)(8)(9)(15)(18). Por esto debe realizarse, sin excepción, la correspondiente liberación de partes blandas en del lado cóncavo de la deformidad (8).

Mann et al., (11) trataron, mediante recortes óseos intraarticulares y liberando partes blandas, a 11 pacientes con deformidad femoral y una desalineación de 14° en el plano coronal y 12° en el plano sagital, obteniendo buenos resultados a los 2 años de seguimiento. Wang et al., (9) publicaron siete pacientes con deformidades tibiales y una desalineación de 20° en varo, tratados mediante una extensa liberación medial de partes blandas y resecando mayor cantidad del platillo tibial externo. En todos los casos utilizaron prótesis de estabilización posterior. El enfoque de realizar la corrección del eje mediante recortes óseos intraarticulares inusuales y la liberación de partes blandas presenta algunas ventajas, ya que requiere de un solo acto quirúrgico, una sola internación, permite una rápida rehabilitación y evita las posibles complicaciones de una osteotomía complementaria o de las plicaturas ligamentarias (5). En nuestra opinión, el retensado ligamentario no es una buena opción para lograr la estabilidad luego de ninguna ATR, y mucho menos en estos casos.

Algunos autores consideran que cuando la deformidad supera los 10° en el plano coronal, femoral o tibial, debe tenerse especial consideración por la compleja inestabilidad resultante (4)(17)(19-22). Si bien no existe consenso, la mayoría de las publicaciones señalan, y estamos de acuerdo, que el método de cortes óseos inusuales puede emplearse en pacientes con desalineaciones femorales en el plano coronal o sagital de hasta 20°. Con respecto a la tibia, las deformidades de hasta 30° en el plano coronal también pueden ser tratadas de la misma manera (1)(4)(9). Hay que recordar que cuanto más cercana a la rodilla es la deformidad, mas impacto tiene esta por su efecto sobre los recortes óseos intraarticulares (5). Cuando la deformidad supera estos límites, los cortes óseos pueden afectar las inserciones de los ligamentos colaterales y generar cajones de extensión demasiado asimétricos y no compensables liberando las partes blandas. En estos casos debe evaluarse la necesidad de una osteotomía extraarticular para corregir la desviación (1)(13)(19)(22-25) e incluso utilizar una prótesis constreñida o abisagrada.

Si se decide realizar la osteotomía extraarticular y la ATR en un solo tiempo quirúrgico, la osteotomía debe realizarse en primer lugar, planificando cuidadosamente el abordaje, y si es posible, usando el mismo que para la ATR. La osteotomía puede estabilizarse por medio de clavos endomedulares acerrojados (1)(19), placas con tornillos (19), sistemas de absorbe tracción (13) o con los mismos vástagos protésicos (8)(12)(19), siendo este último el de nuestra preferencia (24). Es importante, en estos casos, disponer de prótesis modulares que permitan elegir el vástago que mejor llene el canal medular para optimizar la estabilidad postoperatoria de la osteotomía.

Cuando realizamos una ATR en un paciente con una deformidad tibial extraarticular, el objetivo del corte tibial es conseguir el mayor paralelismo posible entre las interlineas articulares de la rodilla y el tobillo. Si la desalineación tibial es cercana al tobillo, es recomendable corregirla antes de implantar la artroplastía de rodilla ya que, si este cuadro es grave, puede ser mal tolerado (5). Es por lo tanto incorrecta la sugerencia de utilizar, en pacientes con deformidad tibial, el eje mecánico de la tibia como referencia para los cortes, ya que esto no corrige la oblicuidad entre las interlineas articulares luego de la ATR (5)(26).

Una discusión aparte son los pacientes con expectativa de vida limitada, baja demanda funcional, alteraciones de la calidad ósea por uso de corticoides, artritis reumatoide u otras patologías. En ellos mejor opción es implantar prótesis constreñidas o megaprótesis, para disminuir la posibilidad de complicaciones asociadas a la osteotomía y los ligamentos.

Realizar una ATR en pacientes con gonartrosis asociada a una deformidad extra articular mayor de 10° es una situación poco frecuente que debe evaluarse con detenimiento, entendiendo que cada paciente presenta sus propias características y desafíos, por lo que necesitará un enfoque especifico por parte del cirujano. Es fundamental una cuidadosa planificación prequirúrgica para evitar las múltiples complicaciones posibles de estos casos y así optimizar la evolución de la prótesis, inclusive en el corto plazo. Consideramos dos formas para corregir la deformidad del miembro. En deformidades coronales femorales hasta 20° y tibiales hasta 30°, suele ser suficiente con los cortes óseos intraarticulares (inusuales) que no afecten las inserciones ligamentarias, asociados a una adecuada liberación de partes blandas. En caso contrario, recomendamos realizar una osteotomía correctora, si es posible en un tiempo, estabilizándola con los mismos vástagos de la prótesis.

