SLAOT

Los ligamentos menisco-femorales

The meniscus-femoral ligaments

Ligamentos menisco-femorais

Los ligamentos menisco-femorales

 

Fernando Corbí 1

Francisco Forriol 2

 

1 Hospital de Manises, Valencia, España

2 Laboratorio MOBIOS. Universidad Pontificia de Comillas, ICAI, Madrid

 

 

Correspondencia

Dr. F. Corbí

E-mail: drcorbiaguirre@gmail.com


 

 

Resumen

Introducción: Los ligamentos menisco femorales son estructuras anatómicas poco conocidas que forman parte de la estructura posterior de la rodilla muy relacionada con el cuerno posterior del menisco externo y con el ligamento cruzado posterior.

Se hace una revisión no sistematizada de su estructura, frecuencia, función y función estabilizadora en las lesiones de rodilla.

Conclusión: los ligamentos menisco-femorales son estructuras inconstantes que, sin embargo, constituyen parte del complejo estabilizador posterior de la rodilla que se debe conocer, identificar y, en la medida de los posible, preservar.

 

Palabras clave: rodilla – menisco externo – ligamento cruzado posterior – ligamentos menisco-femorales

 


 

 

Abstract

Introduction: The meniscus femoral ligaments are little known anatomical structures that are part of the posterior structure of the knee joint, closely related to the posterior horn of the lateral meniscus and the posterior cruciate ligament.

A non-systematized review of its structure, frequency, function and stabilizing function in knee injuries is made.

Conclusion: the meniscofemoral ligaments are inconstant structures that, however, constitute part of the posterior stabilizer complex of the knee that must be known, identified, and, to the extent possible, preserved.

 

Key-words: knee – lateral meniscus – posterior cruciate ligament – meniscus-femoral ligaments


 

 

Introducción

El ligamento cruzado posterior (LCP) de la rodilla discurre por la cápsula posterior, desde el centro de la cara posterior de la extremidad proximal de la tibia hacia medial, muy cerca del menisco interno, y, sin embargo, guarda una estrecha relación con la porción posterior del menisco externo por medio de los ligamentos menisco-femorales (LMF). Las estructuras posteriores de la cápsula articular previenen la extrusión meniscal y evitan la inmovilidad del menisco cuando se aplican solicitaciones a cizallamiento. Los meniscos se deben desplazar en sentido antero-posterior para evitar el bloqueo articular y lo hacen gracias a la flexibilidad de sus cuernos anteriores y posteriores que permiten una transferencia de cargas del fémur a la tibia de forma homogénea, sin romperse, y protegiendo al cartílago articular [1-3] (Figura 1).

Figura 1. Ligamento cruzado posterior visto por delante, con sus dos fascículos: postero-medial (PM) y antero-lateral (AL)

 

You et al.[4] estudiaron la inserción posterior del menisco externo en 105 rodillas con RM y describieron tres tipos diferentes de patrones de inserción, en el 76% de los casos presentaba dos lugares de inserción con la mayor porción insertándose en la zona intertubercular con una extensión anterior en el tubérculo interno y una porción mucho menor terminando en la pendiente posterior del tubérculo tibial externo. El 24% restante, el ligamento de inserción posterior del menisco externo mostró una inserción solidaria bien en el área intertubercular o bien en la pendiente posterior del tubérculo externo.

El cuerno posterior del menisco externo se prolonga con los LMF. En ocasiones son dos, aunque a veces hay uno o pueden faltar. Son fascículos fibrosos que actúan como medio de fijación del cuerno posterior sobre el platillo tibial y el fémur. El cuerno posterior del menisco externo se inserta en la parte media de la fosa interglenoidea posterior, con variaciones [5][6], aunque Zivanovic et al.[7] señalaron que es posible no encontrar esta inserción (Figura 2)

Figura 2. El ligamento menisco femoral posterior y sus variedades

 

Lahlaidi et al., [5][6] distinguen seis grupos de inserciones del cuerno posterior del menisco externo: 1. Ligamentos menisco-femorales póstero-externos, 2. Inserciones menisco tibiales, 3. Inserciones menisco ligamentosas, 4. Ligamentos intermeniscales oblicuos, 5. Ligamentos intermeniscales posteriores y 6. Inserciones menisco-capsulares y menisco tendinosas (Figura 3).

