SLAOT

Asistencia ecográfica para la reparación del tendón de Aquiles con técnica percutánea

Ultrasound assistance for Achilles tendon repair with percutaneous technique

Assistência ultrassonográfica para reparo do tendão de Aquiles com técnica percutânea.

Castorina, Damián

Vergara, Matías

Bugallo, Federico

Chiarella, Claudio

Isobe, Federico

 

Juan A Fernández Hospital, Buenos Aires, Argentina.

 

Correspondencia

Mail: federicominoruisobe@gmail.com

Contact: +54 011 1540300680

 

 

Resumen

Introducción: El tendón de Aquiles es la estructura más lesionada del miembro inferior. La principal complicación asociada a las técnicas mínimamente invasivas o percutáneas es la lesión del nervio sural, ya sea por punción o atrapamiento. El objetivo del estudio es describir una técnica quirúrgica guiada por ecografía para evitar lesión del nervio sural y los resultados en pacientes tratados con esta técnica.

Material y Métodos: Las reparaciones percutáneas del tendón de Aquiles se identificaron mediante una técnica mínimamente invasiva con asistencia ecográfica. La lesión del nervio sural se interpretó como hipoestesia, anestesia o dolor en la región externa del pie. Se realizaron nueve reparaciones percutáneas del tendón de Aquiles durante 2022 mediante técnica guiada por ecografía.

Resultados: Se logró identificar el Nervio Sural y la vena Safena Menor para evitar lesión iatrogénica. No se registraron lesiones del nervio sural.

Conclusión: El estudio demuestra el potencial del ultrasonido para prevenir lesión del nervio sural durante reparaciones percutáneas del tendón de Aquiles, visualizando directamente el nervio sural y su vena satélite, y utilizando agujas de referencia para la identificación de un “corredor Seguro” al realizar los puntos, con una técnica sencilla y reproducible.

 

Nivel de evidencia IV (Centro de Oxford para Medicina Basada en la Evidencia)

Palabras clave: tendón de Aquiles, cirugía percutánea, nervio sural, vena safena menor.

 

 

Resumo

Introdução: O tendão de Aquiles é a estrutura lesada mais comum do membro inferior. A principal complicação associada às técnicas minimamente invasivas ou percutâneas é a lesão do nervo sural, seja por punção ou aprisionamento. O objetivo do presente estudo é descrever uma técnica cirúrgica guiada por ultrassom para evitar lesão do nervo sural e os resultados em pacientes tratados com esta técnica.

Materiais e Métodos: Os reparos percutâneos do tendão de Aquiles foram identificados por meio de técnica minimamente invasiva com auxílio de ultrassom. A lesão do nervo sural foi interpretada como hipoestesia, anestesia ou dor na região externa do pé. Nove reparos percutâneos do tendão de Aquiles foram realizados durante 2022 usando técnica guiada por ultrassom.

Resultados: Foi possível identificar o Nervo Sural e a Veia Safena Menor para evitar lesão iatrogênica. Nenhuma lesão do nervo sural foi registrada.

Conclusão: O estudo demonstra o potencial do ultrassom na prevenção de lesão do nervo sural durante reparos percutâneos do tendão de Aquiles, visualizando diretamente o nervo sural e sua veia satélite, e utilizando agulhas de referência para identificação de um corredor seguro na realização dos pontos, com uma técnica simples e reprodutível.

 

Nível de evidência IV (Oxford Center for Evidence-Base Medicine)

Palavras-chave: Tendão de Aquiles, cirurgia percutânea, nervo sural, veia safena parva.

 

 

Abstract

Introduction: The Achilles tendon is the most common injured structure to the lower limb. The main complication associated with minimally invasive or percutaneous techniques is injury to the sural nerve, either by puncture or entrapment. The aim of the following study is to describe an ultrasound-guided surgical technique to avoid injury to the sural nerve and the results in patients treated with this technique.

Materials and Methods: Percutaneous Achilles tendon repairs were identified using a minimally invasive technique with ultrasound assistance. The injury to the sural nerve was interpreted as hypoesthesia, anesthesia, or pain in the outer region of the foot. Nine percutaneous Achilles tendon repairs were performed during 2022 using ultrasound-guided technique.

Results: It was possible to identify the Sural Nerve and the Lesser Saphenous Vein to avoid iatrogenic injury. No lesions of the sural nerve were recorded.

Conclusion: The study demonstrates the potential of ultrasound to prevent injury to the sural nerve during percutaneous repairs of the Achilles tendon, directly visualizing the sural nerve and its satellite vein, and using reference needles for the identification of a safe corridor when performing stitches, with a simple and reproducible technique.