Conflicto de intereses

Los autores no han obtenido ningún beneficio de ningún tipo por la realización de este trabajo


Referencias

  1. Incavo SJ, Kapadian C, Torney R. Use of an intramedullary nail for correction of femoral deformities combinated with total knee arthroplasty. J Arthroplasty. 2007; 22:133-5.
  2. Jeffery RS, Morris RW, Denham RA. Coronal alignment after total knee replacement. J Bone Joint Surg (Br). 1991; 73-B:709-14.
  3. Mullaji A, Shetty GM. Computer-Assisted Total Knee Arthroplasty for arthritis with extra-articular deformity. J Arthroplasty. 2009; 24:1164-9.
  4. Papagelopoulos PJ,Karachalios T, Themistocleous GS, Papadopoulos ECh, Savvidou OD, Rand JA. Total knee arthroplasty in patients with pre-existing fracture deformity. Orthopedics. 2007; 30:373-8.
  5. Wolff AM, Hungerford DS, Pepe CL. The effect of extraarticular varus and valgus deformity on total knee arthroplasty. Clin Orthop Rel Res. 1991; 271:35-51.
  6. Kowalczewski J, Marczak D, Synder M, Sibinski M. Primary rotating-hinge total knee arthroplasty: good outcomes at mid-term follow-up. J Arthroplaty. 2014; 29:1202-6.
  7. Petrou G, Petrou H, Tilkeridis C, Stavrakis T, Kapetsis, Kremmidas N, Gavras M. Medium-term results with a primary cemented rotating-hinge total knee replacement. A 7 to 15 year follow-up. J Bone Joint Surg. 2004; 86-B:813-7.
  8. Kao FC, Hsu KY, Tu YK. Surgical planning and difficult total knee arthroplasty. Orthopedics. 2009; 32:810.
  9. Wang JW, Wang CJ. Total knee arthroplasty for arthritis of the knee with extra-articular deformity. J Bone Joint Surg (Am). 2002; 84-A:1769-74.
  10. Gehrke T, Kendoff D, Haasper C. The role of hinges in primary total knee replacement. J Bone Joint Surg (Br) 2014; 96-B:93-5.
  11. Mann JW, Insall JN, Scuderi GR. Total knee arthroplasty in patients with associated extra-articular angular deformity. Orthop Trans. 1997; 21:59.
  12. Moyand TF, Estok D. Simultaneus femoral and tibial osteotomies during total knee arthroplasty for severe extra-articular deformity. Knee 2009; 22:21-6.
  13. Radke S, Radke J. total knee arthroplasty in combination with a one-stage tibial osteotomy. J Arthroplasty. 2002; 17:533-7.
  14. Windsor RE, Insall JN, Vince KG. Technical considerations of total knee arthroplasty after proximal tibial osteotomy. J Bone Joint Surg (Am). 1988; 70-A:547-55.
  15. Maynard LM, Sauber TJ, Kostopulos VK, Lavinge GS, Sewecke JJ, Sotereanos NG. Survival of primary condilar-contrained total knee arthroplasty at mínimum of 7 years. J Arthroplasty. 2014; 29:1197-201.
  16. Krackow KA, Holtgrewe JL. Experience with a new technique for managing severely overcorrected valgus high tibial osteotomy at total knee arthroplasty. Clin Orthop Rel Res. 1990; 258:213-24.
  17. Papadoupolos EC, Parvizi J, Lai CH. Total knee arthroplasty following prior distal femoral fracture. Knee. 2002; 9:267-74.
  18. Cottino U, Abdel M, Perry M, Mara K. Long-Term Results After Total Knee Arthroplasty with Contemporary Rotating-Hinge Prostheses. J Bone Joint Surg (Am). 2017; 99-A:324-30.
  19. Lonner JH, Siliski JM, Lotke PA. Simultaneous femoral osteotomy and total knee arthroplasty for osteoarthritis associated with severe extra-articula deformity. J Bone Joint Surg (Am). 2000; 82-A:342-8.
  20. Rand JA, Franco MG. Revision considerations for fractures about the knee. In: Goldberg VM, ed. Controversies of total knee arthroplasty. New York, NY: Raven Press Ltd; 1991; 235-47.
  21. Ritter MA, Faris GW. Total knee replacement following extra-articular deformities. Orthopedics. 2003; 26:969-70.
  22. Roffi RP, Merrit PO. Total knee replacement after fracture about the knee. Orthop Rev. 1989; 19:614-20.
  23. Cameron HU, Welsh RP. Potential complications of total knee replacement following tibial osteotomy. Orthop Rev. 1988; 17:39-43.
  24. Vedoya SP, Garabano G, del Sel H. Artroplastía total de rodilla en gonartrosis con pseudoartrosis de tibia homolateral. Rev Asoc Argent Ortop Traumatología. 2010; 75:381-4.
  25. Oswald MH, Jakob RP, Schneider E, Hoogewoud HM. Radiological analysis of normal axial alignment of femur and tibia in view of total knee arthroplasty. J Arthroplasty. 1993; 8:419-26.
  26. Yang JH, Yoon JR, Oh CH, Kim TS. Primary total knee arthroplasty using rotating-hinge prosthesis in severely affected knees. Knee Surg Sports Traumatol Arthrosc. 2012; 20: 517-23.




Copyright © 2023. Federación de Sociedades y Asociaciones Latinoamericanas de Ortopedia y Traumatología