Figura 3. Diferentes tipos de inserción del cuerno posterior del menisco externo, según Lahlaidi [5][6]

 

El cuerno posterior del menisco externo tiene una doble inserción, la porción anterior se inserta en la eminencia intercondílea tibial mientras, en la mayoría de los casos, la porción posterior se inserta en el fémur por medio de los LMF, tirando el cuerno posterior del menisco lateral medialmente y ligeramente hacia delante. Para algunos autores sirve para aumentar la congruencia menisco – tibial y el cóndilo femoral lateral durante el movimiento de flexo-extensión de la rodilla [8-17] (Figura 4).

Figura 4. Cuerno posterior del menisco externo con la raíz de sus dos LMF

 

Por su parte, Han et al., [18] distinguen seis tipos de configuraciones de LMF. Tipo I, cuando están ausentes los LMF, el tipo Ia, no presenta tampoco el fascículo oblicuo del LCP o tipo Ib, que si que se observa dicho fascículo. Los tipos II, son cuando está presente el LMF, el IIa, cuando el LMF posterior (LMFp) se dirige hacia la cara externa del cóndilo interno hacia arriba; IIb, cuando su trayecto es hacia abajo; el tipo IIc cuando las fibras del LMFp se entremezclan con las del LCP y el tipo IId, sería cuando el LMFp se dirige hacia arriba y se aprecia el fascículo oblicuo del LCP. 

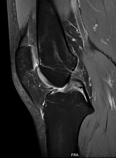
La resonancia magnética permite visualizar los LMFs sin necesidad de disección anatómica. En RM, con cortes en densidad T2, el LCP normal aparece como una estructura uniforme bien definida con una señal de intensidad baja. Cuando está relajado en extensión muestra una curva de convexidad posterior. Una estructura pequeña redonda u oval de baja intensidad se puede apreciar, a menudo, por delante o por detrás del LCP; son los LMF que discurren oblicuamente desde el cuerno posterior del menisco lateral al cóndilo medial [19] (Figura 5) (Figura 6).

Figura 5. A, b, c) RM. Corte sagital rodilla. LMFa

 

El LMFp además de su presencia o ausencia, tiene formas y tamaños muy diferentes, asociado con la interposición de una imagen de una franja de grasa entre el LMFp y el cuerno posterior del menisco lateral [20][21]. El fascículo oblicuo del LCP se confunde, también en disección, con el LMFp [12][22-24]; es más, Hassine et al.[20] describen la fusión de estas dos estructuras. 

Figura 6. RM. Corte sagital. LMFp

 

Los ligamentos menisco- femorales (LMF)

Llamarles “ligamentos” podría ser un término erróneo ya que estas estructuras conectan el menisco con el hueso y por su consistencia pueden ser prolongaciones del cuerno posterior del menisco externo. La primera descripción de los LMF fue realizada por Poirier y Charpy, en 1899; también se han descrito en el menisco interno y en el cuerno anterior del menisco lateral, pero son infrecuentes [25][26].

Los LMF se originan en el cuerno posterior del menisco externo y se insertan en el cóndilo femoral interno por delante (ligamento de Humphrey) y por detrás (ligamento de Wrisberg) del ligamento cruzado posterior (LCP) (Figura 7) (Figura 8). 

Los LMF son estructuras estabilizadoras y protectoras del compartimento menisco- condíleo postero-lateral de la rodilla y un limitador secundario de la traslación tibial hacia posterior [27] que completan los fascículos individuales del LCP con una función secundaria en la estabilidad de la rodilla [13].

El LMFp es visible y está separado del LCP, es pequeño de forma ovoide con señal poco intensa, inmediatamente por detrás del LCP y el anterior aparece como un bulto discreto de baja señal a lo largo de la superficie cóncava del LCP o como una pequeña formación ovoide de baja señal justo por delante del LCP. Cuando son visibles en RM, el LMF anterior (LMFa) y el posterior tienen una inclinación diferente debido al distinto punto de inserción en el cóndilo femoral lateral; la oblicuidad del LMF posterior es más acentuada que el anterior [27]Para Kaplan et al., [28] el LMFa se origina del LMFp, como si fuera su rama anterior; Gupte et al., [13] los consideran estructuras independientes que coexisten en el 50% de las rodillas, con orígenes e inserciones individualizados. Lahlaidi y Vaclavek [5] proponen una explicación embriológica para comprender las variaciones anatómicas observadas, sugiriendo que el sitio del LCP durante el desarrollo embriológico determina la presencia y posición de los LMF. 