 

Level of evidence IV (Oxford Centre for Evidence-Base Medicine)

Key words: Achilles tendon, percutaneous surgery, sural nerve, lesser saphenous vein.

 

 

Introducción

El tendón de Aquiles es el tendón más fuerte del cuerpo humano, su vascularización procede de la arteria peronea y de las ramas de la arteria tibial posterior, generando un área de menos flujo en el tercio medio del tendón, una zona propensa a lesiones. Esta inervado por el nervio sural que discurre lateral al mismo, presentando una gran variabilidad anatómica. Sin embargo, a pesar de ser el tendón más fuerte, también es el tendón que más frecuentemente se lesiona en el miembro inferior [1]. Las lesiones suelen ser invalidantes y de no ser tratadas de manera adecuada pueden provocar dolor crónico, edema, debilidad a la flexión plantar de tobillo y alteraciones en el rendimiento deportivo [2].

El tratamiento de la ruptura de este tendón es aún un tema de controversias [3], puede ser conservador o quirúrgico, ya que en la bibliografía se reportan resultados similares, difiriendo en las complicaciones asociadas a cada técnica [4]. La principal complicación asociada a técnicas mini-invasivas o percutáneas es la lesión del nervio sural, ya sea por punción o por atrapamiento [5]. Hockenbury y Johns [6] describen tres lesiones del nervio sural en 5 piezas cadavéricas utilizando técnicas percutáneas. Nosotros [7] comprobamos la utilidad de la asistencia ecográfica para la identificación del nervio sural en un estudio cadavérico, sin necesidad de asistencia de un especialista en imágenes durante el procedimiento. El objetivo del siguiente trabajo es describir una técnica quirúrgica ecoguiada novedosa para evitar la lesión del nervio sural y los resultados en pacientes tratados con dicha técnica.

 

Material y metodología

Se identificaron las reparaciones percutáneas del tendón de Aquiles mediante técnica miniinvasiva con asistencia ecográfica durante el año 2022 en nuestra institución. Se incluyeron pacientes mayores de 18 años, con rupturas con menos de 10 días de evolución, con un diagnóstico clínico y ecográfico positivo y lesiones entre los 2 y 8 cm de la inserción proximal del tendón. Excluimos las re-rupturas, rupturas Incompletas, y lesiones crónicas.

La edad promedio fue de 37 (25-50) años. Siete pacientes fueron masculinos, 6 lesiones fueron del lado derecho y 8 de las lesiones se dieron en contexto deportivo (fútbol), mientras que una lesión se dio en contexto de esfuerzo físico no relacionado al deporte. El tiempo de seguimiento promedio fue de 11 (7-14) meses.

Anotamos la edad, sexo, lado y el contexto en el cual se produjo la lesión y el tiempo de seguimiento. Se evaluó el tiempo de cirugía y a los 6 meses realizamos la evaluación funcional de los pacientes mediante el baremo de la American Orthopaedic Foot and Ankle Society (AOFAS) a los 6 meses.

La lesión del nervio sural fue interpretada como hipoestesia, anestesia o dolor en la región externa del pie.

Técnica Quirúrgica

Colocamos al paciente en decúbito ventral, sin manguito hemostático. Se utilizo un ecógrafo “Sonosite M-Turbo” con transductor de 15-6 MHz HFL 50x. Se aisló el ecógrafo con una funda estéril similar a la utilizada en artroscopias, evitando la contaminación con el transductor y el cable (Figura 1).

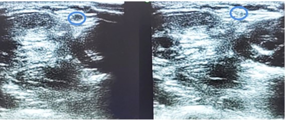
Se identifico el intervalo de la lesión en el tendón de Aquiles (Figura 2) y la trayectoria del nervio sural y su vena satélite (safena menor) mediante ecografía. Para identificar la vena fue de utilidad realizar compresión sobre los tejidos blandos y ver su colapso (Figura 3) (Figura 4).

Figura 1. Posicionamiento del paciente y aislamiento del ecógrafo.

 

Figura 2. Ecografía: visión longitudinal del tendón de Aquiles. Se visualiza solución de continuidad.

Figura 3. Ecografía corte transversal al tendón: En la imagen de la izquierda se observa la vena safena menor (azul), en la imagen derecha se visualiza la misma al realizar compresión con el transductor.

Figura 4. Ecografía corte transversal al tendón: En azul se visualiza la vena safena menor sin compresión (izquierda) y con compresión derecha (en amarillo se identifica el nervio sural.

 

El primer gesto quirúrgico para evitar la lesión del nervio sural, contempló el paso de dos agujas 21 G 50.8 proximales y otras dos distales a la lesión de lateral a medial bajo guía ecográfica. Previo a la inserción de las mismas, se realizó anestesia local con Lidocaína 1% en las zonas de inserción mencionadas, tanto laterales como mediales al tendón (Figura 5).