Figura 7. A, b) Cuerno posterior menisco externo y LMFp

 

Los dos LMF conectan el cuerno posterior del menisco lateral a la cara interna del cóndilo interno del fémur como estructuras independientes con diferentes inserciones meniscales y femorales [13][14][16][29]. El LMFa pasa por delante del LCP y se inserta distal muy cerca del límite de la superficie del cartílago articular y una porción de sus fibras se entremezclan con las fibras del LCP en su inserción femoral [22]; el LMFp transcurre por detrás del LCP y se inserta más proximal, cerca del techo de la escotadura intercondílea y sus fibras no se mezclan con las fibras del LCP.

 

Figura 8. A, b, c) Cuerno posterior menisco externo. LMFa

 

Las fibras oblicuas del LCP se denominaron LMF posterior falso” ya que algunos trabajos [30] las confunden con un LMF. Estas fibras también se confunden con frecuencia en RM o son consideradas como una variación anatómica del LCP [31] y está presente en el 20% de los casos. En muchos estudios al realizar una visión anterior (artroscópica) o una disección anterior no se ve el LMF posterior o se puede confundir con las fibras oblicuas de inserción del LCP [32][33].

El LMFa tiene una inserción femoral de 35 mm2 y una inserción tibial que se asocia al cuerno posterior del menisco externo [23][34]. La inserción femoral es variable con el 80% de los especímenes uniéndose al fascículo póstero-medial (PM) del LCP y el 20% restante al fascículo antero-lateral (AL) del LCP [34]

El LMFp tiene una superficie de inserción similar, 31 mm2, y se localiza proximal a la cresta intercondílea medial y al fascículo PM [34]. La longitud del LMFa, medido en 62 rodillas, fue de 20,7±3,9 mm y la longitud del LMFp, medido en 58 rodillas, fue de 23,0±4,3 mm. En referencia a la longitud de los dos LMF, uno es siempre mayor cuando coexisten ambos [13][24][26][32][33].

Gupte et al., [11] encontraron, en 28 rodillas de cadáver, que el área, carga a rotura y módulo de tensión del LMFa y LMFp fue de 14,17±14,8 y 20,9±11,6 mm2; 300±155 y 302±158 N y 281±239 y 227±128 MPa, respectivamente. El alto módulo de tensión de los LMF indica que actúan junto con el resto de las estructuras de la rodilla. 

Son múltiples los estudios que hacen referencia a la presencia de los ligamentos menisco-femorales en los estudios de resonancia magnética, con una presencia entre el 78% y el 87% de al menos uno de los ligamentos [2][13][15][20]

Heller y Langman [35] vieron que, por lo menos, uno de los LMF estaba presente en el 71% de las rodillas analizadas, pero otros autores encuentran uno de ellos entre el 93% y el 100% de las disecciones [5][6][13][23-26][35-37]. Los dos LMF están presentes en el 50% de las ocasiones [13][24][26]. El LMFa o ligamento de Humphrey y el LMFp o ligamento de Wrisberg, están presentes en el 75% y en el 60% a 80% de las rodillas [13][23][34][38]. El LMFp se ha encontrado entre un 33% y un 93% y el LMFa entre el 30% y el 100% de las rodillas [11][13][15][22]. El estudio que ha demostrado mayor frecuencia de LMFa (100%) está basado en artroscopias de pacientes jóvenes con rotura del LCA [39]. Uno de los dos LMF, anterior o posterior, se ha identificado entre el 30% y el 94% de los pacientes con RM, aunque como se puede ver las discrepancias son grandes. Watanabe et al.[40] encontraron el LMFa en el 33% y el LMFp en el 33% de sus pacientes en RM, mientras que de Abreu et al.[8] vieron el LMFa en el 55% y el posterior en el 94% de una serie de 49 pacientes. El LMFp se identificó en el 40% de las rodillas [41]Las dimensiones anatómicas de la extremidad proximal de la tibia o distal del fémur no guardan relación ni con la longitud de los ligamentos cruzados, ni tampoco con las dimensiones medidas de los LMF’s. Tampoco en las medidas obtenidas con la RM se han observado correlaciones significativas [32][33].

Corbi y Forriol [32][33] en un estudio anatómico y en RM la presencia del LMFp fue más frecuente. En las piezas anatómicas se encontró el LMFp en el 72,41% y en RM, en el 55,68%. Por su parte, el LMFa se vio en el 20,68% de las piezas anatómicas y en el 30% de las RM. Ambos conjuntamente se demostraron en las piezas anatómicas en el 13,8% y en la RM en el 22,5%.

Para explicar esta variabilidad se han establecido diferentes teorías. 

La teoría degenerativa sostiene que los LMFa y LMFp se encuentran más frecuentemente en pacientes jóvenes lo cual puede indicar que son estructuras que sufren lesiones durante la vida que las desinserta del cóndilo femoral y lleva a la degeneración y atrofia [11][13]Esto tiene una explicación embriológica pues en el 100% de los fetos se han encontrado presentes los LMF [5][10][24]. Han et al., [18] vieron que el LMFp está ausente con más frecuencia en hombres que en mujeres y sospechan que se debe a la diferente actividad de unos y otros, influida también por la edad [10]. Corbi y Forriol [32][33] demuestran que los LMFs se mantienen constantes en todos los grupos y son similares en ambos sexos. Por la distribución poblacional, incluso en los grupos de más edad se observa un mayor porcentaje de LMF.

Se han señalado diferencias raciales [11]Gupte et al., [12sospecharon que había grandes diferencias en la frecuencia de los LMF, entre occidentales y asiáticos y que los LMFs son más frecuentes en países occidentales que en los países asiáticos [10][11][21][24][26][31][35-37] (Tabla 1). En especímenes anatómicos occidentales se ha visto que todas las piezas tienen al menos un LMF [26][36][37], mientras que en los especímenes asiáticos se han encontrado pocos LMFa (0-3,8%). En general, el LMFp es más frecuente en asiáticos que en occidentales, aunque debido a falta de estudios amplios, es difícil determinar las diferencias [18]

 

Tabla 1

Frecuencia del LMFa y LMFp en diferentes estudios. Resultados expresado en porcentajes

 

Autor

Población

Si uno

LMFa (solo)

LMFp (solo)

Ambos

Ninguno

Han [90]

Corea

87

1

87

87

13

 

Cho [29]

Corea

89,3

0

89,3

 

10,7

 

Nagasaki [162]

Japón

-

3,8

86,3

-

-

 

Brantingan [22]

EEUU

100

34

60

66

0

 

Heller -Langman [98]

Canadá

71

30

35,7

5,7

35

 

Kusayama [125]

EEUU

100

23

31

46

0

 

Yamamoto [260]

Alemania

100

27

24

49

0

 

Poynton [186]

Irlanda

-

83,3

90,5

64,3

-

 

Gupte [82-88]

Gran Bretaña

93

24

19

69

50

 














 

La población coreana y japonesa parece mostrar la tendencia contraria a la población occidental [18]; estas diferencias pueden ser consecuencia de la falta de identificación del fascículo oblicuo del LCP, la conservación de las piezas, en el caso de cadáveres, o de la técnica artroscópica o por el hecho de sentarse en cuclillas [10][21][23]. Además, la exactitud es mayor cuando se estudian rodillas de cadáver que cuando se hace sobre RM o artroscopia [18][32][33]Cho et al., [31] reflejan una incidencia del LMFa del 0% en cadáveres y del 17% en RM; Nagasaki et al., [21] dicen que la incidencia del LMFa es diferente en la artroscopia (36,8%) que al examen por disección (16,7%). Hassine et al.[95] examinaron las rodillas por RM después de la disección y obtuvo diferentes resultados. A pesar de todo, la RM es un método adecuado para visualizar los LMF, es sencilla, pero también fácil de sobrevalorar [18] (Tabla 2)

 

Tabla 2

Incidencia de LMFa y LMFp en población coreana [29]

 

LMFa

LMFp

 

Si

No

Si

No

Hombres (n=54)

1 (1,9%)

5/3 (98,1%)

4/3 (79,6%)

1/1 (20,4%)

Mujeres (n=46)

0 (0%)

4/6 (100%)

4/4 (95,7%)

2 (4,3%)

Total (n=100)

1 (1%)

9/9 (99%)

8/7 (87%)

13 /(13%)

 

Además, el LMFp se ha encontrado en animales cuadrúpedos cosa que no ocurre con el LMFa que no se ha visto nunca en cuadrúpedos [13][42]. Le-Minor [17] señala la hipótesis de que mientras el LMFp está presente en todos los animales, como la oveja, perro y caballo, y está ausente, en ocasiones, en el hombre. Por ello, señala que el LMFp en el hombre es una estructura recesiva y vestigial mientras que el LMFa es progresiva. En los LMF, en perros, se encontraron terminaciones de mecanorrecptores [43] que sugieren una función en la propiocepción y requiere un estudio en el hombre.