Las agujas se introdujeron inmediatamente adyacentes al nervio sural y su vena satélite por su lado medial. Se progresó con la introducción de las agujas a través de las fibras del tendón de Aquiles (Figura 6).

La localización especifica de las agujas adyacentes al N. sural y a la vena safena menor sirvieron como referencias para realizar la sutura y permitió definir un corredor de seguridad anatómico para realizar la sutura percutánea. De esta manera todo punto de incisión o de inserción de sutura posteriores a las agujas de referencia eran lugares de riesgo para producir una lesión del nervio o de la vena.

Figura 5. Disposición de los reparos para evitar la lesión del nervio sural y generar un corredor seguro.

Figura 6. Ecografía corte transversal al tendón: En azul se identifica la vena safena menor. La línea punteada roja representa la posición del reparo (aguja 50.8 en contacto con el tendón de Aquiles).

A su vez la introducción de la sutura fue controlada bajo ecografía para que el hilo quedase en el espesor de tendón.

Una vez colocadas las aguas de referencia se realizaron cuatro incisiones de 0,5 cm para pasar los hilos de sutura Ti-cron5. Estas incisiones se realizaron de forma longitudinal al miembro e inmediatamente por detrás de las agujas de referencia (Figura 7).

 

Figura 7. Ecografía, corte transversal al tendón: en azul se identifica la vena safena menor y en naranja el nervio sural. La línea punteada roja, representa la incisión en piel. La fecha continua verde representa el trayecto de la aguja de referencia posterior al nervio y a la vena. La línea curva amarilla indica el trayecto de la aguja de sutura, pasando por la incisión y siempre más superficial a la aguja de referencia. TA: Tendón de Aquiles.

 

 

 

Se pasó, a continuación, la sutura de distal a proximal mediante técnica tipo Bunnel, pasando la aguja de sutura posteriores a la aguja de referencia para evitar la lesión del nervio y la vena (Figura 8).

 

Figura 8. Técnica de sutura utilizada para la reparación percutánea.

Se retiraron las agujas de referencia y se realizó el nudo de sutura con el pie en flexión plantar de 20° desde el lado medial de la incisión más proximal.

Finalmente se cerraron las heridas con puntos separados de nylon y se inmovilizó con una valva de yeso suropédica, en flexión plantar.

Se utilizo el protocolo de rehabilitación de Maffulli et al., [8].

Resultados

El tiempo promedio empleado para el procedimiento fue de 36,1 minutos.

El score AOFAS a los 6 meses promedio fue de 89,1(77-90).

No se registraron lesiones del nervio sural.

 

Discusión

La principal complicación de las técnicas percutáneas o mini invasivas durante la reparación del tendón de Aquiles, es la lesión del nervio sural [9]. Estas lesiones pueden variar desde alteraciones sensitivas, dolor crónico invalidante o anestesia de la región inervada por el mismo. Aun así, siguen presentando como ventaja que evitan las complicaciones de piel y partes blandas de las técnicas abiertas, y el mayor riesgo de re-ruptura con el tratamiento conservador [10].

En la bibliografía se describen gestos clínicos y quirúrgicos para evitar la lesión del nervio sural. Por un lado, Majewski et al. [11] realizan la sutura del tendón de Aquiles con abordajes de 1,5cm para evidenciar el nervio y protegerlo. Flavin et al. [12] describen un gesto clínico para el mapeo del nervio sural, palpan el nervio en todo su recorrido, con la rodilla a 90°, el tobillo en dorsiflexión y el pie supinado, logrando una buena relación clínica – ecográfica. Majewski et al. [11] realizan abordajes importantes en relación a los realizados en nuestro trabajo y Flavin et al. [12] describen su gesto clínico para evitar lesionar el nervio sural en sujetos sanos, sin experiencias en lesiones del tendón y difícil de reproducir.

Escasos trabajos en la bibliografía describen el uso de la ecografía intraoperatoria para evitar la lesión del nervio sural. Zapia et al. [13] estudiaron la relación del nervio sural con los puntos de sutura mediante guía ecográfica en cadáveres a los cuales se le realizaron técnicas percutáneas. La distancia entre las mismas y el tendón de Aquiles fue en promedio de 2,1 mm, distancia que pone de manifiesto el alto riesgo de lesionar el nervio sural. Sugieren la ecografía como un recurso óptimo para evitar lesionar el nervio.