 

Función de los LMF

La función de los LMFs es importante en la transmisión de solicitaciones del compartimento tibio-femoral externo [10-14][42][44][45]. La inserción tangencial de los LMFs en el cuerno posterior del menisco aumenta las solicitaciones de cizallamiento que se transmiten al menisco externo [44][46] y previenen la extrusión del menisco bajo solicitaciones axiales en el caso de roturas del cuerno posterior del menisco externo [47-51]

Los LMF trabajan de una manera recíproca durante la flexión y la extensión: el LMFa desarrolla tensión durante la flexión y el LMFp lo hace durante la extensió[16]. El LMFp es grueso con la rodilla extendida y adelgaza con la rodilla en flexión, mientras que el LMFa es delgado con la rodilla en extensión y engrosa con la rodilla en flexión [23].

El cajón posterior es menor en las roturas del LCP con el LMFp intacto [37][52]; por eso se ha sugerido que los LMFs son limitadores secundarios de la traslación posterior de la tibia [85]. También se ha sugerido que controlan el movimiento del cuerno posterior del menisco lateral durante la flexión de la rodilla [53] y actúan como una férula ante una rotura aislada del LCP; de hecho, los LMF permanecen intactos en las roturas del LCP, debido a su inserción distal con un menisco móvil que se sale del platillo tibial en el momento de la lesión. Amadi et al.[44] observaron que una rodilla con unos LMF deficientes aumentan en un 10% las tensiones de contacto con el cartílago durante la compresión axial con la rodilla en extensión completa.

Los LMFs contribuyen al 30% de la resistencia del cajón posterior y puede alcanzar el 70% cuando hay una rotura del LCP. En estas condiciones los LMF ayudan a estabilizar la rodilla con un LCP deficiente y pueden ser útiles cuando se efectúa un tratamiento conservador [10][12][16][22] y ayudan en la estabilización y reparación de rodillas que precisan cirugía del LCP [52]Lee et al., [54] y De Abreu et al., [9] no encontraron ninguna relación entre la presencia de LMF con la rotura del cuerno posterior del menisco externo.

Se han descrito tres diferentes sistemas para clasificar las lesiones de la inserción del cuerno posterior del menisco externo [46][47][55][56]West y Amin [56] y Ahn et al., [47] se basaron en observaciones artroscópicas mientras que Forkel y Petersen [57] describieron un sistema que tiene en cuenta la integridad de los LMF. El tipo 1, sería la avulsión del cuerno posterior con LMF integros; tipo 2, rotura radial con LMF intactos y tipo 3, avulsión del cuerno posterior o rotura radial con rotura o ausencia de los LMFs. 

Las lesiones de la inserción del cuerno posterior del menisco externo se asocian con las roturas del LCA [58]De Smet et al., [59] en 559 rodillas correlacionaron la RM con la artroscopia, la lesión del cuerno posterior del menisco externo la encontraron en el 8% de los pacientes con rotura del LCA, pero solo en el 0,8% de los pacientes con un LCA normal. TambiéBrody et al.[49] vieron, con RM, que las lesiones del cuerno posterior del menisco externo, en pacientes con rotura del LCA, eran mayores que las roturas del menisco interno. En 264 pacientes con una rotura de LCA, la lesión del cuerno posterior del menisco externo estaba presente en el 10%, mientras que la del menisco interno se encontró únicamente en el 3%. Otros autores han encontrado estas lesiones en un porcentaje que varía entre el 7% y el 12% de los pacientes a los que les fueron reconstruidos el LCA [46][47][53][56].

Otro aspecto a tener en cuenta es que la firme unión de los MFL al menisco externo aumenta el riesgo de dañar el LCP al extirpar o reparar el cuerno posterior. Si se extrae el cuerno posterior sin despegar el LMF, las fibras poplíteas y la cápsula, también puede dañar el compartimento posterior de la rodilla. Esta advertencia rara vez se ha mencionado en las técnicas artroscópicas y abiertas de meniscectomía lateral. 

Los ligamentos menisco-femorales son estructuras inconstantes que, sin embargo, constituyen parte del complejo estabilizador posterior de la rodilla que se debe conocer, identificar y, en la medida de los posible, preservar.

 

Bibliografía

1. Cho JMSuh JSNa JBCho JHKim YYoo WK, et al. Variations in meniscofemoral ligaments at anatomical study and MR imaging. Skeletal Radiol. 1999; 28:189-95.

2. Choi CJ, Choi YJ, Lee JJ, Choi CH. Magnetic resonance imaging evidence of meniscal extrusion in medial meniscus posterior root tear. Arthroscopy. 2010; 26:1602-6.

3. Seedhom BB. Loadbearing function of the menisci. Physiotherapy. 1976; 62:223.

4. You MWPark JSPark SYJin WRyu KN. Posterior root of lateral meniscus: the detailed anatomic description on 3T MRI. Acta Radiol. 2014; 55:359-65. 

5. Lahlaidi A, Vaclavek J. [The posterior menisco-femoral ligaments and their significance in organogenesis]. Bull Assoc Anat (Nancy). 1975; 59:177-83.

6. Lahlaïdi A. [Morphological value of posterior insertion of the external meniscus in the human knee]. Rev Chir Orthop Reparatrice Appar Mot. 1971; 57:593-600.

7. Zivanovic S. Menisco-meniscal ligaments of the human knee joint. Anat Anz. 1974; 135:35-42.

8. de Abreu MR, Chung CB, Trudell D, Resnick D. Meniscofemoral ligaments: patterns of tears and pseudotears of the menisci using cadaveric and clinical material. Skeletal Radiol. 2007; 36:729-35.

9. de Abreu MR, Kim HJ, Chung CB, Jesus JM, Cho J, Trudell D, et al. Posterior cruciate ligament recess and normal posterior capsular insertional anatomy: MR imaging of cadaveric knees. Radiology. 2005; 236:968-73.

10. Gupte CM, Bull AM, Thomas RD, Amis AA. A review of the function and biomechanics of the meniscofemoral ligaments. Arthroscopy. 2003; 19:161-71.

11. Gupte CM, Bull AM, Thomas RD, Amis AA. The meniscofemoral ligaments: secondary restraints to the posterior drawer. Analysis of anteroposterior and rotary laxity in the intact and posterior-cruciate-deficient knee. J Bone Joint Surg (Br). 2003; 85-B:765-73.

12. Gupte CM, Shaerf DA, Sandison A, Bull AM, Amis AA. Neural Structures within Human Meniscofemoral Ligaments: A Cadaveric Study. ISRN Anat. 2014; 2014:719851.

13. Gupte CM, Smith A, Jamieson N, Bull AM, Thomas RD, Amis AA. Meniscofemoral ligaments--structural and material properties. J Biomech. 2002; 35:1623-9.

14. Gupte CM, Smith A, McDermott ID, Bull AM, Thomas RD, Amis AA. Meniscofemoral ligaments revisited. Anatomical study, age correlation and clinical implications. J Bone Joint Surg (Br). 2002; 84-B:846-51.

15. Lee BYJee WHKim JMKim BSChoi KH. Incidence and significance of demonstrating the meniscofemoral ligament on MRI. Br J Radiol. 2000; 73:271-4.

16. Moran CJPoynton ARMoran RBrien MO. Analysis of meniscofemoral ligament tension during knee motion. Arthroscopy. 2006; 22:362-6.

17. Le Minor JM. Comparative morphology of the lateral meniscus of the knee in primates. J Anat. 1990; 170:161-71.

18. Han SH, Kim DI, Choi SG, Lee JH, Kim YS. The posterior meniscofemoral ligament: morphologic study and anatomic classification. Clin Anat. 2012; 25:634-40.

19. Kam CKChee DWPeh WC. Magnetic resonance imaging of cruciate ligament injuries of the knee. Can Assoc Radiol J. 2010; 61:80-9. 

20. Hassine D, Feron JM, Henry-Feugeas MC, Schouman-Claeys E, Guérin Surville H, Frija G. The meniscofemoral ligaments: magnetic resonance imaging and anatomic correlations. Surg Radiol Anat. 1992; 14:59-63.

21. Nagasaki SOhkoshi YYamamoto KEbata WImabuchi RNishiike JThe incidence and cross-sectional area of the meniscofemoral ligament. Am J Sports Med. 2006; 34:1345-50. 