Yongliang et al., [14] utilizaron la ecografía intraoperatoria en 36 pacientes para la reparación del tendón de Aquiles, sin complicaciones, destacando la necesidad de contar con un especialista ecografista en quirófano. Paczesny et al., [15] publicaron un estudio comparativo de pacientes tratados mediante técnica miniinvasiva sin guía ecográfica y con guía ecográfica. En el grupo tratado mediante guía ecográfica no se produjeron lesiones del nervio sural, mientras que el segundo grupo encontraron 3 lesiones. No aclara si requirió de asistencia de un especialista en imágenes durante el procedimiento y, a diferencia de nuestro estudio, realizaron un abordaje de 2 cm sobre la lesión, pudiendo comprometer el propio hematoma provocado por la cirugía y así perder las ventajas de las técnicas miniinvasivas.

Nuestro estudio demuestra el potencial de la ecografía para evitar la lesión del nervio sural durante las reparaciones percutáneas del tendón de Aquiles, visualizando de forma directa al nervio sural y su vena satélite y utilizando agujas de referencia para la identificación de un “corredor anatómico de seguridad” al realizar los puntos de sutura, con una técnica simple y reproducible, sin la necesidad de personal especializado en imágenes. Si bien es un estudio prospectivo y la muestra de paciente es pequeña, creemos que esta técnica reduce considerablemente los riesgos de lesión de estructuras nobles y consecuentemente de sus complicaciones.

 

 


Bibliografía

  • Doral MN, Alam M, Bozkurt M, Turhan E, Atay OA, Dönmez G, et al. Functional anatomy of the Achilles tendon. Knee Surg Sports Traumatol Arthrosc. 2010; 18:638-43.
  • Freedman BR, Gordon JA, Soslowsky LJ. The Achilles tendon: fundamental properties and mechanisms governing healing. Muscles Ligaments Tendons J. 2014; 4:245-55.
  • Myhrvold SB, Brouwer EF, Andresen TKM, Rydevik K, Amundsen M, Grün W, et al. Nonoperative or surgical treatment of acute Achilles' tendon rupture. N Engl J Med. 2022; 386:1409-20.
  • Maffulli N. In Adults with Acute Achilles Tendon Rupture, Nonoperative treatment, open repair, and minimally invasive surgery did not differ for health status at 12 months. J Bone Joint Surg (Am). 2022; 104-A:2035.
  • David AE, Gamba CE, Reyes C, Feijo DF, Borrero JP, Gil GA. Sural nerve injury in the achilles tendon repair with Dresden Instruments: Anatomical study. Foot & Ankle Orthop. 2022; 7:2473011421S0017.
  • Hockenbury RT, Johns JC. A biomechanical in vitro comparison of open versus percutaneous repair of tendon Achilles. Foot Ankle. 1990; 11:67-72.
  • Castorina D, Urlacher M, Fernández S, Villalba S, Vargas J, Mazzoni A, et al. Ecografía para prevenir lesiones del nervio sural en la reparación del tendón de Aquiles. Estudio cadavérico. Rev Asoc Arg Ort y Traumatol. 2022; 87:404-12.
  • Maffulli N, Gougoulias N, Maffulli GD, Oliva F, Migliorini F. Slowed-down rehabilitation following percutaneous repair of Achilles tendon rupture. Foot Ankle Int. 2022; 43:244-52.
  • Ma GW, Griffith TG. Percutaneous repair of acute closed ruptured Achilles tendon: a new technique. Clin Orthop Relat Res. 1977; 128:247-55.
  • Lim J, Dalal R, Waseem M. Percutaneous vs. open repair of the ruptured Achilles tendon. A prospective randomized controlled study. Foot Ankle Int. 2001; 22:559-68.
  • Majewski M, Rohrbach M, Czaja S, Ochsner P. Avoiding sural nerve injuries during percutaneous Achilles tendon repair. Am J Sports Med. 2006; 34:793-8.
  • Flavin R, Gibney RG, O'Rourke SK. A clinical test to avoid sural nerve injuries in percutaneous Achilles tendon repairs. 2007; 38:845-7.
  • Zappia M, Berritto D, Oliva F, Maffulli N. High resolution real time ultrasonography of the sural nerve after percutaneous repair of the Achilles tendon. Foot Ankle Surg. 2018; 24:342-6.
  • Yongliang Y, Honglei J, Wupeng Z, Shihong X, Fu W, Bomin W, et al. Intraoperative ultrasonography assistance for minimally invasive repair of the acute Achilles tendon rupture. J Orthop Surg Res. 2020; 15:258.
  • Paczesny L, Zabrzynski J, Domzalski M, Gagat M, Termanowski M, Szwedowski D, et al. Mini-invasive, ultrasound guided repair of the Achilles tendon rupture. A pilot study. J Clin Med. 2021; 10:2370.



Copyright © 2023. Federación de Sociedades y Asociaciones Latinoamericanas de Ortopedia y Traumatología