22. Amis AA, Bull AM, Gupte CM, Hijazi I, Race A. Biomechanics of the PCL and related structures: posterolateral, posteromedial and meniscofemoral ligaments. Knee Surg Sports Traumatol Arthrosc. 2003; 11:271-81.

23. Amis AA, Gupte CM, Bull AM, Edwards A. Anatomy of the posterior cruciate ligament and the meniscofemoral ligaments. Knee Surg Sports Traumatol Arthrosc. 2006; 14:257-63. 

24. Poynton ARJavadpour SMFinegan PJO'Brien M. The meniscofemoral ligaments of the knee. J Bone Joint Surg (Br). 1997; 79-B:327-30.

25. Wan AC, Felle P. The menisco-femoral ligaments. Clin Anat. 1995; 8:323-6.

26. Yamamoto M, Hirohata K. Anatomical study on the menisco-femoral ligaments of the knee. Kobe J Med Sci. 1991; 37:209-26.

27. Coulier B. Signification of the unusual delineation of the anterior meniscofemoral ligament of Humphrey during knee arthro-CT. Surg Radiol Anat. 2009; 31:121-8.

28. Kaplan E. The lateral menisco-femoral ligament of the knee joint. Bull Hosp Joint Dis 1956; 17:176-82.

29. Hagemeister N, Duval N, Yahia L, Krudwig W, Witzel U, de Guise JA. Computer based method for the three-dimensional kinematic analysis of combined posterior cruciate ligament and postero-lateral complex reconstructions on cadaver knees. Knee. 2003; 10:249-56.

30. Ritchie JR, Bergfeld JA, Kambic H, Manning T. Isolated sectioning of the medial and posteromedial capsular ligaments in the posterior cruciate ligament-deficient knee. Influence on posterior tibial translation. Am J. Sports Med 1998; 26:389-94.

31. Cho DKRosa SPPrestes GBda Cunha LAde Moura MFStieven Filho EAnatomical study of the posterior cruciate ligament with the knee flexed at 90°. Rev Bras Ortop. 2014; 49:494-8. 

32. Corbí-Aguirre F, Forriol F. MRI study of the cruciate ligaments and menisco-femoral ligaments of the knee. Musculoskelet Surg. 2022. 

33. Corbi-Aguirre F, Forriol F. Relationship of the Cruciate and Meniscofemoral Ligaments with the Knee Osteology. An Anatomical Study. Rev Bras Ortop (Sao Paulo). 2023; 58:85-91.

34. Anderson CJ, Ziegler CG, Wijdicks CA, Engebretsen L, LaPrade RF. Arthroscopically pertinent anatomy of the anterolateral and posteromedial bundles of the posterior cruciate ligament. J Bone Joint Surg Am. 2012; 94-A:1936-45.

35. Heller ILangman J. The menisco-femoral ligaments of the human knee. J Bone Joint Surg (Br). 1964; 46-B:307-13.

36. Brantigan OCVoshell AF. Ligaments of the knee joint; the relationship of the ligament of Humphry to the ligament of Wrisberg. J Bone Joint Surg (Am). 1946; 28-A:66.

37. Kusayama T, Harner CD, Carlin GJ, Xerogeanes JW, Smith BA. Anatomical and biomechanical characteristics of human meniscofemoral ligaments. Knee Surg Sports Traumatol Arthrosc. 1994; 2:234-7.

38. Takahashi M, Matsubara T, Doi M, Suzuki D, Nagano A. Anatomical study of the femoral and tibial insertions of the anterolateral and posteromedial bundles of human posterior cruciate ligament. Knee Surg Sports Traumatol Arthrosc. 2006; 14:1055-9. 

39. Ranalletta MRossi WPaterno MBrigatti NARanalletta A. Incidence of the anterior meniscofemoral ligament: an arthroscopic study in anterior cruciate ligament-deficient knees. Arthroscopy. 2007; 23:275-7.

40. Watanabe YMoriya HTakahashi KYamagata MSonoda MShimada Yet alFunctional anatomy of the posterolateral structures of the knee. Arthroscopy. 1993; 9:57-62.

41. Ramos LAAstur DNovaretti JVRibeiro LMCarvalho RTCohen M, et al. An anatomic study of the posterior septum of the knee. Arthroscopy. 2012; 28:100-4. 

42. Gupte CM, Bull AM, Murray R, Amis AA. Comparative anatomy of the meniscofemoral ligament in humans and some domestic mammals. Anat Histol Embryol. 2007; 36:47-52.

43. O'Connor BL. The mechanoreceptor innervation of the posterior attachments of the lateral meniscus of the dog knee joint. J Anat. 1984; 138:15-26.

44. Amadi HOGupte CMLie DTMcDermott IDAmis AABull AM. A biomechanical study of the meniscofemoral ligaments and their contribution to contact pressure reduction in the knee. Knee Surg Sports Traumatol Arthrosc. 2008; 16:1004-8. 

45. Gupte CM, Bull AM, Atkinson HD, Thomas RD, Strachan RK, Amis AA. Arthroscopic appearances of the meniscofemoral ligaments: introducing the "meniscal tug test". Knee Surg Sports Traumatol Arthrosc. 2006; 14:1259-65.

46. Forkel P, Herbort M, Sprenker F, Metzlaff S, Raschke M, Petersen W. The biomechanical effect of a lateral meniscus posterior root tear with and without damage to the meniscofemoral ligament: efficacy of different repair techniques. Arthroscopy. 2014; 30:833-40.

47. Ahn JH, Ha CW. Posterior trans-septal portal for arthroscopic surgery of the knee joint. Arthroscopy. 2000; 16:774-9.

48. Bao HR, Zhu DGong HGu GS. The effect of complete radial lateral meniscus posterior root tear on the knee contact mechanics: a finite element analysis. J Orthop Sci. 2013; 18:256-63. 

49. Brody JM, Hulstyn MJ, Fleming BC, Tung GA. The meniscal roots: gross anatomic correlation with 3-T MRI findings. AJR Am J Roentgenol. 2007; 188:446-50.

50. Brody JMLin HMHulstyn MJ, Tung GA. Lateral meniscus root tear and meniscus extrusion with anterior cruciate ligament tear. Radiology. 2006; 239:805-10.

51. Pula DAFemia REMarzo JMBisson LJAre root avulsions of the lateral meniscus associated with extrusion at the time of acute anterior cruciate ligament injury? A case control study. Am J Sports Med. 2014; 42:173-6. 

52. Clancy WG JrShelbourne KDZoellner GBKeene JSReider BRosenberg TDTreatment of knee joint instability secondary to rupture of the posterior cruciate ligament. Report of a new procedure. J Bone Joint Surg Am. 1983; 65:310-22.

53. Li GPapannagari RLi MBingham JNha KWAllred Det al. Effect of posterior cruciate ligament deficiency on in vivo translation and rotation of the knee during weightbearing flexion. Am J Sports Med. 2008; 36:474-9.

54. Lee J, Papakonstantinou O, Brookenthal KR, Trudell D, Resnick DL. Arcuate sign of posterolateral knee injuries: anatomic, radiographic, and MR imaging data related to patterns of injury. Skeletal Radiol. 2003; 32:619-27.

55. Ahn JH, Wang JH, Lee SH, Yoo JC, Jeon WJ. Increasing the distance between the posterior cruciate ligament and the popliteal neurovascular bundle by a limited posterior capsular release during arthroscopic transtibial posterior cruciate ligament reconstruction: a cadaveric angiographic study. Am J Sports Med. 2007; 35:787-92.

56. West JA, Armin NH. In-office arthroscopy for the evaluation of chronic knee pain: A case report. Open Med Case Rep. 2017

57. Forkel P, Petersen W. Posterior root tear fixation of the lateral meniscus combined with arthroscopic ACL double-bundle reconstruction: technical note of a transosseous fixation using the tibial PL tunnel. Arch Orthop Trauma Surg. 2012; 132:387-91.

58. Feucht MJ, Salzmann GM, Bode G, Pestka JM, Kühle J, Südkamp NP, et al. Posterior root tears of the lateral meniscus. Knee Surg Sports Traumatol Arthrosc. 2015; 23:119-25.

59. De Smet AA, Blankenbaker DG, Kijowski R, Graf BK, Shinki K. MR diagnosis of posterior root tears of the lateral meniscus using arthroscopy as the reference standard. AJR Am J Roentgenol. 2009; 192:480-6.

 

 

 




Copyright © 2023. Federación de Sociedades y Asociaciones Latinoamericanas de Ortopedia y Traumatología